zurück

PET-CT

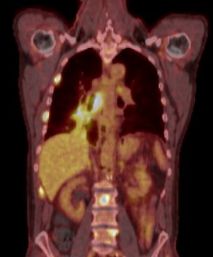
blauer Punkt Plattenepithelkarzinom des rechten Lungenunterlappen cT3 cN3 M1. Der Primärtumor im rechten unteren Hilus und die Mediastinalen Lymphknoten reichern deutlich an. Metastasen in der Wirbelsäule und in 3 Rippen rechts sind erkennbar.
blauer Punkt 65mm großes Adenokarzinom des rechten Lungenoberlappens mit Infiltration der dorsalen Thoraxwand.
blauer Punkt 57-jähriger Mann mit einem 5cm großen Plattenepithelkarzinom des rechten Lungenoberlappens. 3/20 entfernten Lymohknoten waren positiv. Eine paratracheale Metastase stellt sich nicht dar. 4 Wochen nach Operation trat eine Hautmetastase praesaral auf.
blauer Punkt Plattenepithelkarzinom des rechten Lungenunterlappens ypT2a 2/20 LK positiv.

 
blauer Punkt   56-jähriger Mann mit einem Adeno-Ca des rechten Mittellappens. Im CT große Raumforderung im rechten Hilus. Das PET-CT zeigt, dass der eigentliche Tumor unterhalb der Raumforderung sitzt.
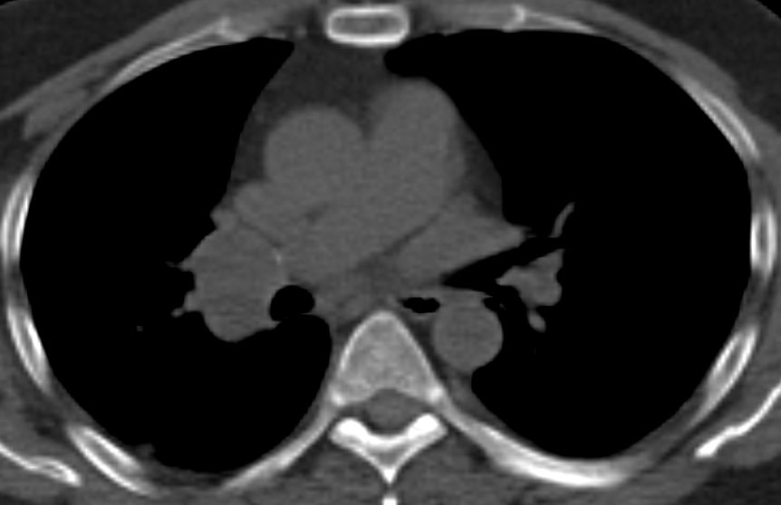
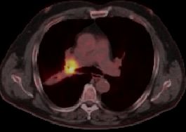
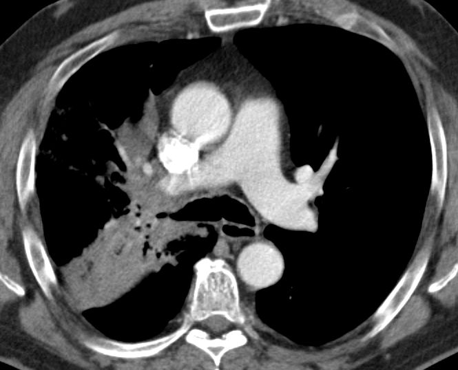
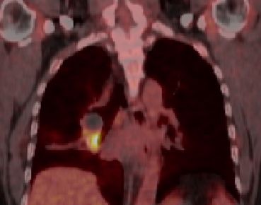
blauer Punkt 72-jähriger Mann, bei dem vor 2 Jahren ein Plattenepithelkarzinom des rechten Mittellappens operiert wurde. Bei asymptomatischem Verlauf im PET-CT ein Rezidiv im oberen rechten Hilus. Bronchusabsetzungsstelle frei!
blauer Punkt  
blauer Punkt  
Quellen  

blauer Punkt

Impressum .....................................................................................Zuletzt geändert am 01.04.2014 19:10