| zurück Home | Hirnmetastasen des Mamma - Karzinoms | ||||||||||||||||||||||||||
allgemeines |
Die Häufigkeit von Hirnmetastasen ist ansteigend. Hirnmetastasen sind häufig Prognose-führend. | ||||||||||||||||||||||||||
| Epidemiologie | Häufigkeit von Hirnmetastasen nach rezeptorpositivem Mammaklarzinom: 4% (4) Zwischer Primärdiagnose und Hirnmetastase lagen im Median 32,5 Monate |
Risikofaktoren für Hirnmetastasen sind:
| |||||||||||||||||||||||||
| Prognose | Mediane Überlebenszeit 7,4 Monate (3). 1a-OS: 37,7%. | ||||||||||||||||||||||||||
| GPA-Index (1) | Graded Prognostic Assessment
TNBC: Triple-negativ. ER+: Hormon-Rezeptor-positiv |
Das Überleben nach Hirnmetastasen ist um so besser, je größer die Summe der Faktoren ist.
![]() Nach Daten aus (1). | |||||||||||||||||||||||||
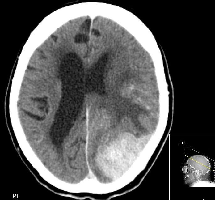
| CT | Pat. fiel in der Nachsorge wegen einer Apraxie der linken Hand bei erhaltener Kraft und Sensibilität auf. Große Rindenmetastase rechts. Durch das ausgeprägte Ödem wird der intergyrale Liquorspalt rechts vollständig komprimiert. | ||||||||||||||||||||||||||
![]() |
![]() | ||||||||||||||||||||||||||
| CT | 76-jährige Frau, die vor fünf Jahren ein 8 mm großes, Tripel-negatives Mammakarzinom hatte. Nach einem Sturz im Heim wurde ein CT angefertigt. Die Bilder zeigen eine Metastase der Schädelkalotte und einen großen intrazerebralen Tumoranteil mit Kompression des linken Hinterhorns. | ||||||||||||||||||||||||||
![]() |
![]() | ||||||||||||||||||||||||||
| BMBC(3) | Register: Brain Metastases in Breast Cancer. Bis 2018 wurden 2315 Fälle eingegeben(2). | ||||||||||||||||||||||||||
| leptomeningeale Metastasen | Gesamtüberleben 5,7 Monate mit und 8,7 Monate ohne leptomengeale Beteiligung. | ||||||||||||||||||||||||||
| Quellen |
1.) Subbiah M, et al: Validation and Development of a Modified Breast Graded Prognostic Assessment As a Tool for Survival in Patients With Breast Cancer and Brain Metastases. J Clin Oncol 2015;33:2239-2245. DOI: 10.1200/JCO.2014.58.8517 2.) Müller V, et al.: Zerebrale Metastasierung beim Mammakarzinomen. Senologie 2018;16:213-218 3.) Witzel I: Tratment and Outcomes of patients in the Brain Metastasis in Breast Cancer Network Registry. Europ J Cancer 2018;102:1-6 4.) Cacho-Díaz B, et al: Brain metastasis risk prediction model in females with hormone receptor-positive breast cancer. Radiotherapy and Oncology 197 (2024) 110379 https://doi.org/10.1016/j.radonc.2024.110379 | ||||||||||||||||||||||||||
Impressum Zuletzt geändert am 20.09.2015 23:10