Pankreas - Karzinom: Metastasen | ||||
| Allgemeines | ||||
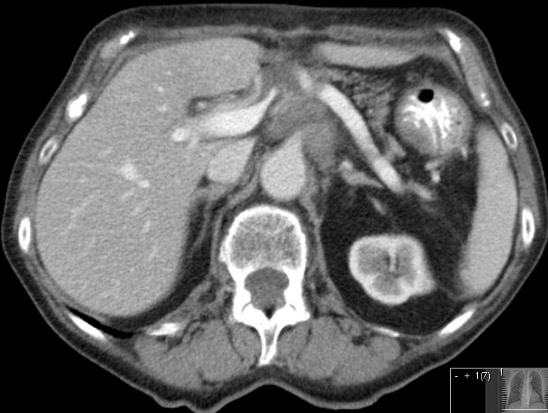
| Lokalrezidiv | 48-jähriger Mann mit Pankreaskopfkarzinom. Verschlussikterus, Bilirubin 99. ![]() |
CT: Einbruch ins Duodenum
![]() |
||
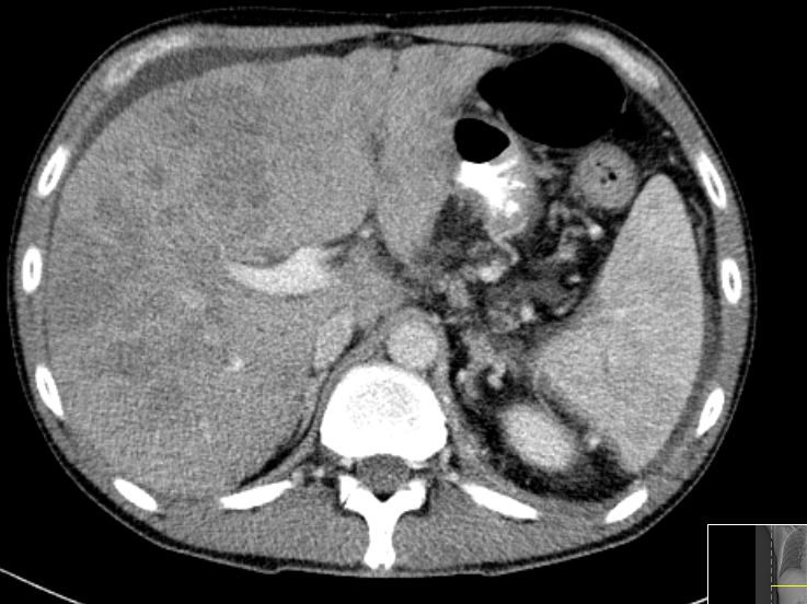
| Lokalrezidiv | 77-jährige Frau 9 Monate nach pyloruserhaltender Pankreaskopfresektion. Das Rezidiv hat die Vena portae eingegengt.![]() |
|||
| Knochen - Metastasierung | ![]() |
![]() |
| |
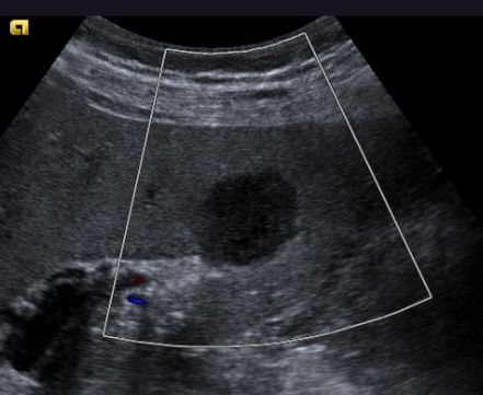
| Leber - Metastasierung | ![]() |
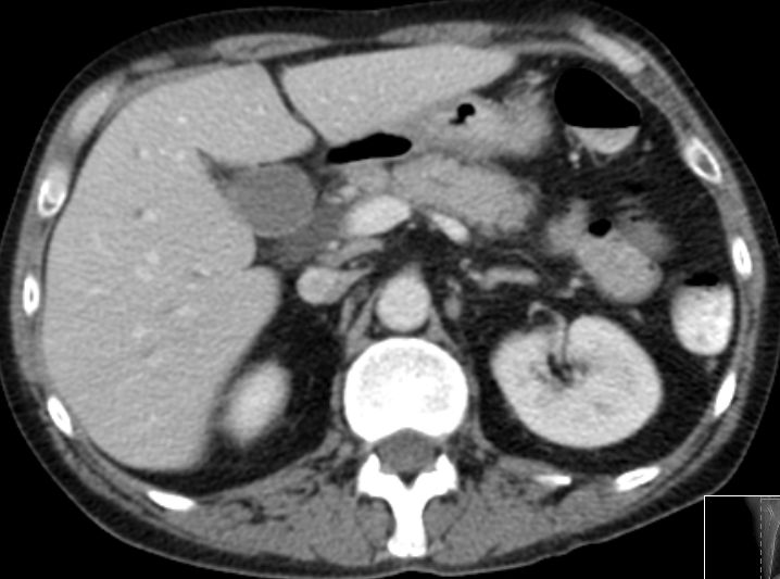
48-jähriger Mann mit hepatisch metastasiertem Pankreaskopf-Karzinom.
Histologische Sicherung vor 6 Monaten: schlecht differenziertes Adenokarzinom. Chemotherapie: FOLFOXIRI. Restaging: Progress. Leber mit Metastasen durchsetzt.![]() |
||
Teil von |
Pankreas - Karzinom | Gastro - Intestinale Tumore | ||
Impressum Zuletzt geändert am 16.09.2012 21:12