| zurück Home | Metastasen des Mamma - Karzinoms |
![]() Lymphangiosis carcinomatosa der kontralateralen Brust | |
allgemeines |
Das Risiko von Metastasen hängt vor allem vom TNM-Stadium, dem Grading, dem Rezeptorstatus ab. | ||
| Das Thoraxwand - Rezidiv nach Ablatio mammae hat eine schlechtere Prognose als das intramammäre Rezidiv nach brusterhaltender Therapie. | |||
Koronares CT mit Darstellung zahlreicher
Lymphknotenmetastasen links axillär
![]() | |||
supraclaviculäre Lymphknoten |
52-jährige Frau, bei der vor einem Jahr ein 15 mm großes invasiv-duktales Mammakarzinom rechts o/iq nach 3 Wochen Letrezol (Adapt-Studie) operiert wurde. Postoperativ ypT1c, ypN0 (0/2 sn), cM0, L1 V0 R0, G2, ER: 6/12, PR: 0/12, HER-2/neu: negativ, Ki-67: 30%, Oncotype DX Recurrence Score 40. CHT: 8 x nabPaclitaxel -> 4 x EC. Dann Bestrahlung der Brust. AHT mit Letrozol. Jetzt palpable Lymphknotenmetastasen supraklavikulär rechts. CT: Die teilweise rechts retroklavikulär hinter der rechten medialen Klavikula und supraklavikulär gelegenen Lymphknotenmetastase hat eine Größe von maximal 2,5 cm. Weiter oberhalb und dorsalseitig sind im rechten unteren Halsdreieck dorsal der rechten Vena jugularis externa konfluierende inhomogene Lymphknoten mit Einzelgrößen bis zu 1,5 cm und einer Gesamtpaketausdehnung bis zu 4 cm sichtbar. | ||
![]() |
![]() | ||
![]() |
![]() | ||
![]() |
![]() | ||
![]() |
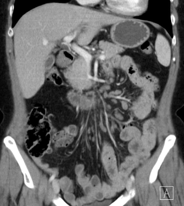
Leider auch im Mesenterium vergrößerte Lymphknoten.![]() | ||
parasternale Lymphknoten |
![]() MR, Frontalschnitt mit Darstellung der parasternalen Gefäße (= Mammaria interna). | ||
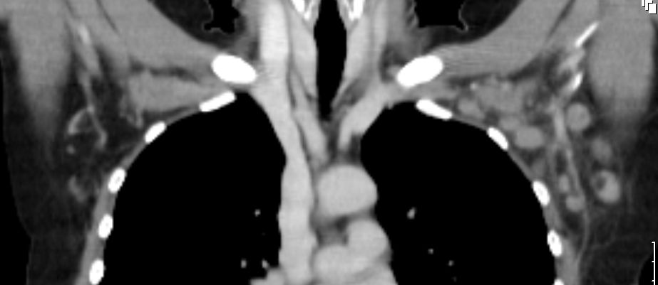
mediastinale Lymphknoten |
75-jährige Frau mit triple-negativem
Mammakarzinom. Chemotherapie abgelehnt. Im Planungs-CT
Lymphknotenvergrößerung mediastinal und parasernal.![]() | ||
Haut |
Es besteht eine flächige Rötung und Verdickung
der Haut mit relativ scharfer Begrenzung. ![]() |
Die
Tumorzellen haben sich von der Brustregion auf die Bauchhaut und auf die
kontralaterale Brust ausgebreitet. | |
| Knochenmetastasen | Absiedelungen ins Knochenmark sind besonders typisch für das Mammakarzinom. Durch moderne Behandlung sind die Überlebenszeiten lang. | ||
CTCs |
Circulating tumor cells | Zeigen eine schlechte Prognose an. | |
| Ovarial - Metastasen | Klinisch manifeste Ovarial - Metastasen sind mit 3% eher selten. in 40% der Fälle bestehen fortgeschrittene Läsionen im Becken. Lobuläre und bilaterale Mammakarzinome sind häufiger (1). | ||
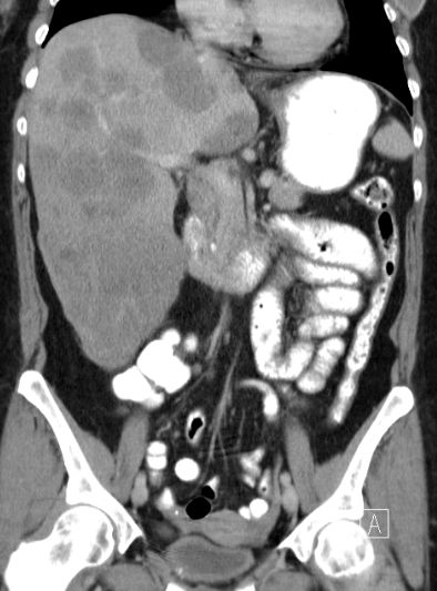
| Lebermetastasen | 51-jährige Patientin mit metastasiertem
Mammakarzinom. Leber vergrößert und von Metastasen durchsetzt.![]() |
46-jährige Frau, die vor 5 Jahren ein
Mammakarzinom hatte. Jetzt ungewöhnliche perihiläre Lebermetastasierung. Bei
der laparoskopischen Sicherung zusätzlich Peritonealkarzinose festgestellt.![]() | |
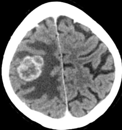
| Hirnmetastasen | Pat. fiel in der Nachsorge wegen einer Apraxie der linken Hand bei erhaltener Kraft und Sensibilität auf. Große Rindenmetastase rechts. Durch das ausgeprägte Ödem wird der intergyrale Liquorspalt rechts vollständig komprimiert. | ||
![]() |
![]() | ||
| Rezeptoren von Metastasen | Bei der Behandlung geht man davon aus, dass Rezidive und Metastasen den gleichen Rezeptorstatus haben, wie der Primärtumor. Im Einzelfall gibt es aber Abweichungen. | ||
| Quellen | 1.) Bigorie V et al: Ovarian metastases from breast cancer. Cancer 116 (2010): 799-804 | ||
Teil von |
Mamma - Karzinom | Gynäkologische Onkologie | |
Impressum Zuletzt geändert am 21.11.2014 17:06