| zurück Home | Rektum - Karzinom: Leber-Metastasen | |||
| allgemeines | ||||
| CT | CT-Bild eines stenosierenden
Rektumkarzinoms mit Infiltration der Hüllfaszie und Infiltration der
Prostatakapsel.![]() |
|||
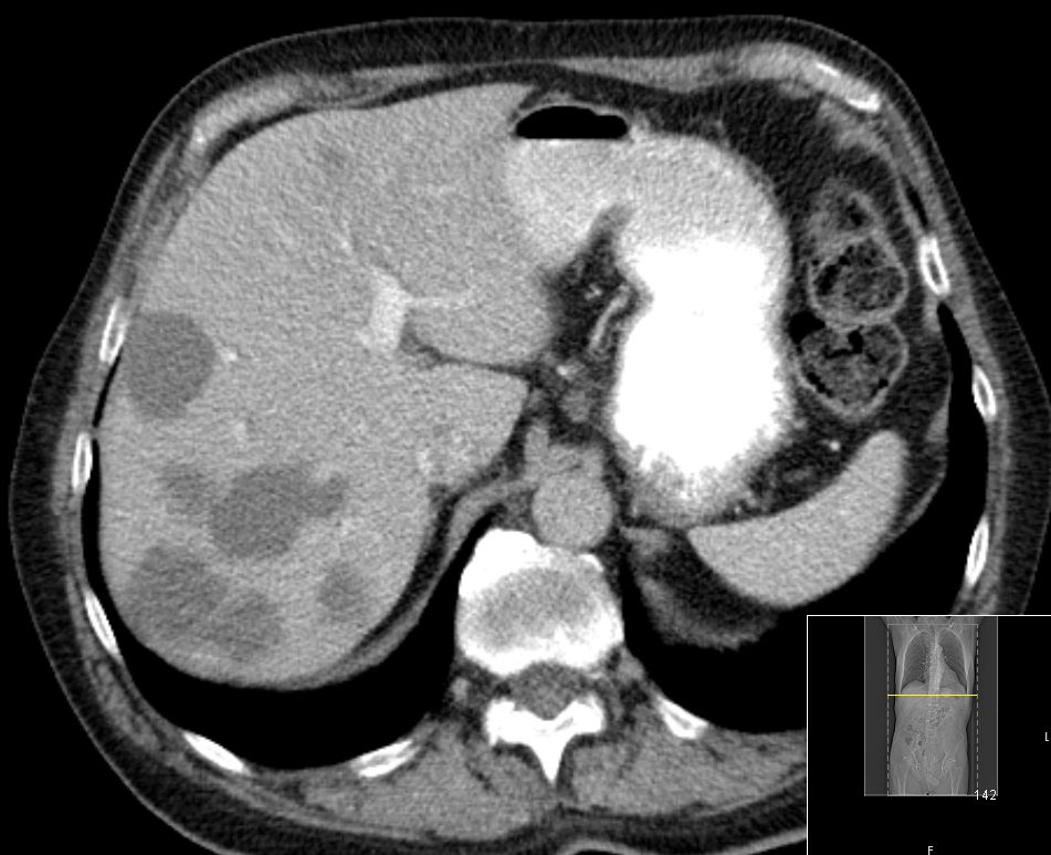
| CT | 61-jährige Frau mit Metastasenleber. Als Primärtumor wurde
ein Rektumkarzinom bei 8cm mit Lymphknotenmetastasen pararektal gefunden. Im
CT ohne KM sind keine Metastasen sichtbar.![]() |
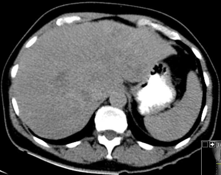
In der arteriellen Phase Unregelmäßigkeiten.![]() | ||
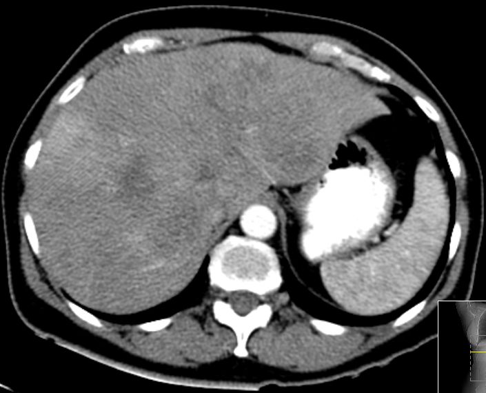
In der portalvenösen Phase Metastasen gut
abgrenzbar.![]() |
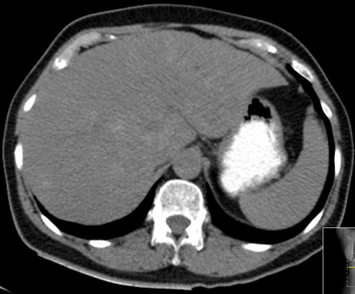
