zurück Home

AEG
Adenokarzinome des ösophago-gastralen Übergangs

Allgemeines

In Deutschland gebräuchlich. Die UICC ordnet das AEG entweder dem Ösophagus-Karzinom oder dem Magenkarzinom zu.
UICC 7 Ösophagus-Ca
  • Tumorzentrum im Magen maximal 5cm vom ösophago - gastralen Übergang und
  • ösophago - gastralen Übergang erreicht
Magen - Ca
  • Tumorzentrum im Magen > 5cm vom ösophago - gastralen Übergang oder
  • ösophago - gastralen Übergang nicht erreicht
Epidemiologie USA 2016: 43.280 neue GEA
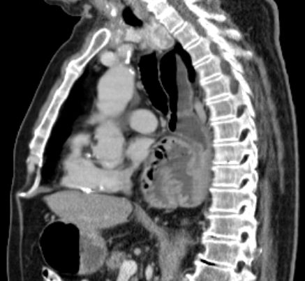
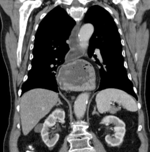
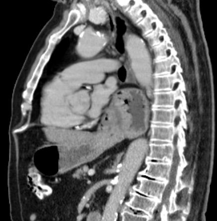
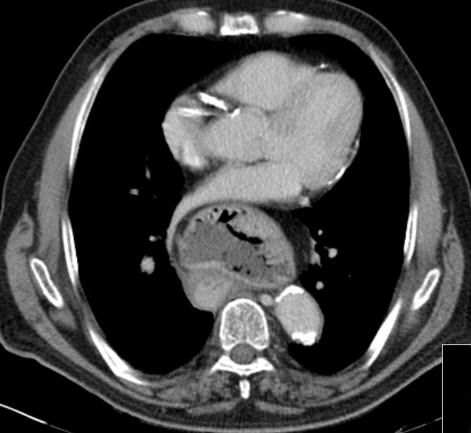
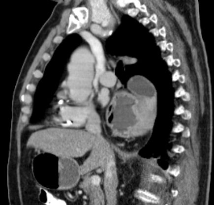
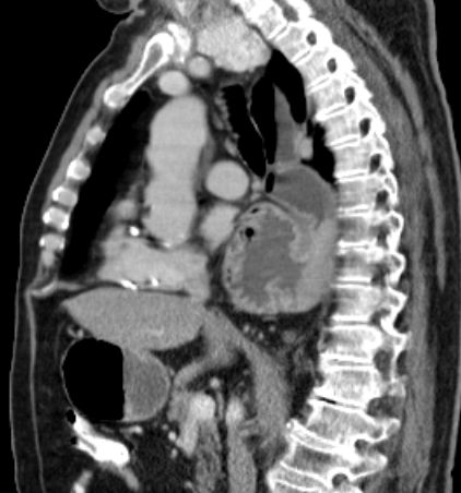
Hiatus - Hernie 83-jähriger Patient, der seit 2 Wochen Schluckbeschwerden mit unmittelbarem Erbrechen nach Nahrungsaufnahme hat. Das CT zeigt eine breite Zwerchfellhernie mit Teilen des Magens.
Die hintere Wand des intrathorakalen Magens ist verdickt: Adenokarzinom.
Der Ösophagus ist dilatiert und distal wandverdickt.
Adenokarzinom unter Magenschleimhaut.
Adenokarzinom unter dem Plattenepithel des Ösophagus.
Doppelkarzinom 81-jähriger Patient, der vor 50 Jahren eine 2/3-Resektion des Magens wegen Ulkus hatte.
Vor 4 Jahre Rektum-Karzinom: Radiochemotherapie, Radikaloperation.
Jetzt Einweisung wegen eines Plattenepthelkarzinoms des Magens.
Endoskopie:2 Tumoren. 1.Ösophaguskarzinom mit teilweiser Stenosierung (Plattenepithelkarzinom).
Gesichertes Magenkarzinom ohne Stenosierung (Adenokarzinom).
Her2 7-38% der GEAs amplifizieren oder überexprimieren HER2(2) GEAs haben häufiger Her2-Überexpression als Magenkarzinome. Trastuzumab ist nur bei GEAs mit Her2-Überexpression wirksam.

Quellen

1.) Moehler M, et al., Deutsche Krebsgesellschaft:
S3-Leitlinie „Magenkarzinom“ – Diagnostik und Therapie der Adenokarzinome des Magens und ösophagogastralen Übergangs.
Z Gastroenterol 49(2011):461–531

2.) Bartley AN, Washington MK, Ismaila N, et al.:
HER2 Testing and Clinical Decision Making in Gastroesophageal Adenocarcinoma: Guideline Summary From the College of American Pathologists, American Society for Clinical Pathology, and American Society of Clinical Oncology.
Journal of Oncology Practice 2017;13:53-57.

Impressum                         Zuletzt geändert am 31.12.2015 0:05