CT beim NSCLC | |||
| rechter Oberlappen |
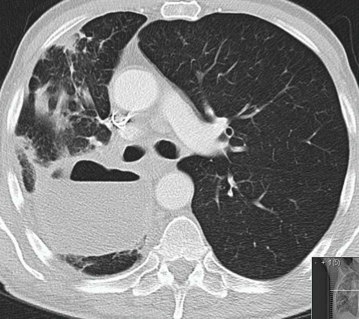
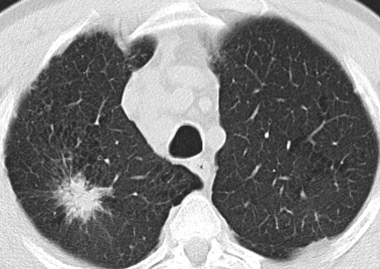
50-jähriger Mann mit einem Adenokarzinom im rechten Oberlappen![]() |
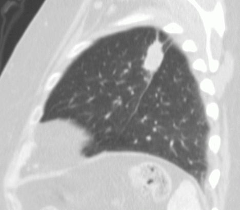
57-jährige Frau mit einem primär cerebral
metastasierten Adenokarzinom im rechten Oberlappen![]() | |
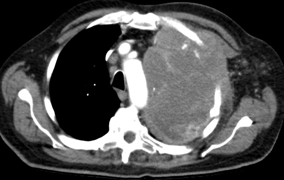
| Pancoast linker Oberlappen | 75-jähriger Mann mit einem adenosquamösen Tumor des linken Lungenoberlappens. Pancoast - Tumor | ||
![]() |
![]() | ||
![]() |
![]() | ||
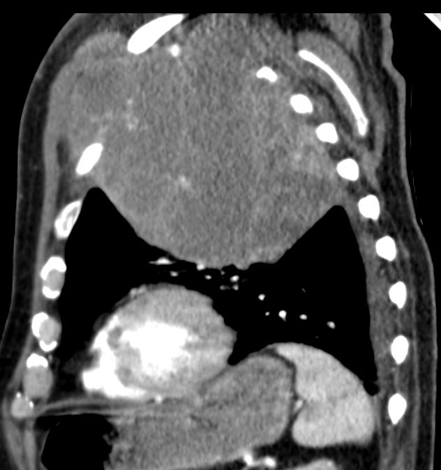
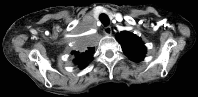
| Pancoast rechter Oberlappen | 66-jährige kachektische Frau mit Nikotin- und
Alkoholabusus, die zur Abklärung eines juckenden Exanthems der Arme und des
Halses zur Aufnahme kam. Keine Schmerzen, keine Armschwellung rechts.
Belastungsdyspnoe bei Emphysembronchitis.![]() |
![]() |
|
![]() |
![]() | ||
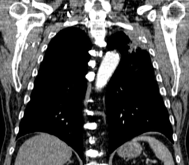
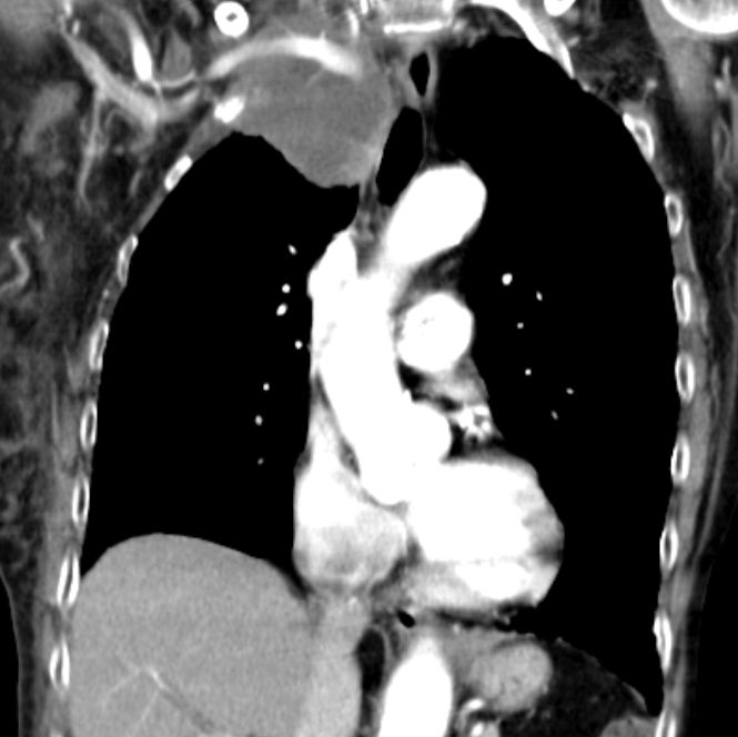
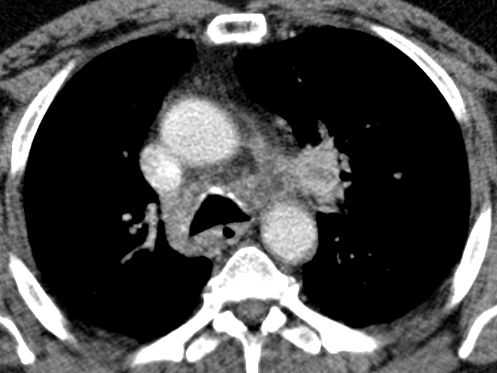
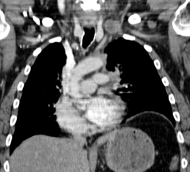
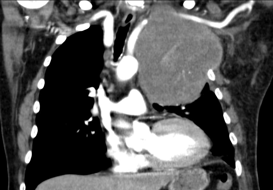
| Pancoast linker Oberlappen | 63-jähriger Mann mit einem Plattenepithelkarzinom
des linken Lungenoberlappens. Klinisch faustgroßes Vorwölbung über dem
linken Schlüsselbein.![]() |
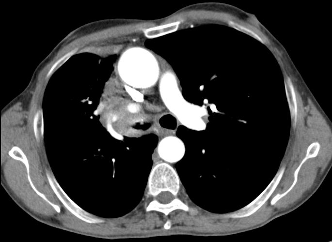
Die Infiltrate haben die A. subclavia
eingeschlossen. Klinisch schlaffe Lähmung des linken Arm mit lividität.
Zusätzlich Verengung des Lidspaltes links.![]() | |
![]() |
![]() |
||
| Bronchus-Kompression | Karzinom des rechten Lungenoberlappens mit
