| zurück Home | Meningeom: Diagnostik | ||||||
| MRT eines Meningeoms des Tentoriums |
![]() |
![]() | |||||
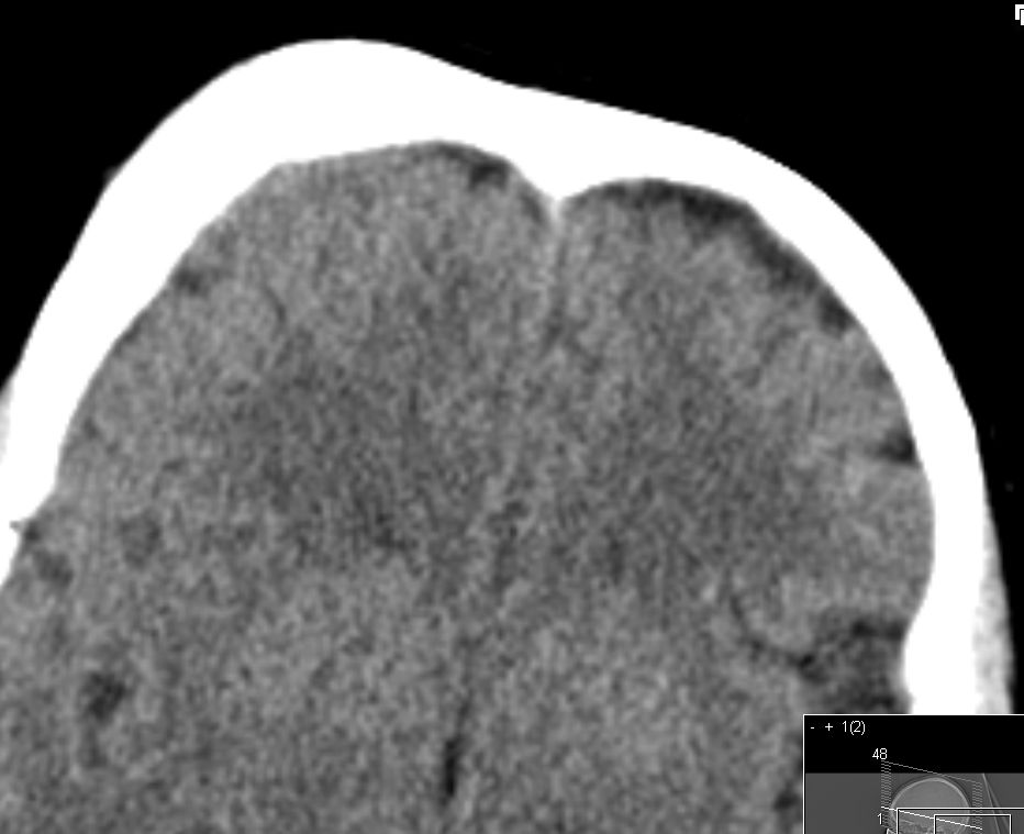
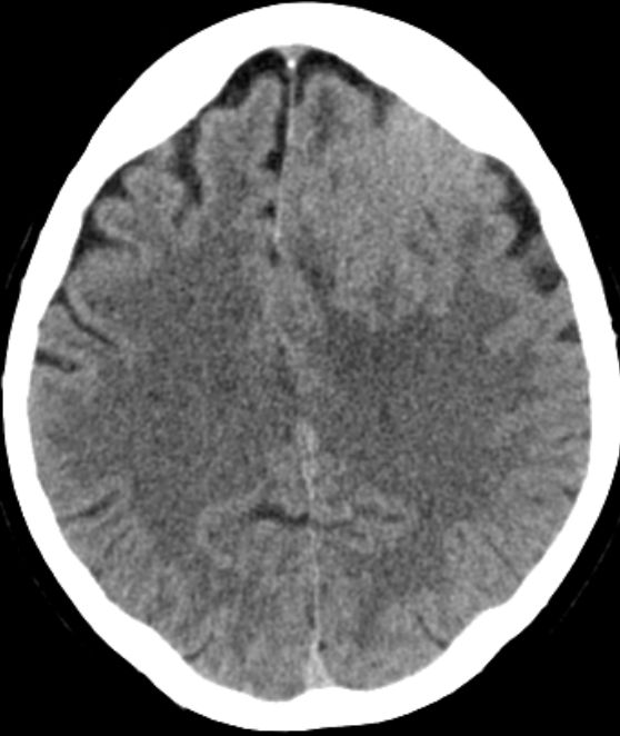
| 72-jährige Patientin mit Teilparese des rechten Beins, passageren Sprachstörungen und Krampfanfall vor 6 Monaten. Postoperative Histologie: Meningeom Grad 1 | CT vor KM-Gabe . |
CT nach KM-Gabe . | |||||
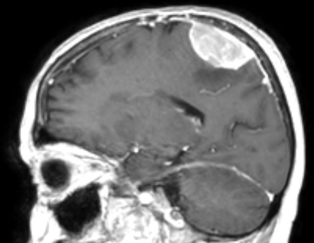
