| zurück Home | Glioblastom: Diagnostik | ||||
Allgemeines |
Schlüsselmerkmale:
| ||||
| Diagnostik | MacDonald - Kriterien zur Diagnose eines Rezidivs im MRT: >25% Zunahme des enhancenden Areals oder neue enhancende Läsion. | ||||
CT |
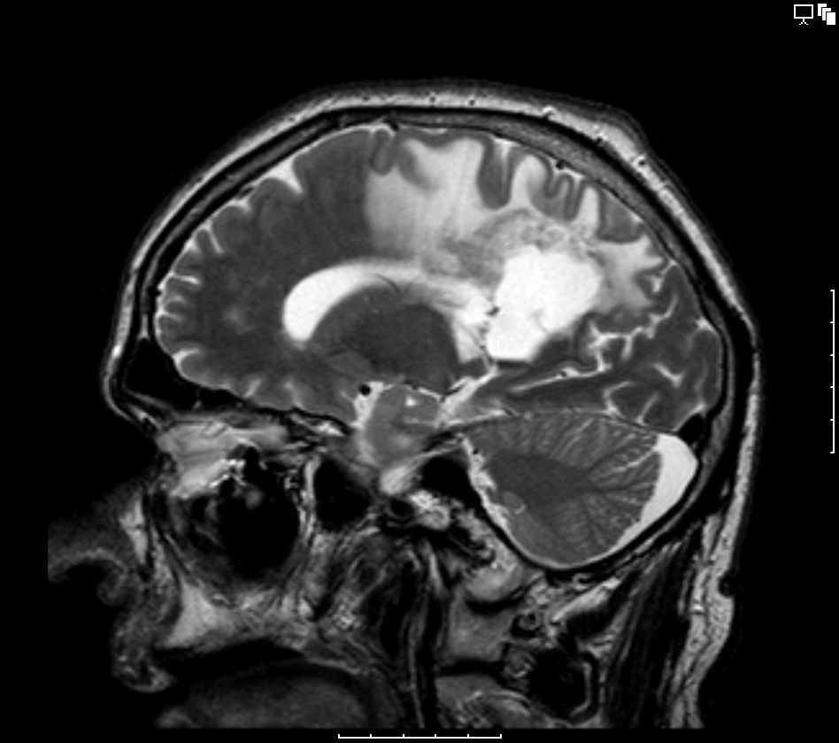
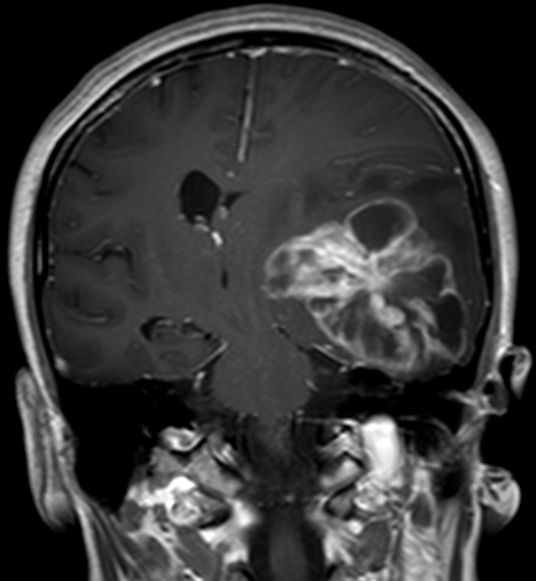
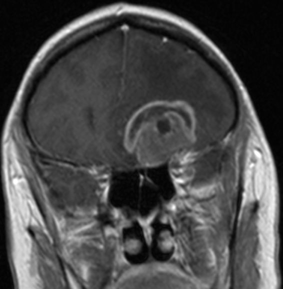
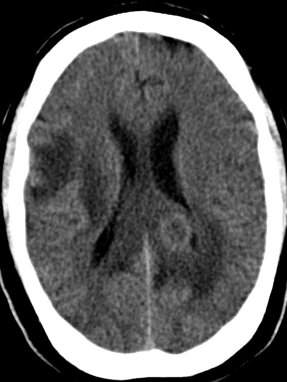
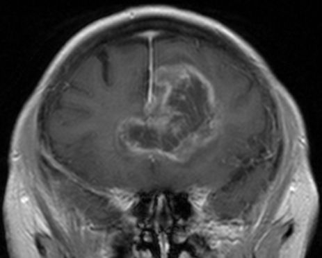
64-jährige Frau mir generalisierten Krampfanfällen und Hemiparese links.![]() | ||||
MRT |
![]() |
![]() |
![]() | ||
