| zurück Home | DLBCL: Klinik | |||
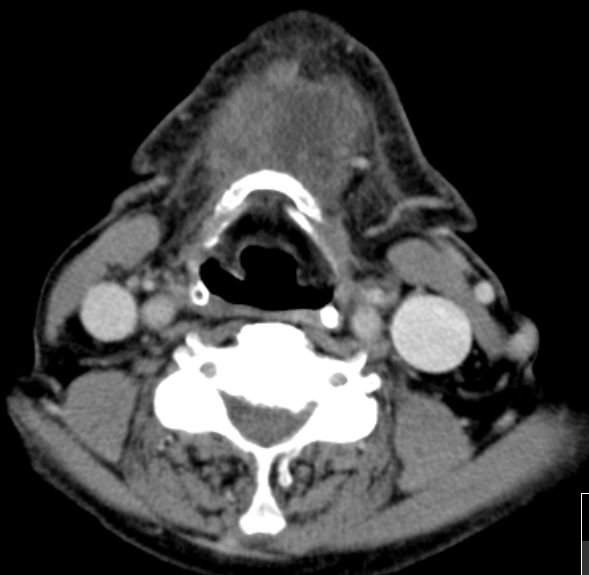
| HNO | 81-jähriger Mann mit einer refraktären Anämie im Rahmen einer Myelodysplasie. Seit einigen Wochen eine rasch wachsende Vorwölbung am Kinn. Intraoperativ infiltrative Gewebeveränderungen, die vom Platysma nicht abzugrenzen sind. Scharfe Absetzung von der Mundbodenmuskulatur. Histologisch zentroblastenänliche Morphologie, CD20 stark positiv, teilweise BCL2-positiv. Keine Expression von S100, Melan A, CK7, EMA, AE1/3, Cyclin D1. CD3 bei nichtläsionalen T-Lymphozyten positiv. |
|||
|
|
| ||
Duodenum |
75-jähriger Mann mit mehrfachen Gastroskopien und Biopsien in den letzten 3 Monaten ohne
Malignom - Nachweis. Transkutane Biopsie: diffus großzelliges B-Zell-Lymphoms vom polymorph zentroblastischen Subtyp, Stadium I EA.![]() |
![]() | ||
![]() |
![]() | |||
Milzbefall |
primärer Milzbefall![]() |
|||
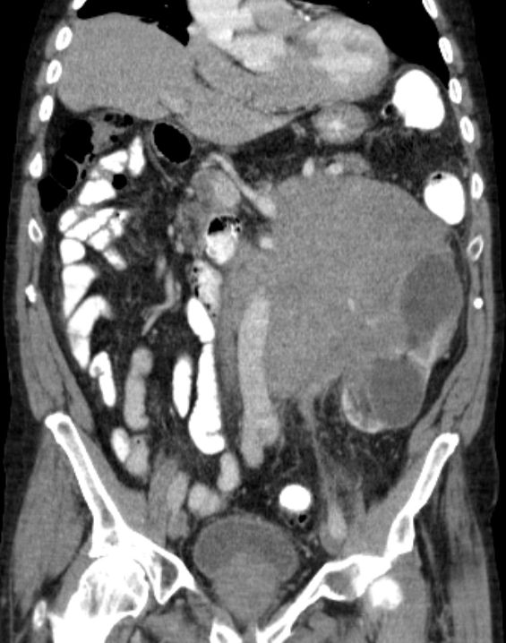
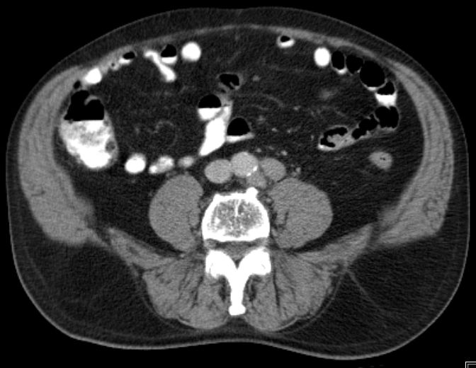
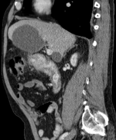
aortaler Bulk |
80-jähriger Mann mit einem retroperitonealen NHL.![]() |
| ||
Paraaortale LK |
Befall der Nl. paraaortales links![]() | |||
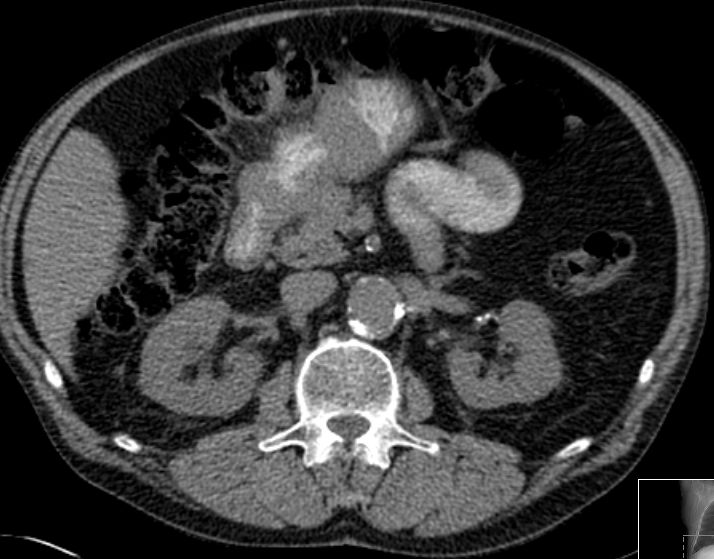
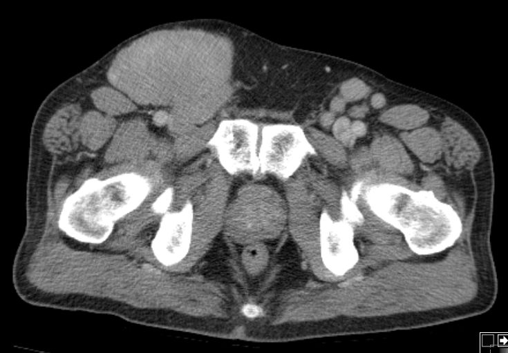
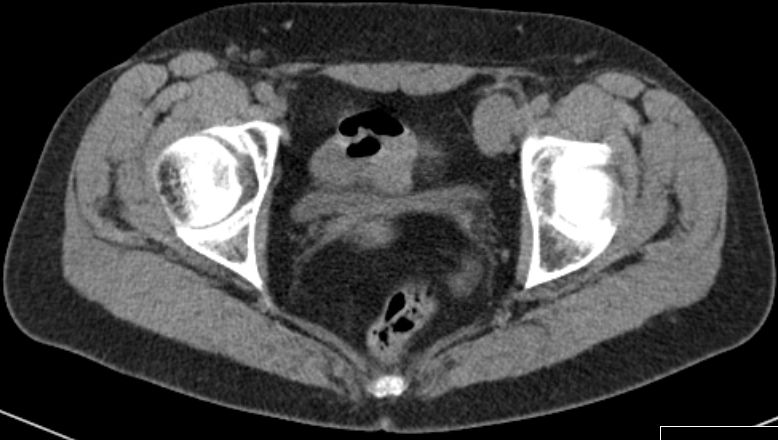
