Neubildungen der Lippen und der Mundhöhle | |||||||||||||||||||
| Allgemeines |
Dazu gehören: Lippen, Zunge (außer Zungengrund), Zahnfleisch, Mundboden, Harter Gaumen, Wangenschleimhaut, harter Gaumen, Vestibulum oris, Retromolarraum | ||||||||||||||||||
| Epidemiologie | USA 2008: 10.820 Erkrankungen, 1.840 Sterbefälle. Risikofaktoren: HPV-16, Betel - Kauen | ||||||||||||||||||
| Regionen |
|
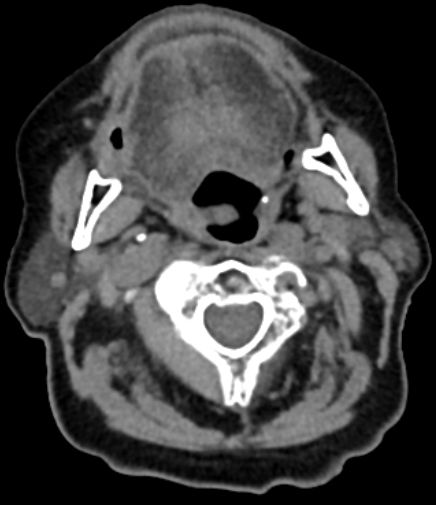
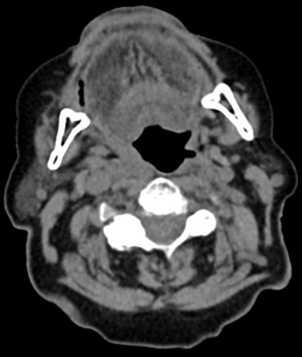
63-jähriger Mann mit Leberzirrhose und ACI-Stenose.
Es besteht ein Hypopharynx - Karzinom und ein Weichgaumenkarzinom mit Übergang auf den harten Gaumen.![]() | |||||||||||||||||
| Staging | TNM-Klassifikation, UICC8 | ||||||||||||||||||
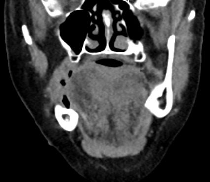
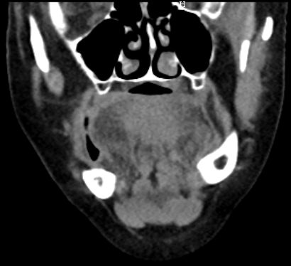
| Wangenschleimhaut - Karzinom | Die bukale Mucosa zeigt eine enge Beziehung zur Mucosamembran und zur Muskulatur.![]() | ||||||||||||||||||
84-jährige demente pflegebedürftige Frau, die ein Geschwür rechts neben der Zunge bemerkt hat.
Erst der Zahnarzt äußerte Malignomverdacht. Plattenepithelkarzinom der Wangenschleimhaut cT2 cNo Mo.![]() |
![]() |
![]() |
![]() | ||||||||||||||||
| Gaumen-Karzinom | Blick von unten auf den harten Gaumen Im vorderen Teil mit Plicae palatinae transversae.
Im hinteren Teil die Glandulae palatinae.![]() |
Chutta-Karzinom der Hindus | |||||||||||||||||
| Histologie | gut differenziertes Plattenepithelkarzinom der Mundhöhle. H-E-Färbung. Bildquelle: KGH via Wikimedia commons | ||||||||||||||||||
| Molekularbiologie | HPV-positive Tumoren haben p53-Wildtyp, Cyclin D - und pRB - Downregulation. | ||||||||||||||||||
| Therapie | |||||||||||||||||||
Teil von |
HNO-Tumore | Onkologie | |||||||||||||||||
Quelle |
1.) Lapeyre M, Bollet MA, Racadot S, Geoffrois L, Kaminsky MC, Hoffstetter S, et al.: Postoperative brachytherapy alone and combined postoperative radiotherapy and brachytherapy boost for squamous cell carcinoma of the oral cavity, with positive or close margins. Head Neck 2004;26:216–23. 2.) Chinn SB, Myers JN: Oral cavity carcinoma: Current management, controversies, and future directions. J Clin Oncol 2015;33:3269-3276 3. Yamazaki H, Yoshida K, Yoshioka Y, et al: High dose rate brachytherapy for oral cancer. J Radiat Res (Tokyo) 2013;54:1-17 4.) Lee SU, Cho KH, Moon SH, et al: Clinical outcome of high-dose-rate interstitial brachytherapy in patients with oral cavity cancer. Radiat Oncol J 2014;32:238-246 | ||||||||||||||||||
Impressum Zuletzt geändert am 29.05.2025 21:15