| Nierenzell-Karzinom C64 | Im CT nach Kontrastmittelgabe ein
Nierenzellkarzinom links erkennbar.![]() | ||
Allgemeines |
engl. renal cell carcinoma, RCC, früher Hypernephrom | ||
| 3% aller Malignome, weltweit 2007 210.000 Neuerkrankungen, USA (Niere+NB) 2009: 57.760 Neuerkrankungen, 12.980 Sterbefälle | |||
| Prognose | medianes Überleben 1 Jahr, 2-Jahres-Überlebensrate 10-20% | ||
| Nephroblastom, Wilms-Tumor. WT1: Wilms-Tumor-Gen, Schlüsselrolle bei der Entwicklung der Niere. Fehlfunktion im Kindesalter führt zum Nephroblastom. | |||
| Familiäre Syndrome: Hippel - Lindau, hereditäre Leiomyomatose, hereditäres papilläres Nierenzellkarzinom, Burt - Hogg - Dube - Syndrom | |||
| nur fortgeschrittene Tumoren machen Symptome: Haematurie, tastbarer Tumor, Schmerzen | |||
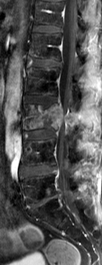
| 14% regionale Lymphknoten, 31% Lunge, 15% Knochen | MRT: Knochenmetastasen
![]() | ||
| TNM - Klassifikation nach UICC / AJCC 7 | |||
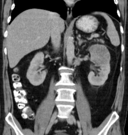
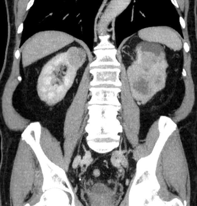
| VHL: 84-98% Veränderung des von Hippel-Lindau-Gens. | 81-jähriger Mann mit einem doppelseitigen Nierenzellkarzinom.![]() |
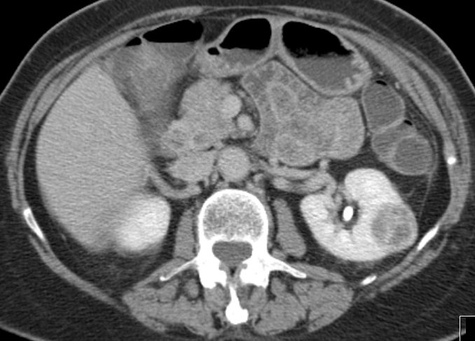
57-jähriger Mann mit einem Nierenzellkarzinom links und Lymphknotenmetastasen.![]() | |
| überwiegend klarzellige Karzinome mit hohem Glykogen- und Fettgehalt. Sarkomatoides Nierenzellkarzinom | |||
Molekularbiologie |
Das Hippel-Lindau (VHL) - Protein bindet HIF-α und leitet den Abbau von HIF-α in Proteasomen ein. | Fehlt intaktes VHL-Protein, so akkumuliert HIF-α. | HIF-α induziert zahlreiche Hypoxie-induzierte Proteine, die unter anderem ein Tumorgefäßwachstum bewirken. MET und AXL werden hochreguliert. |
| Tumornephrektomie, Immuntherapie, TK-Hemmer, Angiogenesehemmer | |||
Operation |
Tumornephrektomie, auch bei M1-Situation | ||
Radiatio |
kein Benefit bei Bestrahlung des
Primärtumors, Knochenmetastasen gut bestrahlbar | ||
Chemotherapie |
Keine anerkannten Protokolle. Behandlung mit Zytokinen, Thyrosinkinasehemmern und mTOR-Inhibitoren. | ||
Zytokintherapie |
Interferon-α (INF-α), Interleukin-2 (IL-2) | ||
Targettherapie |
Bevacizumab, Sunitinib, Sorafenib, Temsirolismus | ||
Belzutifan |
HIF-2α-IH | Phase II-Testung(1) | |
| EORTC 30947, SWOG 8949 | |||
Teil von |
urologische Tumoren | Onkologie | |
| Quellen |
1.) Jonasch E, et al.: Belzutifan for Renal Cell Carcinoma in von Hippel–Lindau Disease. N Engl J Med 2021;385:2036-46. DOI: 10.1056/NEJMoa2103425 | ||
Impressum Zuletzt geändert am 06.06.2022 8:18