| Meningeom frontal |
59-jähriger Patient, der wegen AV-Block in die Kardiologie eingeliefert wurde. Das CT zeigt einen hirninvasiven Tumor, der die Mittellinie überschreitet. Postoperativ ergab sich ein Meningeom 2. Grades. | . |
|||||
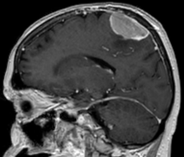
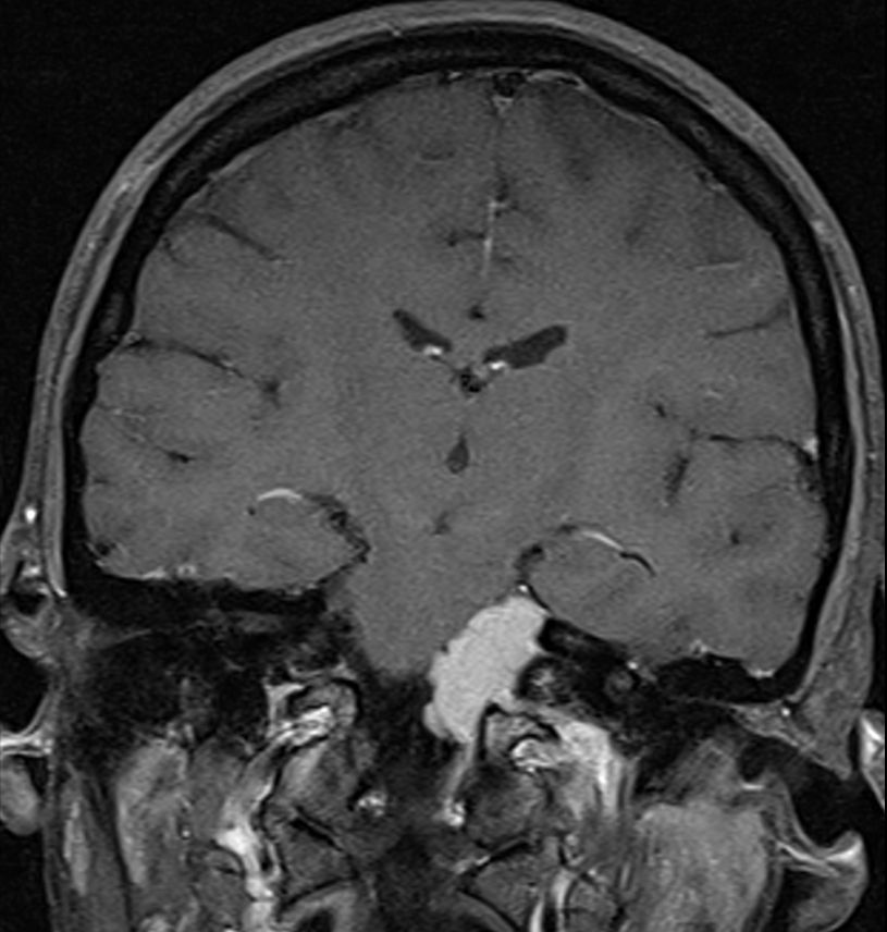
| Meningeom frontobasal |
Asymptomatisch. Geringe Größenzunahme nach einem Jahr. OP geplant.
