zurück Home

Lymphknoten - Metastasen des Mamma - Karzinoms

allgemeines

  • axilläre Lymphknoten
  • supraclaviculäre Lymphknoten
  • parasternale Lymphknoten
  • mediastinale Lymphknoten

axilläre Lymphknoten

Koronares CT mit Darstellung zahlreicher Lymphknotenmetastasen links axillär
52-jährige Frau mit exulzeriertem, blutendem Mammakarzinom T4b N3a M1. 14 extrirpierte LK tumorhaltig. R2-Resektion wegen Ummauerung der Axillagefäße.
49-jährige Frau mit Mammakarzinom links im Prolongement axillaire pT3 pN3a (24/27) M0, G3, L1, V0, ER-, PR-, Her2/neu-, Ki67 80%.
18 Monate vorher hat die Patientin einen Knoten in der linken Achselhöhle getastet. Nach Exzision ergab sich ein gutartiger Befund. Vor 12 Monaten erneut ein Knoten getastet. Da der erste Knoten gutartig war, hat man zunächst abgewartet. Vor 3 Wochen Stanzbiopsie: maligne. Trotz wiederholter Untersuchung der Brust mit verschiedenen Methoden konnte außerhalb der Achselhöhle kein Mammakarzinom festgestellt werden.

supraclaviculäre  Lymphknoten

52-jährige Frau, bei der vor einem Jahr ein 15 mm großes invasiv-duktales Mammakarzinom rechts o/iq nach 3 Wochen Letrezol (Adapt-Studie) operiert wurde.
Postoperativ ypT1c, ypN0 (0/2 sn), cM0, L1 V0 R0, G2, ER: 6/12, PR: 0/12, HER-2/neu: negativ, Ki-67: 30%, Oncotype DX Recurrence Score 40.
CHT: 8 x nabPaclitaxel -> 4 x EC.
Dann Bestrahlung der Brust.
AHT mit Letrozol.
Jetzt palpable Lymphknotenmetastasen supraklavikulär rechts.
CT: Die teilweise rechts retroklavikulär hinter der rechten medialen Klavikula und supraklavikulär gelegenen Lymphknotenmetastase hat eine Größe von maximal 2,5 cm.
Weiter oberhalb und dorsalseitig sind im rechten unteren Halsdreieck dorsal der rechten Vena jugularis externa konfluierende inhomogene Lymphknoten mit Einzelgrößen bis zu 1,5 cm und einer Gesamtpaketausdehnung bis zu 4 cm sichtbar.
Leider auch im Mesenterium vergrößerte Lymphknoten.

parasternale Lymphknoten

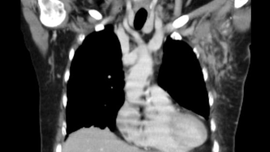
paraternale LK
MR, Frontalschnitt mit Darstellung der parasternalen Gefäße (= Mammaria interna).

mediastinale Lymphknoten

75-jährige Frau mit triple-negativem Mammakarzinom. Chemotherapie abgelehnt. Im Planungs-CT Lymphknotenvergrößerung mediastinal und parasternal.
Quellen 1.) et al:


blauer Punkt

Impressum                           Zuletzt geändert am 21.11.2014 17:16