| zurück Home | Meningeom parietal | |||
| Allgemeines |
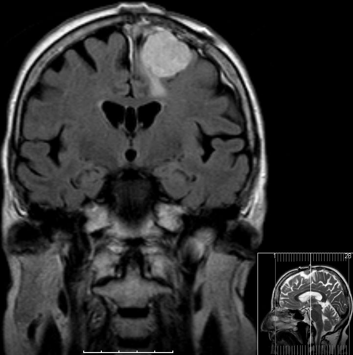
72-jährige Patientin mit Teilparese des rechten Beins, passageren Sprachstörungen und Krampfanfall vor 6 Monaten. | |||
CT vor KM-Gabe . |
CT nach KM-Gabe . | |||
|
|
Postoperative Histologie: Meningeom Grad 1 | . | ||
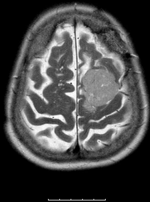
Rezidiv 2 Jahre später. Postoperative Histologie: atypisches Meningeom II°![]() |
. |
. | ||
Teil von |
Meningeom: Diagnostik | Meningeom | ZNS-Tumore | Onkologie |
Impressum Zuletzt geändert am 02.01.2024 6:08