![]() TR 4000; TE 110; | ||||||
| Meningeom ooccipital |
71-jährige Frau mit Schwindel und Gangstörungen. 35mm großes Meningeom Grad II. Resektion. Rezidiv nach 9 Monaten: keine OP. Bestrahlung mit 60Gy. | ||||||
![]() |
![]() | ||||||
![]() |
![]() | ||||||
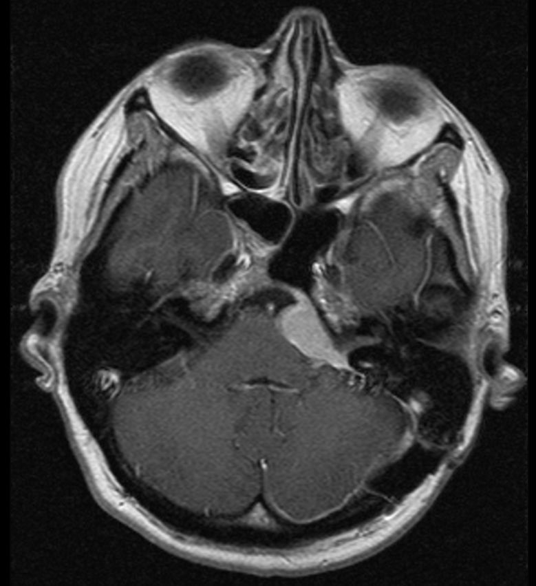
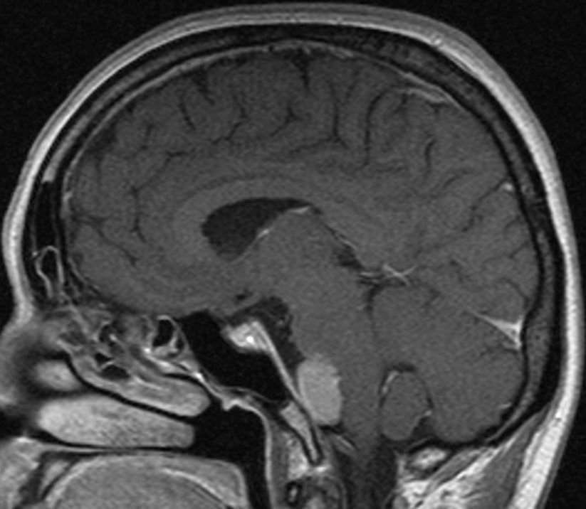
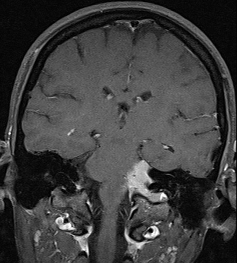
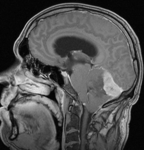
| Kleinhirn-Brückenwinkel |
47-jährige Frau, die vor 6 Jahren ein Kleinhirnbrückenwinkel-Meningeom entwickelte. Nach Operation Gehörverlust links und Stimmbandlähmung links. 2. Operation vor 3 Monaten. | ||||||
Danach fehlende Tränensekretion links und Parästhesien im Gesichtsbereich.![]() |
![]() |
![]() | |||||
![]() |
![]() | ||||||
| össäres Meningeom |
53-jährige Frau mit einer Verdickung des Os frontale rechts. Nach CT VD M. Paget. Wegen Größenzunahme Operation. Histologie: ossäres meningotheliales Meningeom WHO-Grad I. | ![]() |
![]() | ||||
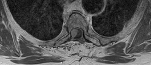
| Rückenmark |
76-jährige Frau mit Rezidiv eines Rückenmarks-Meningeoms. Erstmanifestation vor 17 Jahren. Rezidive von 12, 6 und 3 Jahren jeweils operativ beherrscht. Seit einem Jahr erneut Schmerzen zwischen den Schulterblättern und Druckgefühl im Thoraxbereich. Reduzierter AZ und adipöser EZ. KHK, VHF, Hypertonie, Hypothyreose. Auf Rollator angewiesen. Zunehmende Gangunsicherheit und Kribbeln in den Beinen. Klopfschmerz im Bereich von BWK2-5 stark auslösbar. Die Schmerzen strahlen zeitweise in die Schulterblätter aus. | ![]() | |||||
![]() |
![]() | ||||||
![]() |
![]() | ||||||
![]() |
![]() |
![]() |
![]() | ||||
Teil von |
Meningeom | ZNS-Tumore | Onkologie | ||||
Impressum Zuletzt geändert am 02.01.2024 6:08