| zurück Home | Pankreas - Karzinom: CT | |
| Allgemeines | ||
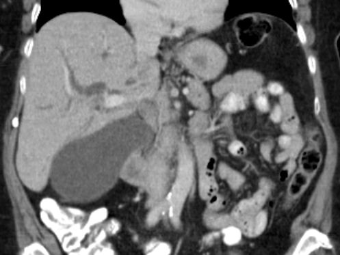
| Pankreaskopf | 74-jährige Frau mit grenzwertig operablem Pankreaskopfkarzinom.![]() |
78-jähriger Mann mit retroperitoneal entwickeltem Pankreaskopfkarzinom. Ummauerung des Truncus coeliacus.![]() |
74-jähriger Mann mit einem Pankreaskopfkarzinom mit Infiltration des Duodenums![]() | ||
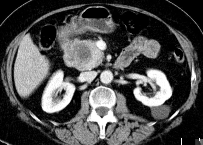
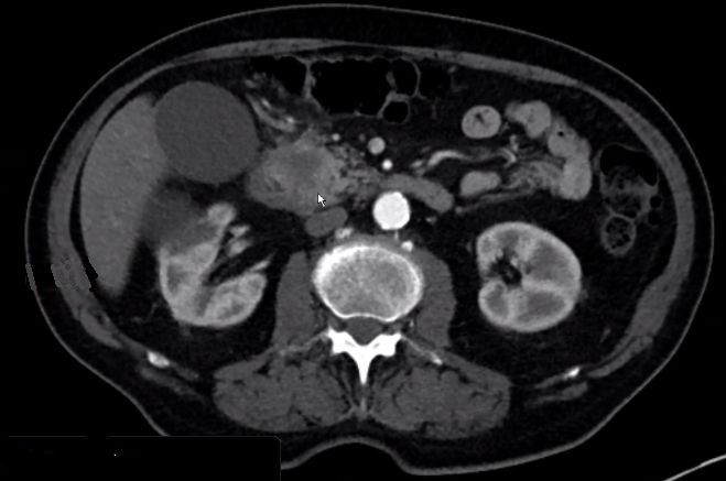
| V. mesenterica superior | 69-jährige Frau mit Pankreaskopfkarzinom. Das CT zeigt eine Infiltration der Vena mesenterica superior.
Nach Laparotomie inoperabel. Infiltrate an der Mesenterialwurzel. Bilidigestive Anastomose, Gastrojejunostomie, Cholezystektomie.![]() | |
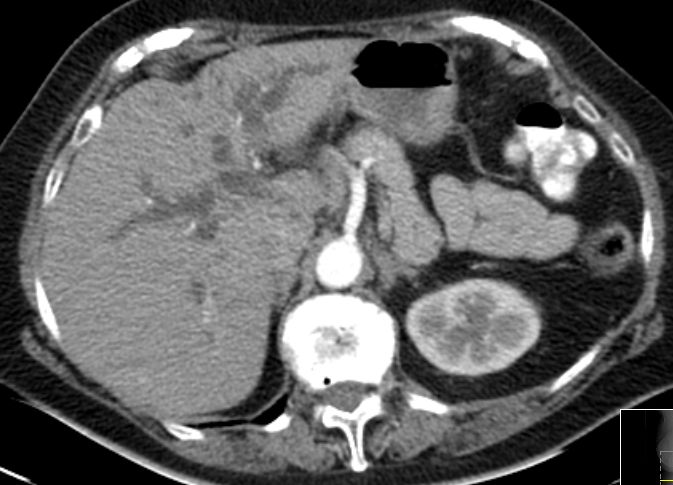
| Cholestase | 78-jährige Frau mit Pankreaskopfkarzinom. Die intrahepatischen Gallenwege sind stark erweitert.![]() |
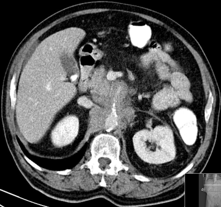
Gallenblasenhydrops. Die kontrastierten Leberarterien verlaufen parallel zu den Gallenwegen.![]() |
| Pankreaskörper | ||
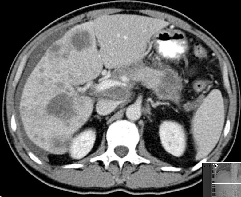
| Pankreasschwanz | Pankreasschwanz-Karzinom, Leber- und Lymphknotenmetastasen![]() | |
| Pankreasschwanz | 55-jähriger Mann mit Pankreasschwanz-Karzinom, Lebermetastasen, Ascites![]() | |
Teil von |
Pankreas - Karzinom | Gastro - Intestinale Tumore |
Impressum Zuletzt geändert am 24.04.2015 18:35