| zurück Home | extracerebral metastasiertes GB | |
Allgemeines |
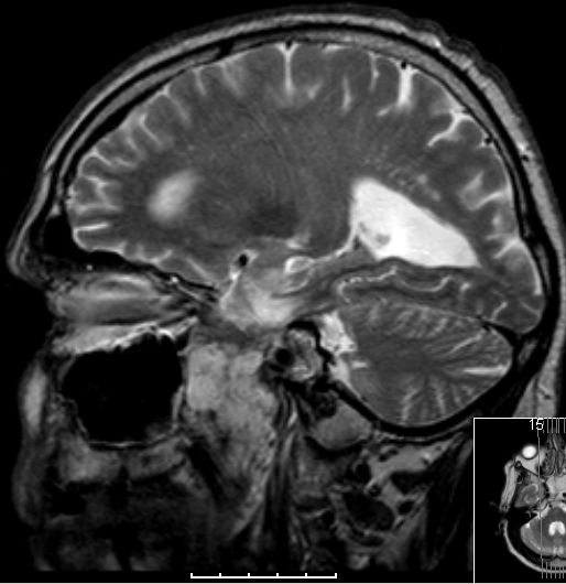
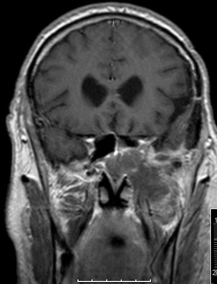
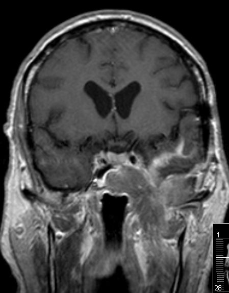
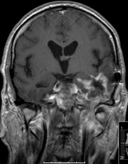
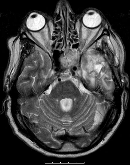
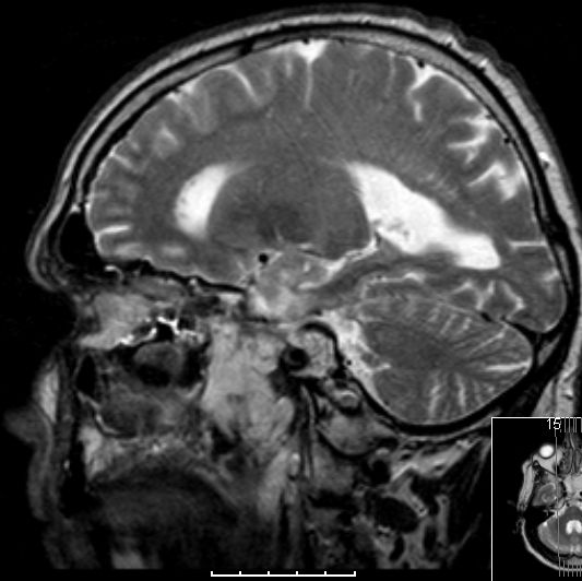
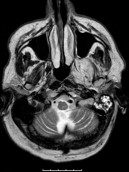
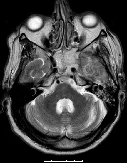
Glioblastome metastasieren normalerweise nicht außerhalb des ZNS. | |
| Fall | Im vorliegenden Fall kam es während der Temodal-Therapie nach postoperativer Radiochemotherapie zu einen Durchbruch des GBs durch die Schädelbasis. | |
![]() |
![]() | |
![]() |
![]() | |
![]() |
![]() | |
![]() |
![]() | |
Impressum .....................................................................................Zuletzt geändert am 04.02.2013 13:19