Neubildungen des Zahnfleisches und des Alveolarkamms |
Frontalschnitt durch Ober und Unterkiefer. Es wird die enge Beziehung zwischen Zahnfleisch und Mundboden, Glandula sublingualis, Wangenschleimhaut und Musculus buccinator gezeigt.
![]() |
|||
| Allgemeines |
IVD10: C03 Zahnfleisch, Alveolarkamm | |||
| Epidemiologie | Europa: <10% der oralen Karzinome. In Japan häufigstes Karzinom nach Zungenkarzinom. | |||
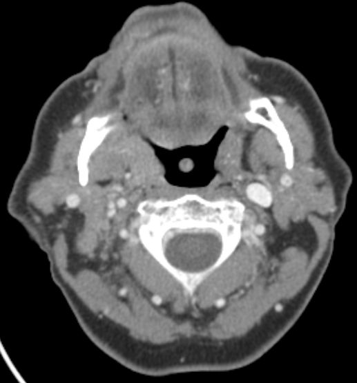
| CT | Alveolarkamm - Karzinom des linken Unterkiefers mit großem Lymphknotenkonglomerat unter dem Musculus sternocleidomastoideus
![]() |
![]() |
![]() |
|
| Lymphabfluss | Lymphabfluss des Zahnfleisches des Unterkiefers in die submentalen, submaxillären und subdigastrischen Lymphknoten
![]() |
Lymphabfluss des Zahnfleisches des Oberkiefers in die submaxillären und
zervikalen Lymphknoten, selten in die retropharyngealen Lymphknoten![]() | ||
| Therapie | OP mit Mandibulektomie oder Maxillektomie. | |||
Quelle |
1.) |
|||
Teil von |
Neubildungen der Lippen und der Mundhöhle | HNO-Tumore | Onkologie | |
Impressum Zuletzt geändert am 05.07.2021 21:15