zurück Home Von-Hippel-Lindau-Czermak-Syndrom
Retino-cerebelläre Angiomatose
allgemeines

Klinik Gefäßmissbildungen Zysten Tumoren
Gefäße
  • typische Angiome der Netzhaut
  • Angiome im
    • Cerebellum
    • Hirnstamm
    • Rückenmark
  • Im Großhirn extrem selten
  • Kavernome der Leber
Zysten
  • Leber
  • Nieren
  • Pankreas
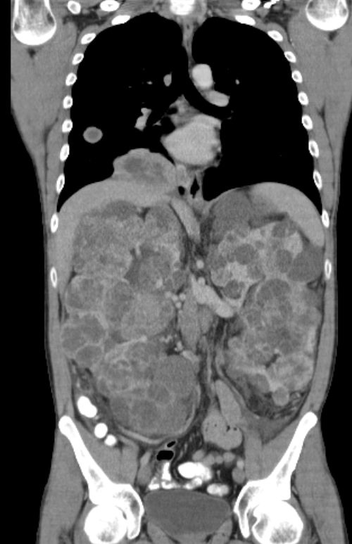
Riesige Zystennieren beiderseits.
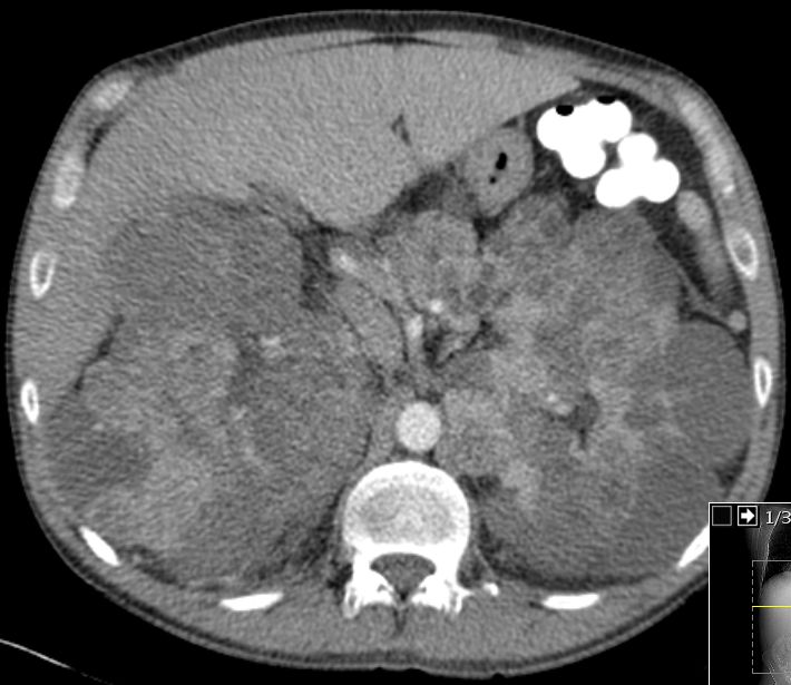
Die Zystennieren enthielter beiderseits Nierenzellkarzinome. Die Lungenmetastasierung ist erkennbar.
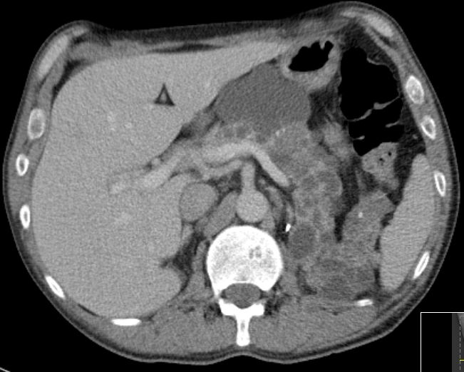
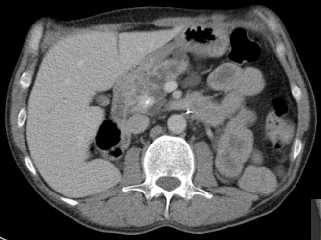
Multiple Pankreaszysten. Nieren beiderseits entfernt.
Tumoren Nierenzellkarzinome
70% aller Patienten
Die Inaktivierung des VHL-Gens führt zu einer Aktivierung von HIF-2α.
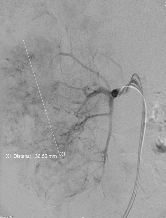
Im CT war der Tumor durch die multiplen Zysten verdeckt. In der DSA ist das atypische Gefäßbild des Nierenzellkarzinoms erkennbar.
Phäochromozytom
Fallbeispiel 40-jähriger Mann
  • polyzystische Niesen beiderseits
  • vor 4 Jahren Nephrektomie beiderseits Nierenzellkarzinom
  • vor 6 Jahren OP Hämangioblastoms im Kleinhirnwurm rechts
  • Pankreaszysten
Quellen 1.) et al.:


Impressum                         Zuletzt geändert am 05.10.2013 8:48