zurück Home

Klinik des Kolon-Karzinoms

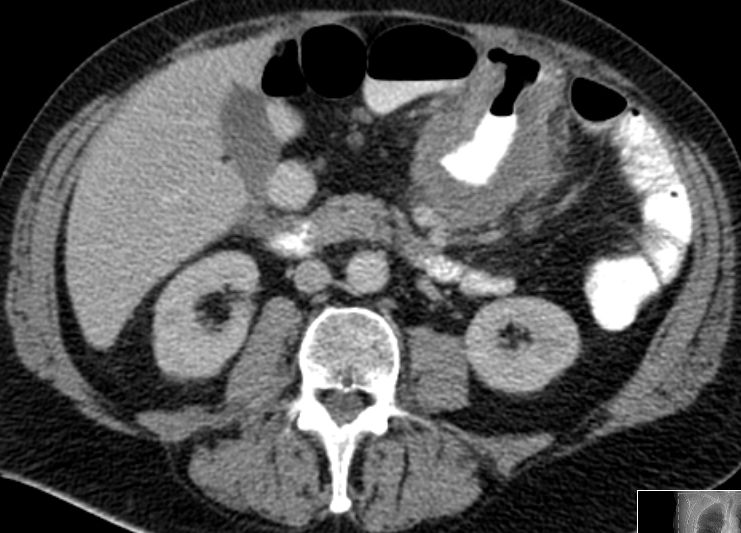
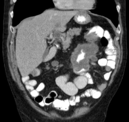
Stenosierender Tumor der linken Flexur mit Ileus.

Allgemeines

 

Prävention

ASS Einnahme vermindert das Risiko von colorektalen Malignomen.

Screening Screening durch Stuhltest und Endoskopie vermindern das Risiko an colorektalen Karzinomen zu sterben.
Symptome Blut im Stuhl, Verstopfung oder Durchfall, Blähungen, krampfartige Bauchschmerzen.
Labor CEA
  • Erstdiagnose: bei 30% der Patienten CEA erhöht
  •  Tumornachsorge: CEA-Anstieg ist ein zuverlässiger Hinweis auf ein Rezidiv.
  • Lebermetastasen: Der CEA-Serumspiegel ist ein unabhängiger Prognosefaktor.
Peritonealkarzinose 15-20% haben eine isolierte Peritonealkarzinose.
Diagnostik Durch Koloskopie erfolgt die histologische Sicherung und die Feststellung von Lage und Ausdehnung.
Anastomosen - Rezidiv 66-jähriger Mann, der vor 6 Monaten ein Karzinom der rechten Colonflexur hatte. Postoperativ pT3d pN2a (6/23)cM1a(PUL) L1 V0 Pn0. Adjuvant Bevacizumab/FOLFIRI. Jetzt endoskopisch Tumornachweis an der Anastomose.

Quellen

1.) Leitlinienprogramm Onkologie (Deutsche Krebsgesellschaft, Deutsche Krebshilfe, AWMF):
S3-Leitlinie Kolorektales Karzinom, Langversion 1.1, 2014,
AWMF Registrierungsnummer: 021-007OL
http://leitlinienprogramm-onkologie.de/Leitlinien.7.0.html [Stand: 21.12.2015]

Teil von

Colon - Karzinom Gastro - Intestinale Tumore
blauer Punkt

Impressum                           Zuletzt geändert am 08.04.2015 6:07