Therapie des Glioblastoms | |||||||||||||||||||||||||||||||||||||||||||||||||||||||||||
Allgemeines |
|||||||||||||||||||||||||||||||||||||||||||||||||||||||||||
| Primärtherapie | Nach vollständiger Resektion sollte eine Radiochemotherapie erfolgen. | ||||||||||||||||||||||||||||||||||||||||||||||||||||||||||
Operation |
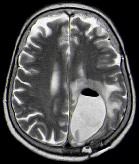
Je vollständiger ein Glioblastom entfernt wird, um so höher ist die Überlebensrate (5). | Einbringung von Gliadel | 66-jährige Frau mit Progredienz nach anoperiertem Glioblastom. Reoperation bei zunehmender Eintrübung. Jetzt Hirnabszess.![]() | ||||||||||||||||||||||||||||||||||||||||||||||||||||||||
Eine Strahlentherapie nach Operation verbessert die Prognose signifikant.![]() Modifiziert nach (4). SEER-analyse. | |||||||||||||||||||||||||||||||||||||||||||||||||||||||||||
Chemotherapie |
|||||||||||||||||||||||||||||||||||||||||||||||||||||||||||
| MGMT | O6-Methyguanin-DNA-Methytransferase | Wenn der Promotor von MGMT hypermethyliert ist, wird MGMT nur schwach exprimiert. | MGMT ist ein Resistenzgen für alkylierende Chemotherapie. | Hypermethyliertes MGMT bedeutet gutes Ansprechen auf Chemotherapie(2). | |||||||||||||||||||||||||||||||||||||||||||||||||||||||
Radiochemotherapie |
Temozolamid: Stupp-Schema, Oral 75mg/qm während der RT, 6 Zyklen nach RT 200mg/qm Tag 1-5, q29, | ||||||||||||||||||||||||||||||||||||||||||||||||||||||||||
| CeReG-Protokoll: CCNU 100mg/qm Tag 1, TMZ 100mg/qm Tag 2-6 | |||||||||||||||||||||||||||||||||||||||||||||||||||||||||||
| Ältere |
Nach diesen Daten Sollten Patienten über 60 Jahre mit RT und Temozolomid behandelt werden, wenn der AZ das zulässt. | ||||||||||||||||||||||||||||||||||||||||||||||||||||||||||
| Deescalation | KPS 40-50%, 72 J, subtotale Resektion: 15 x 2.67 Gy RT | Temodal adjuvant, wenn KPS 60+ erreicht und methylierter MGMT-Promotor. | MGMT-: OS = 3 Monate, MGMT methyliert OS = 6 Monaten. | Alternativen BSC, bei MGMT-Methylierung: Monotherapie mit TMZ. | |||||||||||||||||||||||||||||||||||||||||||||||||||||||
| Rezidiv | Temodal "metronom": 40mg Temozolamid/qm täglich ohne Pause | ||||||||||||||||||||||||||||||||||||||||||||||||||||||||||
| Temozolomid 10mg/qm 2x täglich, 200mg Celecoxib nach (3). | |||||||||||||||||||||||||||||||||||||||||||||||||||||||||||
Target - Therapie |
Bevacizumab: | Verlängerung der progressionsfreien Zeit, aber keine Verbesserung des Gesamtüberlebens(4,5). | |||||||||||||||||||||||||||||||||||||||||||||||||||||||||
Optune |
Das Gerät erzeugt elektrische Wechselfelder, sogenannte Tumortherapiefelder (TTFields). | TTFields können die Teilung von Glioblastomzellen verlangsamen oder stoppen. | |||||||||||||||||||||||||||||||||||||||||||||||||||||||||
Quellen |
1.) Wolff JE, Driever PH, Erdlenbruch B, et al.: Intensive chemotherapy improves survival in pediatric high-grade glioma after gross total resection: results of the HIT-GBM-C protocol. Cancer 2009; 2: 2 2.) Hegi ME, et al.: MGMT gene silencing and benefit from temozolomide in glioblastoma. NEJM 352(2005):997–1003 3.) Stockhammer F, et al.: Continuous low-dose temozolomid and celecoxib in recurrent glioblastoma. J Neuro-Oncology 2010;100:407-15 4.) Rusthoven CG, et al.: The Impact of Adjuvant Radiation Therapy for High-Grade Gliomas by Histology in the United States Population. Int J Radiation Oncol Biol Phys 2014;90:894-902. http://dx.doi.org/10.1016/j.ijrobp.2014.07.046 5.) Marko NF, et al.: Extent of Resection of Glioblastoma Revisited: Personalized Survival Modeling Facilitates More Accurate Survival Prediction and Supports a Maximum-Safe-Resection Approach to Surgery. J Clin Oncol 2014;32:774-782. DOI: 10.1200/JCO.2013.51.8886 6.) Perry JR, Laperriere N, O’Callaghan CJ, et al.: Short-course radiation plus temozolomide in elderly patients with glioblastoma. N Engl J Med 2017; 376: 1027-37. 7.) Rusthoven CG, Koshy M, Sher DJ, et al.: Combined-modality therapy with radiation and chemotherapy for elderly patients with glioblastoma in the temozolomide era: a National Cancer Database analysis. JAMA Neurol 2016; 73: 821-8. 8.) Keime-Guibert F, Chinot O, Taillandier L, et al.: Radiotherapy for glioblastoma in the elderly. N Engl J Med 2007; 356: 1527-35. 9.) Wick W, Platten M, Meisner C, et al.: Temozolomide chemotherapy alone versus radiotherapy alone for malignant astrocytoma in the elderly: the NOA-08 randomised, phase 3 trial. Lancet Oncol 2012; 13: 707-15. 10.) Malmström A, Grønberg BH, Marosi C, et al.: Temozolomide versus standard 6-week radiotherapy versus hypofractionated radiotherapy in patients older than 60 years with glioblastoma: the Nordic randomised, phase 3 trial. Lancet Oncol 2012; 13: 916-26. 11.) Laperriere N, Zuraw L, Cairncross G, Cancer Care Ontario: Practice Guidelines Initiative Neuro-Oncology Disease Site Group. Radiotherapy for newly diagnosed malignant gliomain adults: a systematic review. Radiother Oncol 2002;64:259–73. 12.) Mason WP, et al. for the Canadian GBM Recommendations Committee: Canadian recommendations for the treatment of glioblastoma multiforme. Curr Oncol 2007;14:110–117 | ||||||||||||||||||||||||||||||||||||||||||||||||||||||||||
Teil von |
Glioblastom | High-Grade-Gliome | Gliome | ZNS-Tumore | Onkologie | ||||||||||||||||||||||||||||||||||||||||||||||||||||||
| wichtiger Hinweis! | Für die Richtigkeit von Indikationen, Dosisangaben und Zielvolumina kann keine Garantie übernommen werden. In Zweifelsfällen sind die aktuellen nationalen und internationalen Leitlinien einzusehen. | ||||||||||||||||||||||||||||||||||||||||||||||||||||||||||
Impressum Zuletzt geändert am 10.04.2022 21:58