| zurück Home | Knochenmetastasen des Mamma - Karzinoms | ||||||||||
allgemeines |
70% aller Frauen mit metastasiertem Mamma - Karzinom entwickeln Knochenmetastasen(1). | ||||||||||
Art (1) |
| ||||||||||
Schulter |
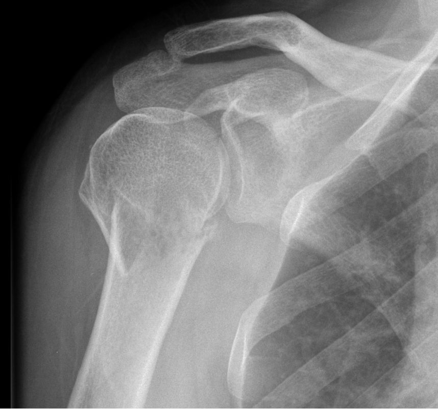
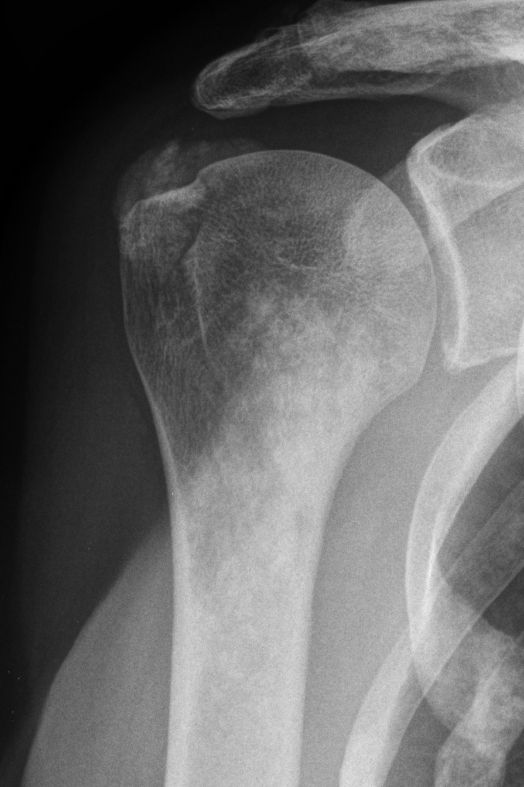
70-jährige Frau mit ossär metastasiertem
Mammakarzinom. Wolkige Verkalkungen im Humeruskopf. Osteoblastische Metastasen.![]() |
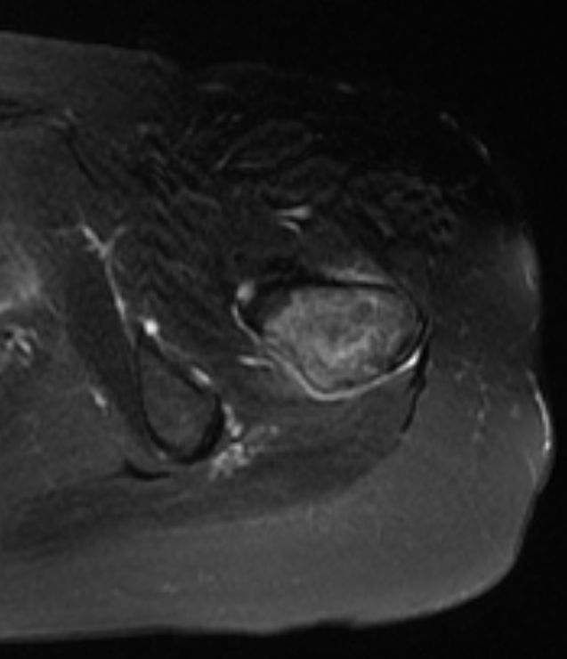
48-jährige Frau mit exulzeriertem Mammakarzinom und multiplen
Metastasen. Nach leichtem Sturz subkapitale Humerusfraktur.![]() | |||||||||
Wirbel |
![]() |
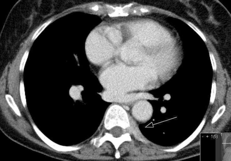
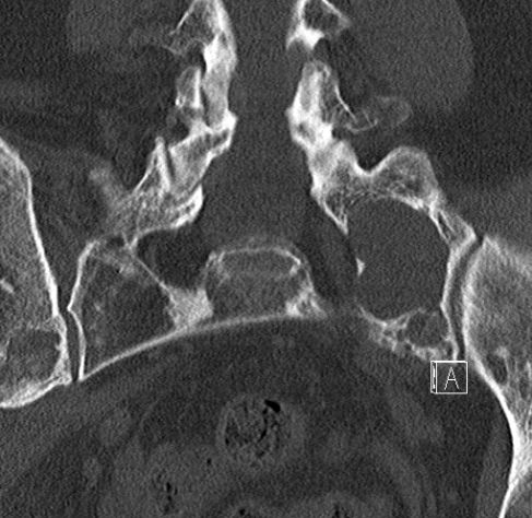
60-jährige Frau mit metastasierten Mammakarzinom. Jetzt
segmentförmige Schmerzen der linken Thoraxwand. das CT zeigt einen diskreten
Weichteiltumor mit Infiltration des Neuroforamens.![]() | |||||||||
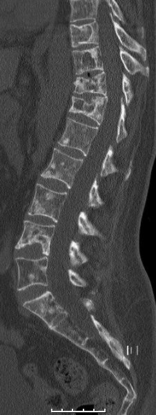
52-jährige Frau mit exulzeriertem, blutendem
Mammakarzinom T4b N3a M1. Diffuse Metastasierung der Wirbelsäule.![]() |
|||||||||||
| 47-jährige Patientin 5 Jahre nach Mamma-Karzinom links oben außen pT2 pN1a (3/19) M0, L1, V0, R0, G2, ER12, PR9, Her2/neu 0 brusterhaltende Operation, Axilladissektion, 3x FEC, 3x Taxotere, Tamoxifen, Bestrahlung der linken Brust Knochenszintigraphie Wegen Rückenschmerzen wurde eine Skelettszintigraphie durchgeführt(Bild: SPECT der Wirbelsäule):
