| Nierenzell - Karzinom: Diagnostik | ||||
Allgemeines |
||||
Gen - Diagnostik |
VHL: 84-98% Veränderung des von Hippel-Lindau-Gens. | |||
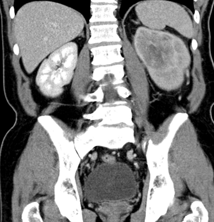
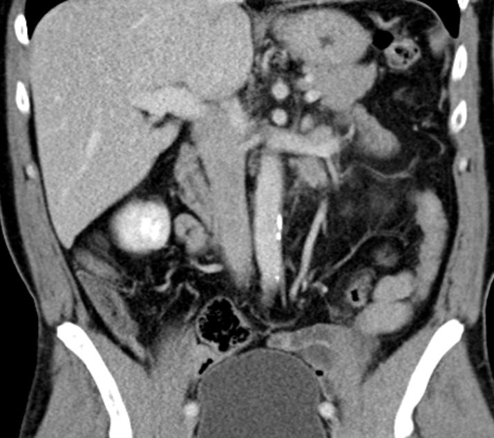
| CT | 81-jährige Frau mit einem großen, die linke Niere einnehmendem
Tumor. Histologie: Urothelkarzinom.![]() | |||
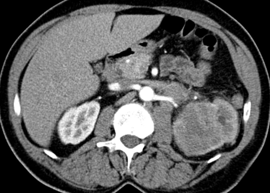
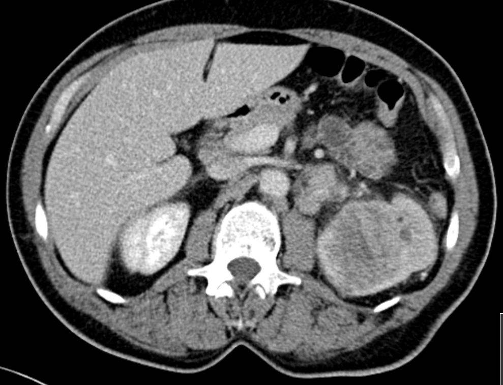
Die linke Nierenarterie ist von LK-Metastasen eingeschlossen.![]() | ||||
Auch im Mediastinum große LK-Metastasen.![]() | ||||
CT |
54-jähriger Mann mit
Rückenschmerzen. Bei der Durchuntersuchung wurde eine Metastase in BWK5 mit drohendem Querschnitt gefunden. Es erfolgte eine Laminektomie und Stabilisierung von Pedikelschrauben von T3,4 aud T6,7. Als Primärtumor wurde ein Nierentumor T3 pN2(4/5) m1oss gefunden. |
Histochemie: GATA 3 kräftige Kernfärbung. Zytokeratin 7, Zytokeratin färben Tumorzellen kräftig zytoplasmatisch.Zytokeratin 5/6 negativ. p40 färben einen Teil der Tumorzellkerne. Diagnose: invasives Urothelkarzinom des Nierenbeckens mit Lymphknotenmetastasen. | ||
![]() |
![]() |
![]() | ||
![]() |
![]() | |||
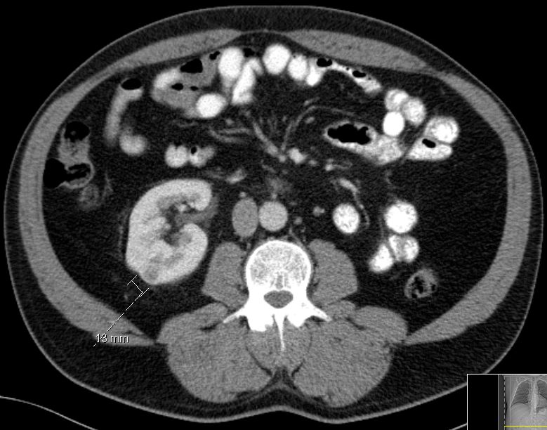
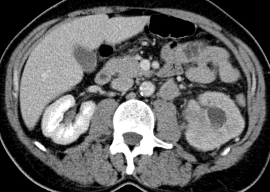
CT |
61-jähriger Mann, der vor 7 Jahren
ein Nierenzellkarzinom links hatte. Jetzt ein 13mm großer Herd in der rechten
Niere. Nierenerhaltende Enukleation: Nirenzellkarzinom.![]() | |||
Quellen |
1.) Schmidbauer J, et al.: Diagnostic accuracy of computed tomography-guided percutaneous biopsy of renal masses. Eur Urol 53(2008):1003-11 2.) Lechevallier E, et al.: Fine-needle percutaneous biopsy of renal masses with helical CT guidance. Radiology 216(2000):506-10 3.) Neuzillet Y, et al.: Accuracy and clinical role of fine needle percutaneous biopsy with computerized tomography guidance of small (less than 4.0 cm) renal masses. J Urol 171(2004):1802-5 | |||
Impressum Zuletzt geändert am 06.06.2022 16:04