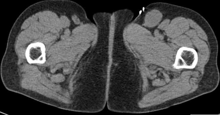
iliaca externa und inguinal |
59-jährige Frau mit einem Knoten in der linken Leiste.![]() |
![]() |
![]() | |
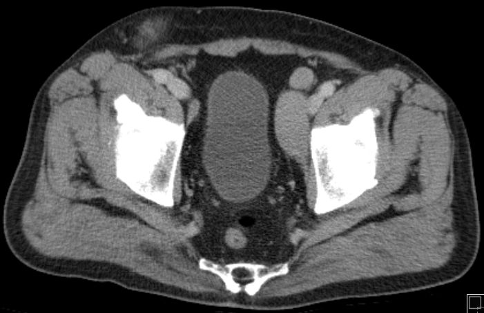
inguinaler Bulk |
72-jähriger Mann mit Verdacht auf
Hernia inguinalis rechts. PE: diffuses großzelliges B-Zellymphom.![]() |
Befall der Nl. iliaca externa![]() | ||
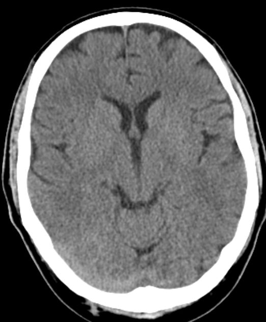
Kalotte |
46-jähriger Mann, der sich vor 6 Wochen am Hinterkopf gestoßen habe. Die Schwellung sei nicht zurückgegangen. Er habe zusätzlich Kopfschmerzen bekommen.
Das CT zeigt lediglich eine Füllung des Liquprspaltes links dorsal.Der Befund erwies sich DLBCL, welches die Dura infiltriert hatte. ![]() |
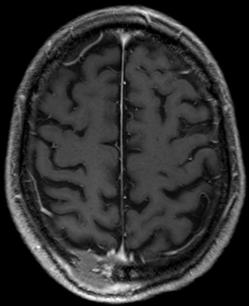
Im T1-gewichteten MRT ist der Tumor
zu erkennen.![]() | ||
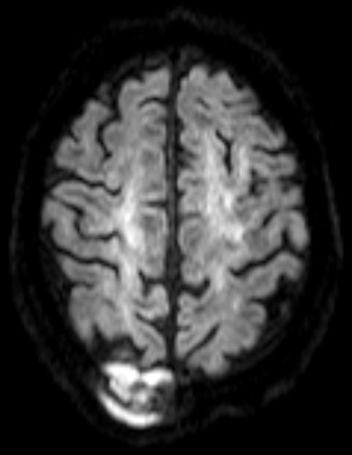
Das Flaire-MRT zeigt, dass das Lymphom vom Knochen ausgeht und nach außen und innen wächst.![]() |
Im DWI-MRT macht das Lymphom ein besonders starkes Echo.![]() | |||
Femurbefall |
Pathologische subtrochantäre Fraktur bei extranodalem, intraossärem DLBCL.![]() |
Ein Jahr später: Versorgung mit γ-Nagel. Pseudarthrose mit Beschwerden.![]() | ||
Quellen |
1.)
| |||
|
||||
Impressum Zuletzt geändert am 01.03.2013 17:59