| |||||||||||
Sternum |
![]() | ||||||||||
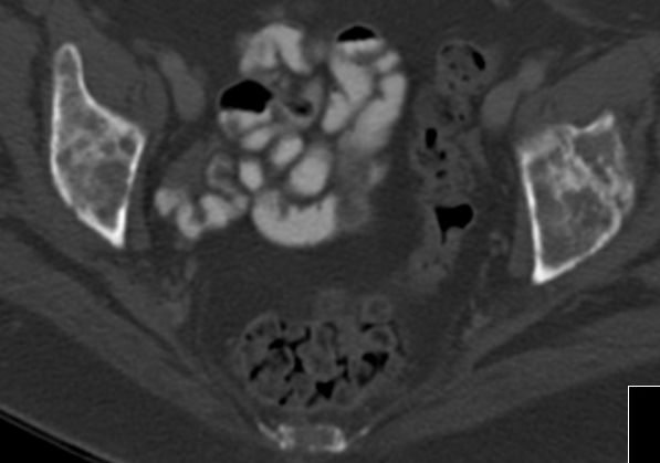
Kreuzbein |
![]() | ||||||||||
Hüfte |
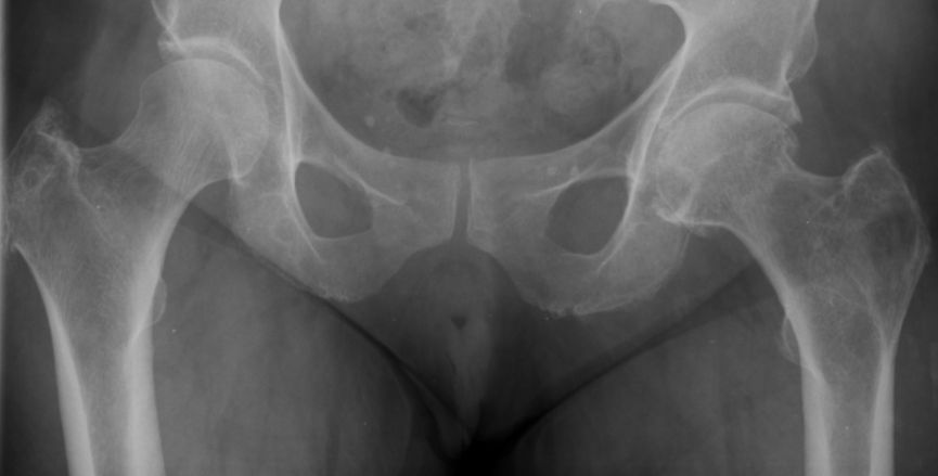
52-jährige Frau mit exulzeriertem, blutendem
Mammakarzinom T4b N3a M1. Metastasierung des Pfannendachs.![]() | ||||||||||
Trochanter major |
77jährige Frau mit Coxarthrose und schwerer LWS-Skoliose. 5 Monate nach diesem Bild wurde am linken Trochanter major eine 45mm große Knochenmetastase eines bis dahin unbekannten Primärtumors entfernt. | ||||||||||
![]() |
![]() | ||||||||||
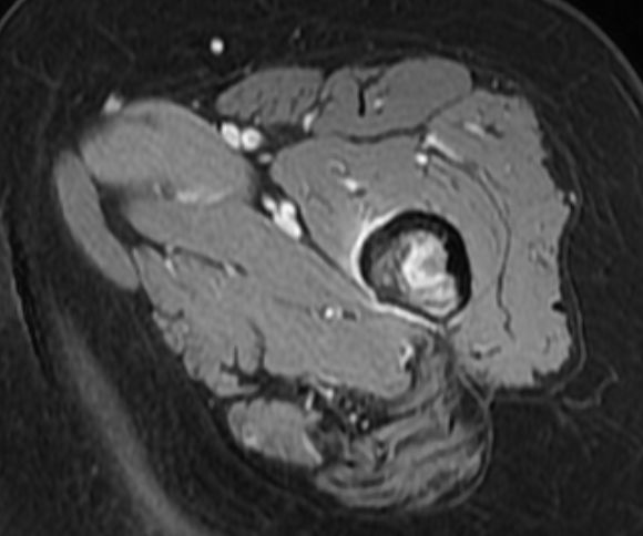
Femur | 58-jährige Frau mit Mammakarzinom links vor 14 Jahren und Mammakarzinom rechts vor 2 Jahren. Seit 4 Monaten Schmerzen im linken Oberschenkel. Jetzt Lungenmetastasen, osteoplastische Metastasen im LWk1 bis LWK4 sowie eine Osteolyse im linken Femur. | ||||||||||
MRT T2 KM Fett - saturiert![]() |
MRT T2 KM Fett - saturiert![]() | ||||||||||
MRT T1 KM Fett-saturiert![]() |
MRT T1 KM Fett-saturiert![]() | ||||||||||
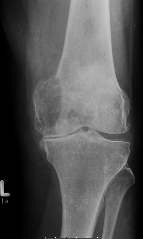
Knie | 83jährige Frau
mit schwerer Gonarthose. Knochenmetastasen als Erstsymptom eines
Mammakarzinoms.![]() | ||||||||||
SRE |
