| zurück Home | Klinik des Pankreas - Karzinoms | ||||||||||||||
| Allgemeines | |||||||||||||||
| Epidemiologie | In den USA 5.-häufigste tumorbedingte Todesursache. | ||||||||||||||
| Germline Mutationen | Bei scheinbar sporadischen Adenokarzinomen des Pankreas wurden folgende angeborene Mutationen gefunden(1): | Von 854 Fällen hatten 3,9% Mutationen. 12x BRCA2, 10x ATM, 3x BRCA1, 2x PALB2, 2x MLH1, 1x CDKN2A, 1x TP53 | |||||||||||||
| Diagnostik |
| ||||||||||||||
| Differential-Diagnose | Wichtigste Differential-Diagnose ist die chronische Pankreatitis. | 77-jähriger Patient mit 8kg Gewichtsabnahme sowie
intra- und extrahepatischer Cholestase. Verdacht auf einen Tumor im Bereich
des Pankreaskopfes. Nebenbefund: Harnstauung links durch Ureterabgangsstenose.
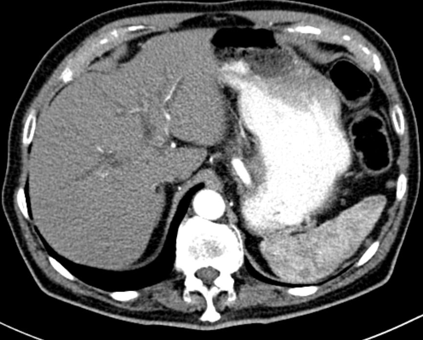
Das CT zeigt erweiterte intrahepatische Gallengänge.![]() |
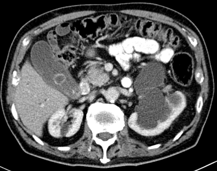
Das CT zeigt eine erweiterte Gallenblase mit
Stein. Prominenter Pankreaskopf. Nierenstau links.![]() | ||||||||||||
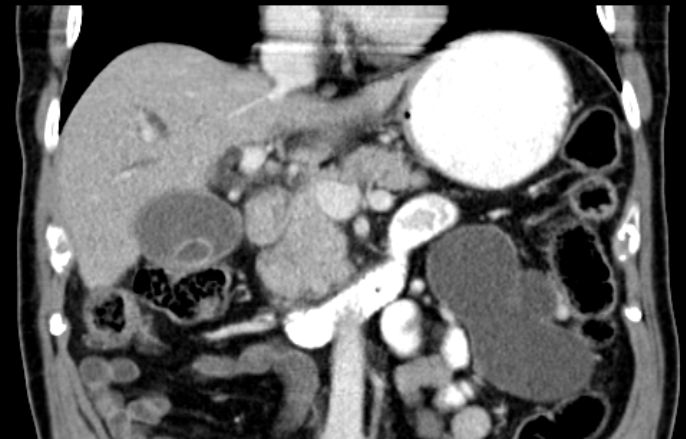
Das CT zeigt im Coronarschnitt den klobigen
Pankreaskopf..![]() |
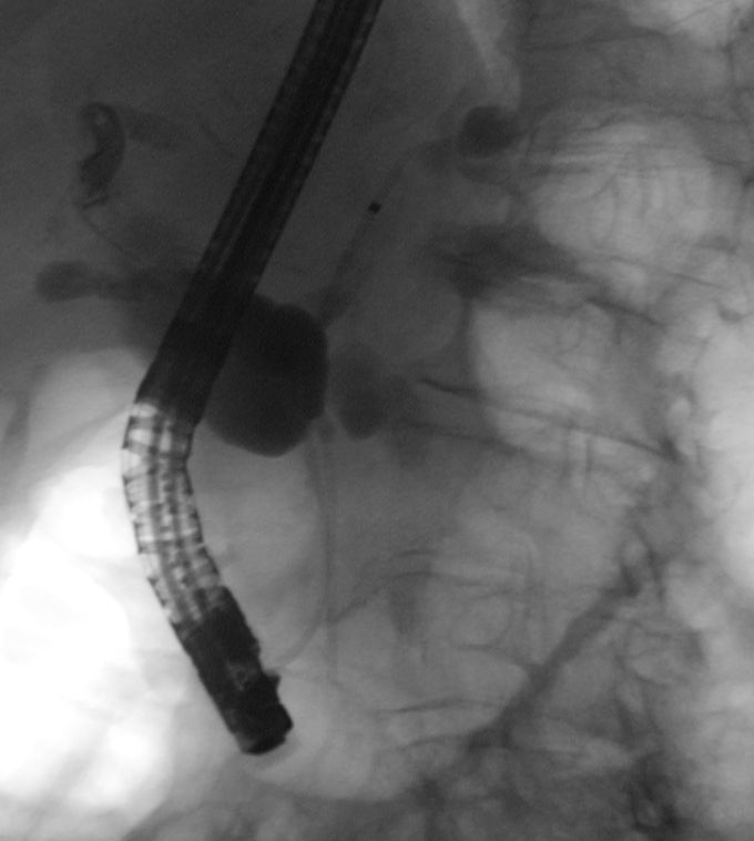
Die ERCP zeigt massiv erweiterte intra- und
extrahepatische Gallenwege. Ein Stent wird gesetzt.![]() |
Nach Laparotomie zeigt sich ein derb verändertes Pankreas, das im Bereich des Processus uncinatus bis an die Arteria mesenterica superior heranreicht. Ein umschriebener Tumor ist nicht abgrenzbar. Es zeigen sich typische Kalkspritzer im Sinne einer abgelaufenen Pankreatitis. Histologie: Erhebliche Fibrosierung des peripankreatischen Gewebes. Storiformen Fibrose und zum Teil wandverdickten kleinen Gefäßen. Herdförmige entzündliche Infiltrate aus Lymphozyten und Histiozyten. Zwischengelagert vermehrt CD 138-positive Plasmazellen. Pankreasgewebe mit einer deutlich chronischen und zum Teil erheblich fibrosierenden Entzündung. Kein Hinweise auf Malignität. | |||||||||||||
| regionale Lymphknoten |
| ||||||||||||||
| Lokalisation | Pankreaskopf | Am häufigsten. Rechts der V. portae, bzw. der V. mesenterica superior. | |||||||||||||
| Pankreaskörper | Zwischen V. Portae und linkem Rand der Aorta. | ||||||||||||||
| Pankreasschwanz | links der Aorta | ||||||||||||||
| CA 19-5 | bei vielen Pankreastumoren erhöht. Die Spezifität ist gering. | ||||||||||||||
| CA 19-9 | Surrogatmarker. Überlebenszeit höher, wenn CA19-9 < 1000 | ||||||||||||||
ERCP |
76-jährige Frau mit schmerzlosem Ikterus. In der
ERCP typisches "Mäuseschwanz"-Bild. ![]() | ||||||||||||||
Sonographie |
KM-EUS: kontrastmittelverstärkte Endosonographie | CEHMI-EUS: kontrastmittelverstärkte EUS mit hohem mechanischem Index | CELMI-EUS: Kontrastmittelverstärkte EUS mit niedrigem mechanischem Index | ||||||||||||
![]() | |||||||||||||||
Quellen |
1.) Shindo K, et al.: Deleterious Germline Mutations in Patients With Apparently Sporadic Pancreatic Adenocarcinoma. J Clin Oncol 2017;35:3382-3390. DOI: 10.1200/JCO.2017.72.3502 | ||||||||||||||
Teil von |
Pankreas - Karzinom | Gastro - Intestinale Tumore | |||||||||||||
Impressum Zuletzt geändert am 21.08.2021 18:46