| zurück Home | Magen - Karzinom: Klinik | ||
| Allgemeines |
|||
| Epidemiologie | 4.-häufigster Tumor. Helicobacter pylori - Infektion: 0,1 bis 3% entwickeln ein Magenkarzinom. | ||
| Genetik | Mutation von E-Cadherin | ||
| Stadien | TNM - Klassifikation | ||
| Prognose | Die Prognose hängt vor allem vom Tumorstadium ab. | ||
| Abgrenzung | Tumoren, die bis 5 cm vom ösophago - gastralen Übergang liegen und in den ösophago - gastralen Übergang reichen, werden als Ösophagus - Karzinome des ösophago - gastralen Übergangs klassifiziert. | ||
| Diagnostik | Primärtumor![]() | ||
| Lymphknotenbefall | Die Häufigkeit von Lymphknotenmetastasen hängt vom T-Stadium, der Tumorgröße, der Tumorlokalisation, der Diffenzierung und dem Tumortyp ab. | ||
| Metastasierung | Häufig Lebermetastasen | ||
| CT | Obstruierendes Magenantrumkarzinom. Ausgedehnte Lebermetastasen. | 66jährige Frau nach Gastektomie: Lebermetastasen.![]() | |
| CT | Magenkarzinom an der großen Kurvatur mit Lymphknotenmetastasen. Ausgedehnte Lebermetastasen.![]() |
75jährige Frau mit Magenantrumkarzinom. Miliare pulmonale Aussaat.![]() | |
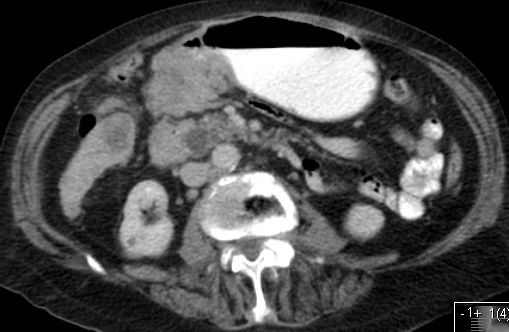
| CT | Magenkarzinom intestinaler Typ, große LK-Metastase am Truncus coeliacus.![]() |
||
Teil von |
Magen - Karzinom | Gastro - Intestinale Tumore | Onkologie |
Quellen |
1.) Moehler M, et al., Deutsche Krebsgesellschaft: S3-Leitlinie „Magenkarzinom“ – Diagnostik und Therapie der Adenokarzinome des Magens und ösophagogastralen Übergangs. Z Gastroenterol 49(2011):461–531 | ||
Impressum Zuletzt geändert am 07.11.2025 21:49