In der Spätphase verschwimmen die Konturen.![]() |
|||
| CT | 57-jähriger Mann mit einem pulmonal und
hepatisch metastasierten Rektumkarzinom. Progress unter Chemotherapie.![]() |
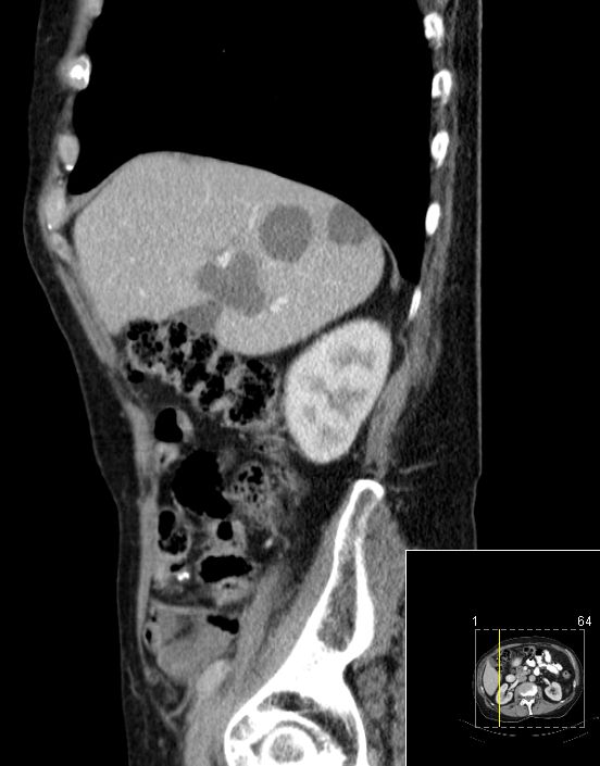
48-jähriger Mann mit Lebermetastasen nach
Rektumkarzinom.![]() |
||
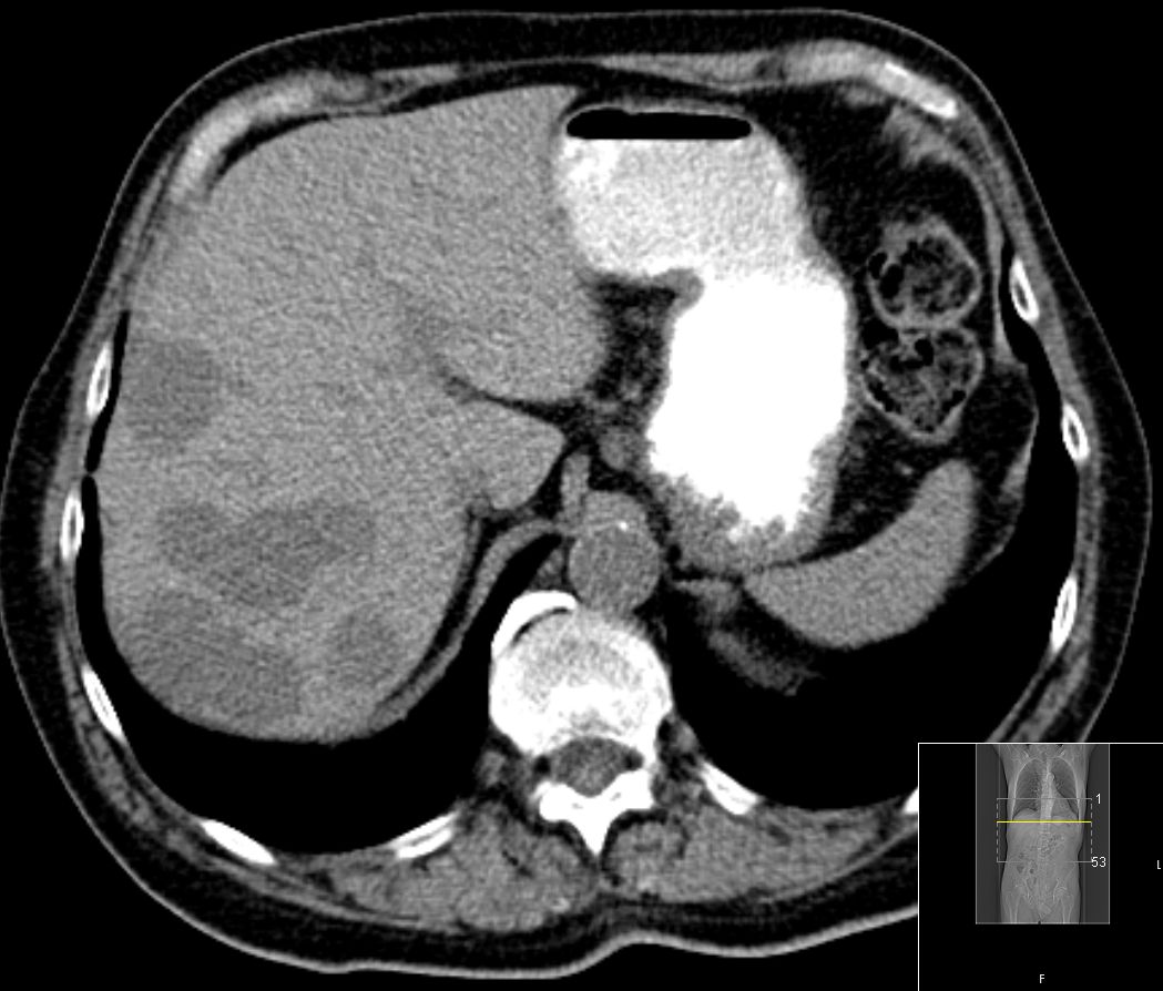
| CT | 75-jähriger Mann, der vor einem Jahr ein Rektum-Karzinom hatte: ypT3a ypN1b(2/18) Mo Li Vo G2. 5x5Gy.
Anteriore Rektumresektion, 4x 5-FU. Jetzt Lebermetastasen.
![]() |
![]() |
![]() |
![]() |
Teil von |
Rektum - Karzinom: Metastasen | Rektum - Karzinom: Klinik | Rektum - Karzinom | Gastro - Intestinale Tumore |
Impressum Zuletzt geändert am 09.07.2021 10:34