Myxo - Fibro - Sarkom | |||
| Fallbeschreibung | 78-jährige Frau, die seit 6 Monaten eine weiche Schwellung am Knie hatte. Wegen Größenzunahme erfolgte ein Stanzbiopsie, die ein Sarkom ergab. | ||
| Der Tumor wird im Abstand von etwa 15 mm im Hautbereich umschnitten und bis auf den Knochen präpariert. Abmeißeln des Tumors mit einer Knochenlamelle. Weichteildeckung mit Gastrocnemius - Lappen medial. | |||
| Makroskopie: Auf Schnittflächen ein rundlicher, relativ gut begrenzter Tumor von 36 mm mit grau-rötlich markiger Schnittflächen. | |||
| Mikroskopisch ist der Tumor durch eine sklerosierte Kapsel scharf gegenüber der Umgebung abgegrenzt. Im Zentrum pleomorphe mesenchymale Proliferate mit Einlagerung mukoider Grundsubstanz. Die Einzelzellen enthalten vergrößerte hyperchromatische atypisch geformte Zellkerne. Zahlreiche mehrkernige Tumorriesenzellen. Der Tumor erreicht nicht die untersuchten Absetzungsränder. Er reagiert nicht mit CD 68 und S 100. Ki67 bis 60%. Myxofibrosarkom Grad 2. | |||
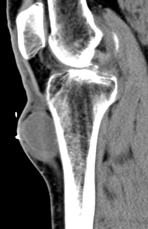
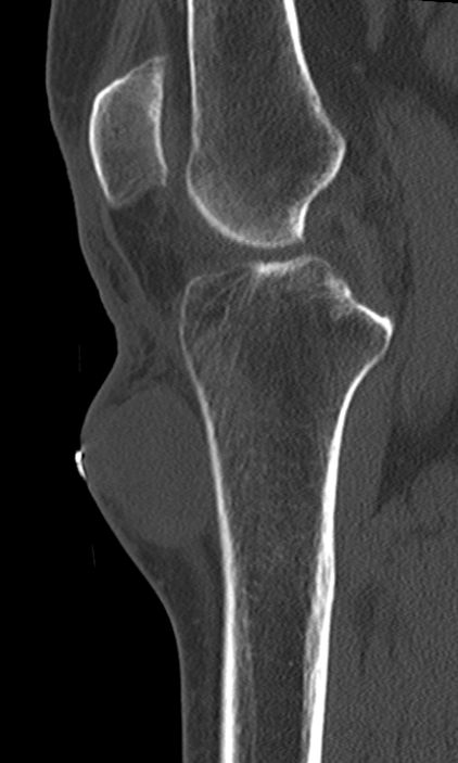
| Fall | CT: Rundliche, kapsulierte, glatt begrenzte RF an der proximalen Tibia medialseitig 3 cm.
Keine Infiltration der Haut oder der Tibia.![]() |
![]() | |
![]() |
Ultrachall 8mHz
![]() | ||
| post OP | ![]() | ||
Impressum Zuletzt geändert am 07.03.2023 11:08