skeletal-related events: pathologische Frakturen, Kompression des Spinalkanals und Knochenschmerzen, die eine Strahlentherapie oder chirurgische Intervention erfordern. | ||||||||||
Dänisches Register (2) |
Danish National Patient Registry (DNPR) | 1999 - 2007: 35.912 Mammakarzinome, 178 (0,5%) mit Knochenmetastasen (2). | Von 178 entwickelten 77 (43.2%) im Verlauf SRE. | ||||||||
| Im Verlauf von 3,4 Jahren entwickelten of 1.272 von 35.690 metastasenfreien Frauen (3.6%) Knochenmetastasen. | Von diesen erlitten 590 (46.4%) SRE. | ||||||||||
| Von der Diagnose bis zum SRE verstrichen im Median 0,7 Jahre. | Die Inzidenz von Knochenmetastasen war im 1. Jahr nach Diagnose am häufigsten. | Die Rate von SRE war im 1. Jahr nach der Diagnose am häufigsten. | |||||||||
Therapie |
Biphosphonate | Zoledronat | Kurzinfusion alle 4 Wochen | Nach einem Jahr kann das Intervall auf 3 Monate verlängert werden. | |||||||
alternative Therapie (AGO-Leitlinie 2017)
| |||||||||||
| Quelle |
1.) Quattrocchi et al.: Bone metastases in breast cancer: higher prevalence of osteosclerotic lesions. Radiol Med 112(2007)1049-1059 2.) Jensen A, et al.: Incidence of bone metastases and skeletal-related events in breast cancer patients: A population-based cohort study in Denmark. BMC Cancer 11(2011): 29 | ||||||||||
Impressum Zuletzt geändert am 01.11.2013 18:19