zurück Home

Neubildungen der Zunge

Allgemeines

 
Epidemiologie USA 2008: 10.140 Erkrankungen, 1.880 Sterbefälle
Stadien .
Prognose Lymphknotenmetastasen bei T1 und T2 - Tumoren (1)
Makroskopie Superfizial 38/186 (20%)
Exophytisch/nodulär 76/216 (35%)
Invasiv / ulzeriert 77/126 (61%)
Tumordicke 1–4 mm 38/191 (20%)
5–8 mm 66/158 (42%)
9—12 mm 42/94 (45%)
13 mm 45/85 (53%)
Tumorausdehnung 1–10 mm 3/24 (13%)
11–20mm 36/130 (28%)
21–30mm 107/259 (41%)
31–40mm 45/115 (39%)
Klinik Großes Zungenrand-Karzinom mit überschreiten der Mittellinie, Befall der Tonsille rechts.
.
Metastasierung Lokalisation von Lymphnotenmetastasen bei T1 und T2 - Tumoren (1)
Level ipsilateral kontralateral
I 46 (24%) 3 (1,6%)
II 109 (57%) 1 (0,5%
III 23 (12%) 1 (0,5%
IV 6 (3%) 0
Lymphabflusses der Zunge: die Lymphknotengefäße der Zunge entspringen cranial und anterior in der Zunge. Sie drainieren in die zervikalen und submentalen Lymphknoten.
 Lymphabflusses der Zunge
Lymphabfluss der Zunge: die Tumorzellen können die Mittellinie kreuzen und in die submaxillären oder zervikalen Lymphknoten der Gegenseite metastasieren.
Lymphabfluss der Zunge
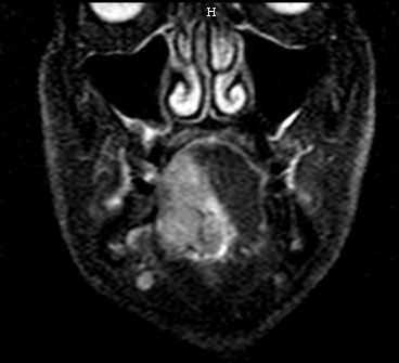
Diagnostik Zunächst CUP mit Lymphknotenpaket links Level III. Im MRT Zungengrundtumor nahe der Mittellinie.
Morphologie .
Molekularbiologie HPV-positive Tumoren habe p53-Wildtyp, Cyclin D - und pRB - Downregulation.

Teil von

HNO-Tumore Onkologie

Quelle

1.)Nakagawaa T et al.:
Neck node metastasis after successful brachytherapy for early stage tongue carcinoma.
Radiotherapy and Oncology 2003;68:129–135

2.) Inoue T, Inoue T, Yoshida K, et al.:
Phase III trial of high- vs. low-dose-rate interstitial radiotherapy for early mobile tongue cancer.
Int J Radiat Oncol Biol Phys 2001;51:171-175

3.) Ichimiya Y, Fuwa N, Kamata M, et al.:
Treatment results of stage I oral tongue cancer with definitive radiotherapy.
Oral Oncol 2005;41:520-525

Impressum                         Zuletzt geändert am 02.07.2021 4:08