| zurück Home | primäres Peritonealkarzinom | |||
| Allgemeines |
biologisch mit Ovarial- und Tubenkarzinom verwandt. | |||
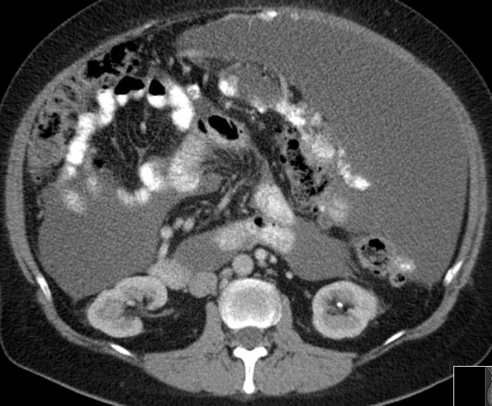
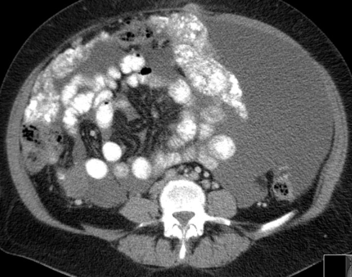
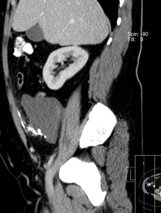
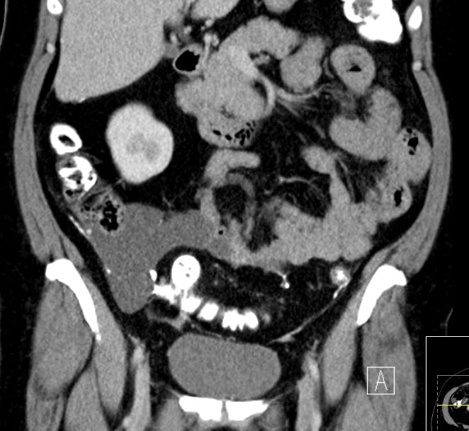
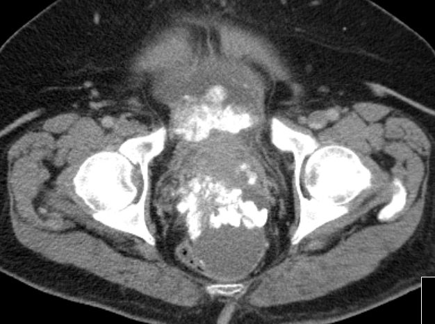
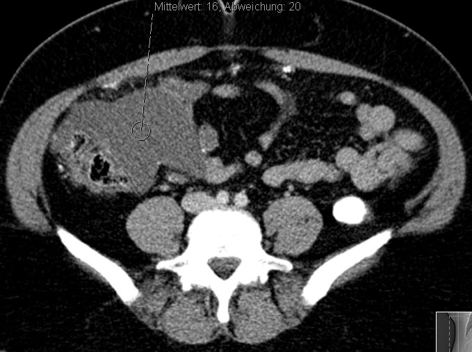
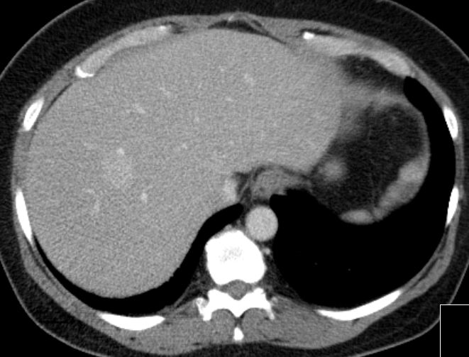
| Fall 1 | 51-jährige Frau mit primärem Peritonealkarzinom. | |||
![]() |
![]() |
|||
![]() |
![]() | |||
| Therapie: Partielle Peritonektomie, HE mit Adnexen, Sigmaresektion (Hartmann), Omentumresektion. | Histologisch: Gut differenziertes seröses Adenokarzinom mit massenhaft Psammomkörperchen (Psammokarzinom). G1.Staging: pT3c. | |||
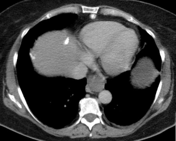
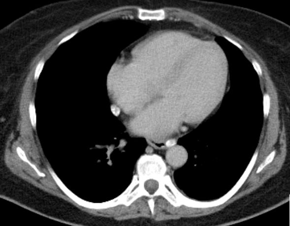
6 Monate später Lebermetastasen.![]() |
![]() | |||
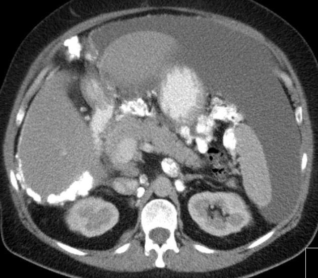
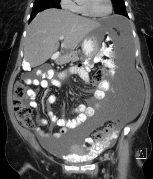
| Fall 2 | 58-jährige Frau mit Adnektektomie beiderseits vor vielen Jahren. Jetzt Peritonealkarzinose mit Verkalkungen. CA 12-5 = 1100, CA 15-3 = 41. Histologie: Proliferate und Infiltraten eines papillär strukturierten Karzinoms. Vergrößerte hyperchromatische Zellkerne. Die mitotische Aktivität ist etwas erhöht. Darstellung von Psammomkörpern. Tumorzellen positiv mit BerEP4, CK 7, WT1 und Östrogenmarker. Kein Nachweis von Calretinin und CK. | |||
![]() |
![]() | |||
![]() |
![]() | |||
![]() |
![]() | |||
![]() | ||||
Teil von |
seltene gynäkologische Malignome | Gynäkologische Onkologie | Onkologie | Gynäkologie |
| Quellen |
1.) : | |||
Impressum Zuletzt geändert am 08.01.2024 22:12