| zurück Home | Weichteilsarkome: Diagnostik | ||
| Allgemeines |
|||
| Bauchwand | partiell nekrotisches, pleomorphes undifferenziertes Sarkom der Bauchwand.![]() |
![]() |
![]() |
| intraabdominal | 54-jähriger Mann, der vor 30 Jahren ein Fibrosarkom der Bauchhöhle entwickelte.
Seit 12 Jahren Rezidive und Knochenmetastasen.
Jetzt Tumor, der in die Leber einwächst.![]() | ||
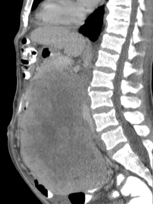
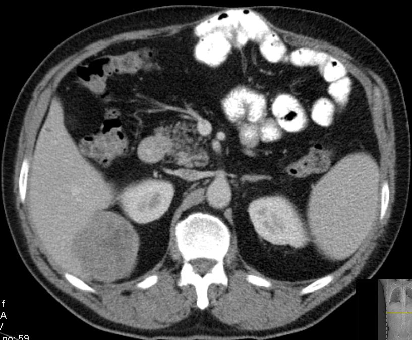
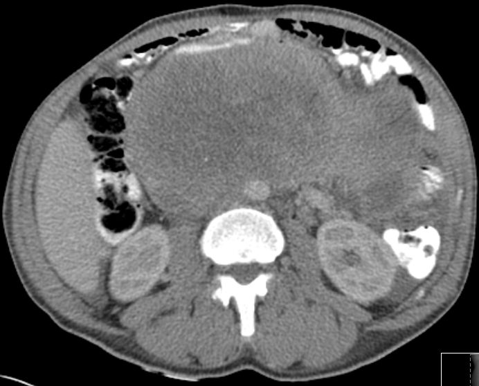
| retroperitoneal | 43-jähriger Mann mit großer Raumforderung im Abdomen.
Undifferenziertes Weichteilsarkom.![]() |
![]() | |
| Rückenmuskulatur | 77-jähriger Patient mit einem pleomorphen Weichteilsarkom über dem Musculus latissimus dorsi ![]() |
Darstellung liquider Anteile nach Biopsie.![]() |
Frontale Schnittrichtung
![]() |
| Oberschenkel | 49-jährige Frau mit einem myxoiden Liposarkom der rechten Adduktoren-Loge.![]() |
Die enge Lagebeziehung zur A. femoralis ist gut erkennbar.![]() ![]() |
Frontale Schnittrichtung
![]() |
Impressum Zuletzt geändert am 07.03.2023 11:08