| zurück Home | Nierenzell - Karzinom: Metastasen | Lymphabfluss der Niere![]() | |||
Allgemeines |
14% regionale Lymphknoten, 31% Lunge, 15% Knochen | ||||
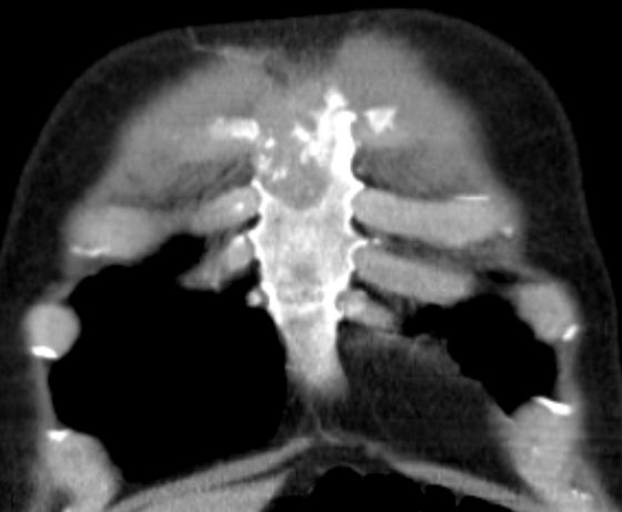
Schmerzhafte Sternummetastase.![]() |
Asymptomatische Lyse am linken Darmbein![]() | ||||
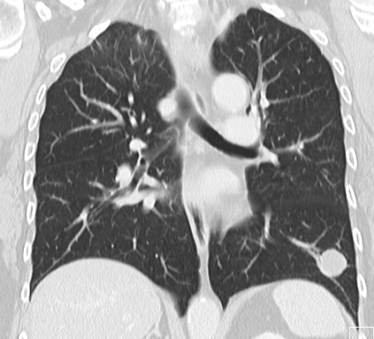
Lungenmetastasen |
67-jährige Frau vor 2 Jahren Mammakarzinom pT1a
pN1a Mo L1 und Nierenzellkarzinom. Vor 4 Monaten Lungenmetastasen. Partielle
Remission unter Pazopanib.![]() | ||||
Hirnmetastasen |
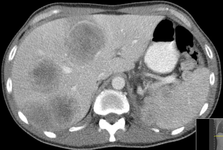
52-jähriger Mann mit klarzelligem
Nierenzellkarzinom mit sarkomatoider Entartung. In der Leber große
Metastasen.![]() |
Subkutane Metastasen.![]() | |||
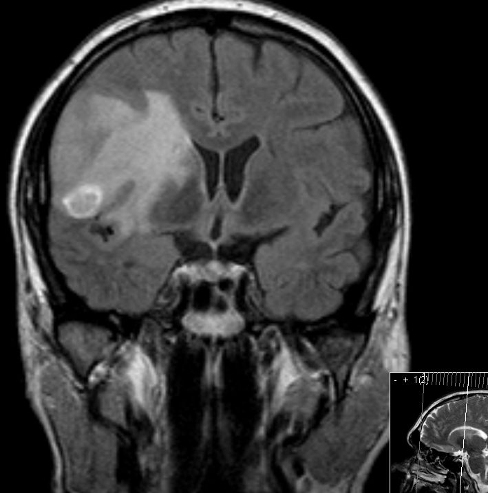
Hirnmetastasen |
52-jähriger Mann mit ossär und visceral
metastasiertem Nierenzellkarzinom. Jetzt Metastase rechts temporal mit
ausgedehnten Hirnödem.![]() | ||||
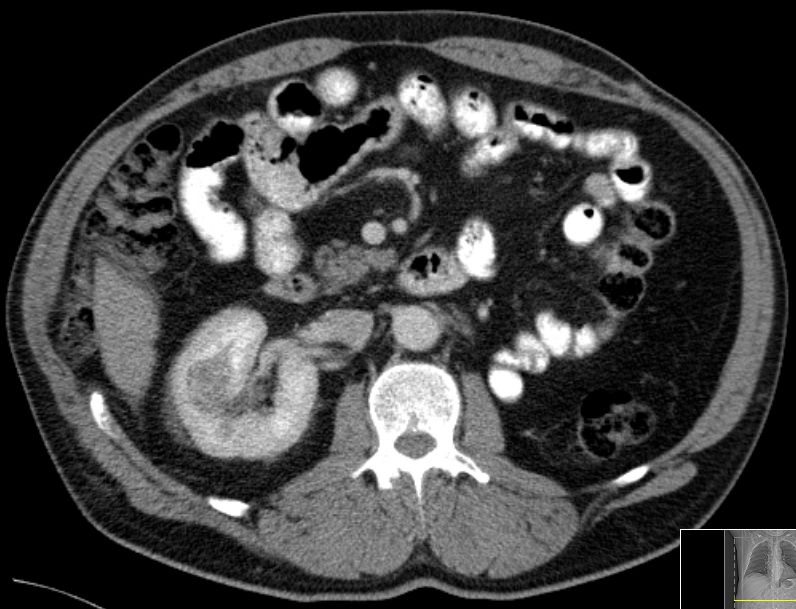
Nieren - Metastase |
61-jähriger Mann mit einem Nierenzellkarzinom
links mit Lungenmetastasen vor 7 Jahren. Therapie mit Sunitinib, dann Pazotinib,
dann Axitinib, dann Sorafenib. Jetzt Metastase in der kontralateralen Niere.
![]() |
||||
Impressum Zuletzt geändert am 06.06.2022 16:04