Neubildungen des Mundbodens | |||
| Allgemeines |
|||
| Epidemiologie | |||
| Stadien | . | ||
| Prognose | . | ||
| Klinik | ![]() |
||
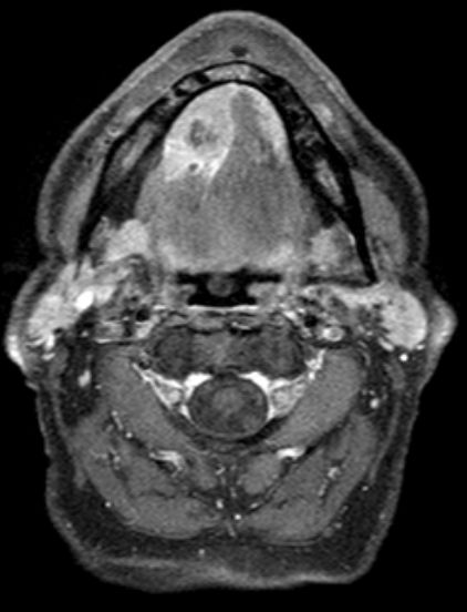
| MRT | Mundbodenkarzinom rechts T4 N2b Mo![]() ![]() ![]() |
||
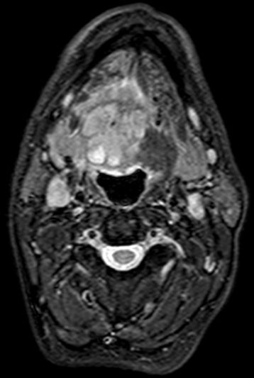
| MRT | 54-jähriger Mann mit Mundbodenkarzinom links cT4 cN2 M0. Zunächst Schmerzen im linken Unterkiefer, dann spontan Zahnausfall. Zahnarzt: kein Tumorverdacht. Dann Schwellung am vorderen Unterkiefer links. Klinisch 8 cm große, derbe, fixierte Schwellung am linken Unterkiefer, die bis zur Kinnspitze reicht und etwas auf die Gegenseite herüberreicht. Enoral Fäden nach Extraktion sichtbar. Kein Tumorulcus! Der Unterkieferknochen ist medial kranial arodiert und wird über weite Strecken vom Tumor eingeschlossen. Der Tumor durchbricht die Mundbodenebene nach kaudal und reicht bis zum Zungenbein. | ||
|
|
|
|
|
|
||
| MRT | 64jährigen Bauingenieur mit einem Mundbodenkarzinom rechts cT4 cN2 M0. Vor 7 Wochen leichte Schwellung unter der Zunge. Am Unterkiefer adhärenter maligner Prozess. Keine Infiltration knöcherner Strukturen. Metastasensuspekter Lymphknoten an der Karotisbifurkation rechts. | ||
![]() |
![]() |
||
![]() |
![]() |
|
|
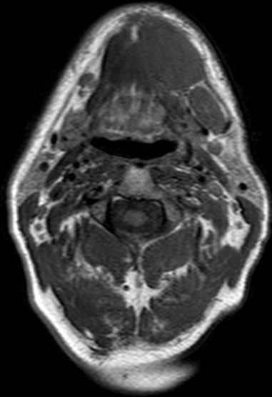
| MRT | 54-jähriger alkoholkranker Schlosser mit einem Tumor von Zungenrand, Zungengrund und Mundboden. | ||
|
| ||
|
|
||
| Diagnostik | . | ||
| Morphologie | . | ||
| Molekularbiologie | |||
| Therapie | . | ||
| Ergebnisse | . | ||
Operation |
. | ||
Radiatio |
. | ||
Chemotherapie |
. | ||
Target - Therapie |
. | ||
offene Protokolle |
. | ||
Teil von |
Neubildungen der Lippen und der Mundhöhle | HNO-Tumore | Onkologie |
Quelle |
|||
Impressum Zuletzt geändert am 30.01.2015 16:52