Atelektase des Oberlappens und Impression des rechten Hauptbronchus.![]() |
||
| Mediastinale Infiltration |
![]() |
||
| linker Oberlappen | Plattenepithelkarzinom des linken Oberlappens.
Der Tumor überschreitet nicht die Lappengrenze.![]() |
||
| linker Oberlappen | Adenokarzinom des linken Oberlappens. Der Tumor
liegt dem Aortenbogen an.![]() | ||
| Embolie | 55-jähriger Mann mit SCC rechts zentral mit
Verschluss der Mittellappens und Stenose des Zwischenbronchus T4 N2b Mo. Vom
Tumor eingeschlossen eine Pulmonalarterie mit einer kreisrunden Aussparung
durch einen Embolus.![]() | ||
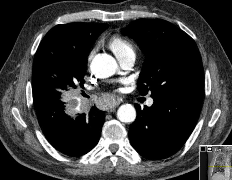
| Lymphknoten Karina | Die Karina wird durch eine große LK - Metastase
aufgespreizt.![]() |
||
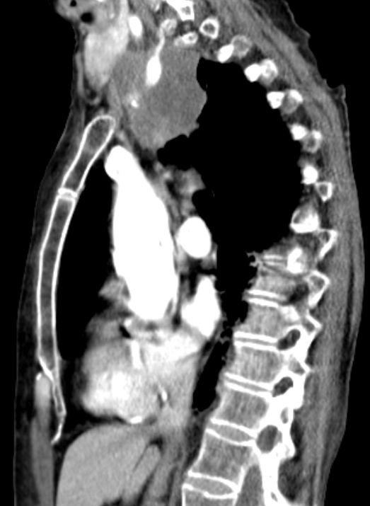
| Wirbelinfiltration | Pancoast - Tumor rechts mit Infiltration der
Wirbelsäule und Erreichen der Speiseröhre. Klinisch Parese des rechten Arms.
Schlucken nicht beeinträchtigt. ![]() |
||
| Thoraxwanddestruktion | Plattenepithelkarzinom des rechten
Lungenoberlappens mit Destruktion der Thoraxwand und mediastinalen
Lymphknotenmetastasen. ![]() |
||
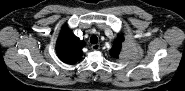
| Supraclavikuläre Lymphknotenmetastase | Lymphknotenmetastase unter der medialen Clavikula
links. ![]() |
||
| Mittellappenatelektase rechts | 57-jähriger Mann mit einem Plattenepithelkarzinom
des re Oberlappens und Atelektase der Mittellappens. ![]() |
||
| Abszess | 65-jähriger Mann mit einem metastasierten
Adenokarzinom des rechten Hauptbronchus. Jetzt Abszessbildung bei minimaler
Symptomatik (CRP 15, kein Fieber). ![]() |
||
| Quellen | |||
Impressum Zuletzt geändert am 22.03.2014 20:56