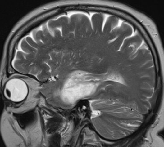
Schmetterlingsgliom des hinteren Balkens |
62-jähriger Mann mit torkeligem Gang, Amnesie und Verwirrtheit. Schmetterlingsgliom des hinteren Balkens.![]() |
![]() |
![]() |
![]() | |
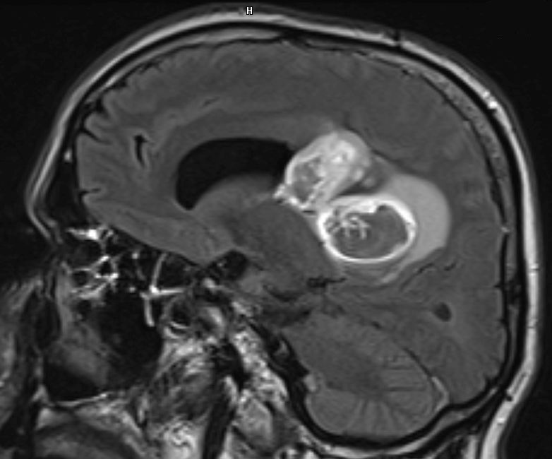
Zystisches Gliom parieto-occipital |
![]() |
![]() |
![]() | ||
MRT |
![]() |
![]() |
![]() | ||
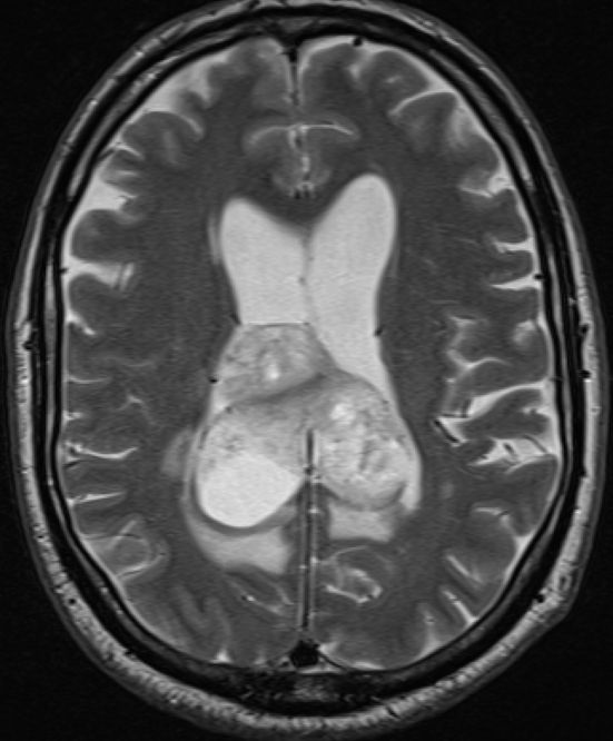
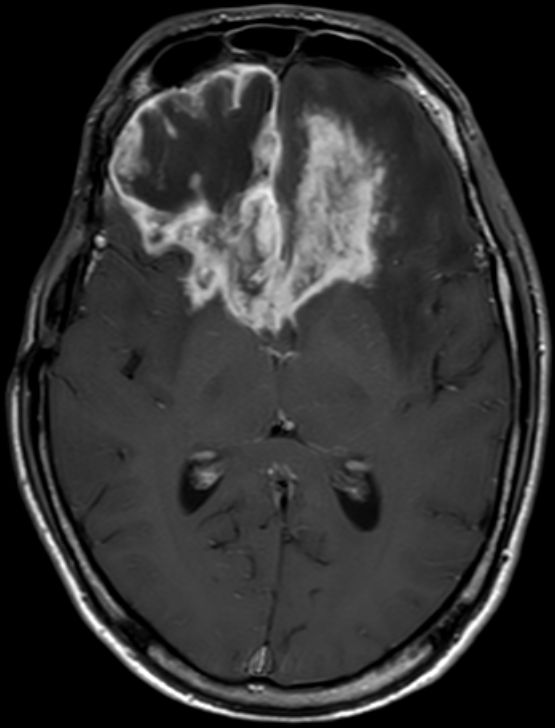
MRT: Schmetterlingsgliom |
![]() |
![]() |
![]() | ||
CT |
51-jähriger Mann mit Sehstörung rechts, Kopfschmerz und Schwindel.
Das CT zeigt einen Herd im Splenium corporis callosi links.
Der Tumor erreicht das Hinterhorn.
Stereotaktiosche Punktion: Glioblastoma multiforme.
Eine 2. Läsion im Inselbereich wurde nicht histologisch gesichert.![]() | ||||
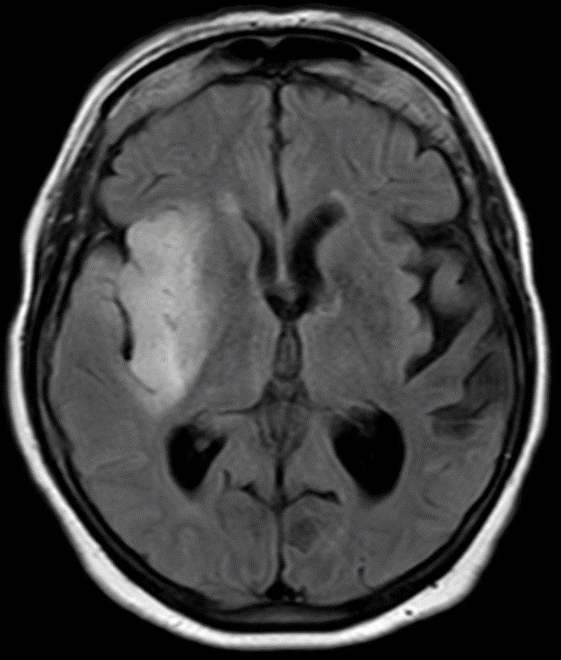
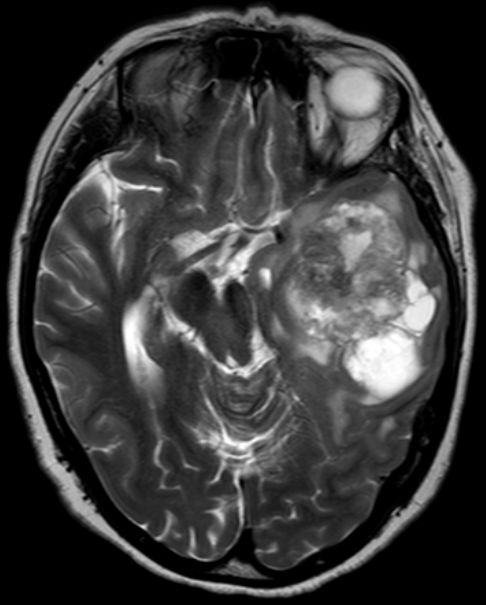
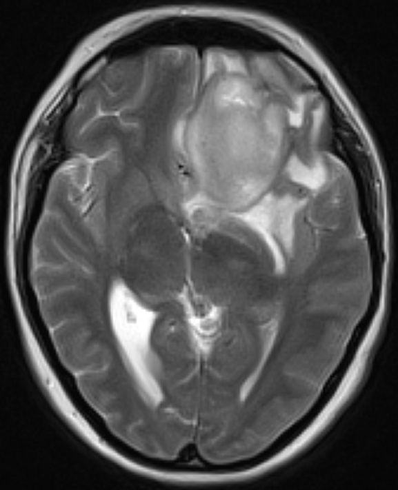
Glioblastom im Tempoallappen |
48-jährige Frau mit Übelkeit und Kopfschmerzen auf.
Kurze Bewusstlosigkeit.
Später Gedächtnisstörungen, Sprachstörungen und Verhaltensauffälligkeiten.![]() |
![]() | |||
![]() |
![]() | ||||
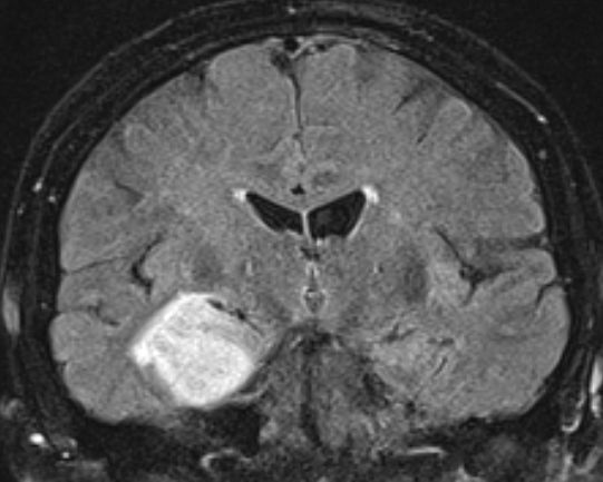
Glioblastom der Insel |
78-jährige Frau mit einen Grand-Mal-Anfall.
GBM der Insel rechts![]() MRT, TR 10.000/TE 140 |
Ausdehnung auf den Temporallappen rechts![]() | |||
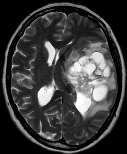
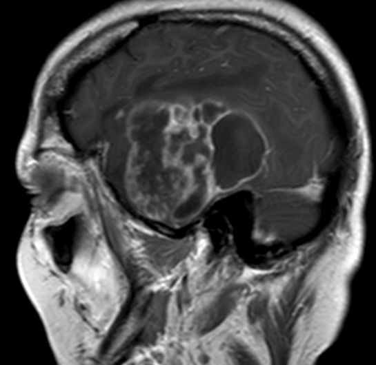
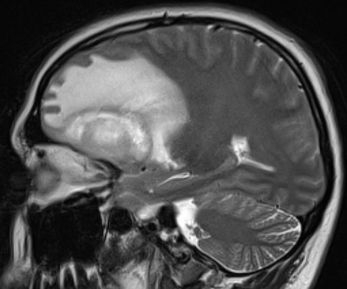
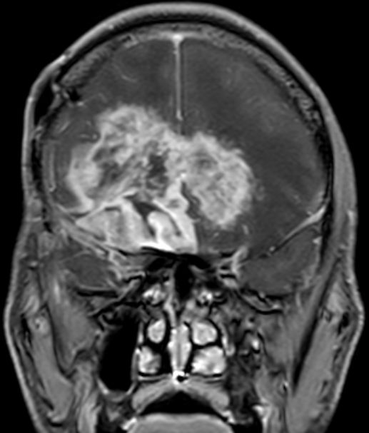
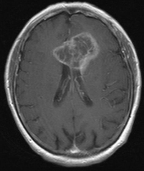
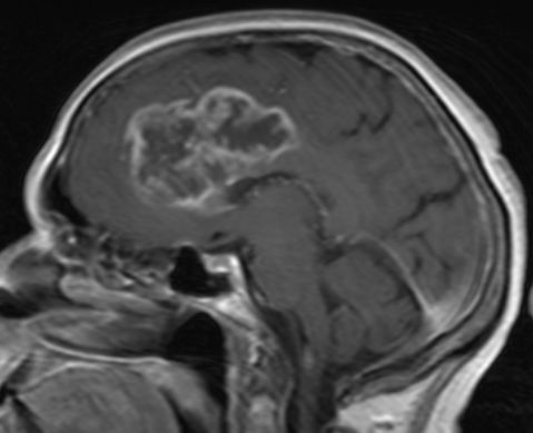
Glioblastom frontobasal |
48-jährige Frau mit Antriebslosigkeit, Wesensveränderung und Gewichtsabnahme.![]() |
![]() |
![]() | ||
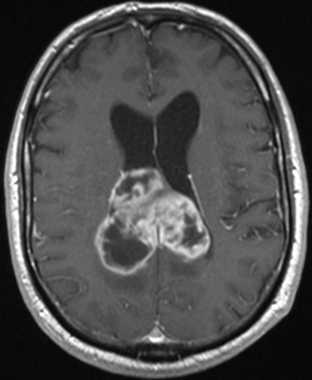
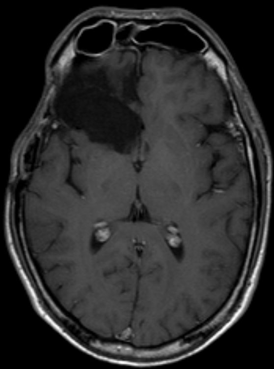
Glioblastom als Rezidiv eines Astrozytoms |
36-jähriger Mann, der vor 7 Jahres ein rechts-frontales Astrozytom Grad II mit Übergang in ein anaplastisches Astrozytom III hatte.![]() |
Jetzt Krampfanfall. Das MRT zeigt ein großes frontales Schmetterlingsgliom.![]() | |||
Die MRT-Kontrolle mit KM vor einem Jahr zeigt eine unauffällige Resektionshöhle.![]() |
|||||
Teil von |
Glioblastom | High-Grade-Gliome | Gliome | ZNS-Tumore | Onkologie |
Quellen | |||||
Impressum Zuletzt geändert am 22.10.2022 22:43