| zurück Home | Rektum - Karzinom: Metastasen | ||
| Lymphknoten-Metastasen |
![]() | ||
| Leber-Metastasen | |||
| primär metastasiertes Rektumkarzinom | CT-Bild eines stenosierenden
Rektumkarzinoms mit Infiltration der Hüllfaszie und Infiltration der
Prostatakapsel.![]() |
Fortgeschrittenes stenosierendes Rektumkarzinom
mit Infiltration des Blasenbodens und der Samenblasen.![]() | |
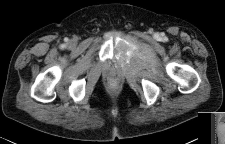
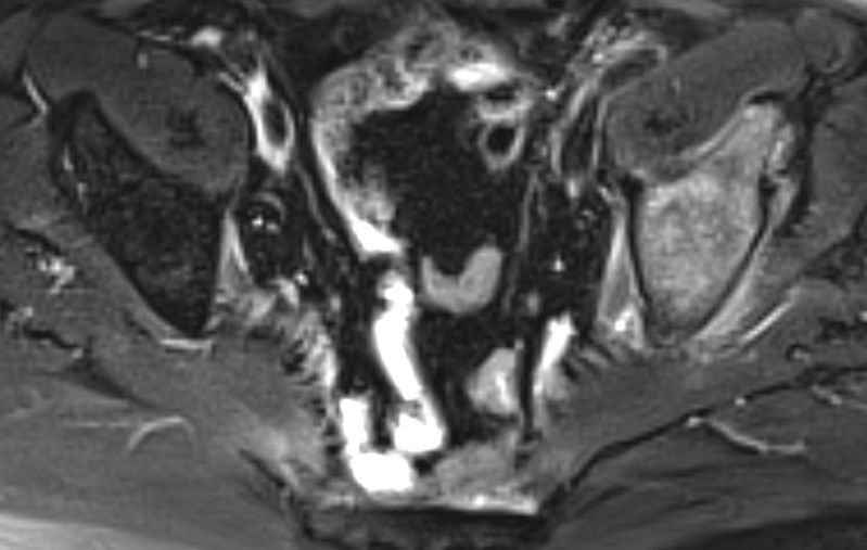
| MRT | Knochenmetastasen im MRT: linkes Pfannendach, Kreuzbein.![]() |
![]() | |
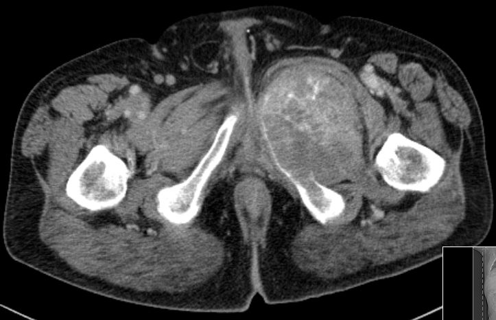
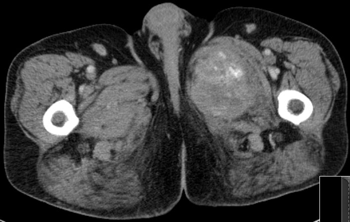
| Knochenmetastasen | 61-jähriger Patient, der vor 2,5 Jahren ein primär hepatisch metastasiertes Rektumkarzinom hatte.
9 Monate FOLFIRI/Erbitux ergaben eine CR der Lebermetastasen.
Mit verschiedenen systemischen und chirurgischen Maßnahmen Tumorkontrolle bis jetzt.
Nun Schmerzen in der linken Leiste besonders beim Treppensteigen.
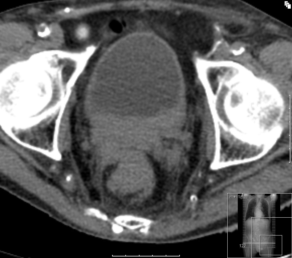
Das CT zeigt eine Schambeinmetastase mit großem Weichteiltumor.![]() |
Der Weichteiltumor ragt nach caudal in den Adduktorenkanal.![]() |
Cranial ist das symphysennahe Schambein völlig zerstört.![]() |
| Knochenmetastasen | 48-jähriger Mann mit eine schmerzhaften Kreuzbeinmetastase in S1.![]() | ||
| Lungenmetastasen | 57-jährige Frau mit primär hepatisch metastasiertem Rektumkarzinom.
Das CT zeigt 2 Metastasen im rechten Lungenunterlappen.
Ganz rechts thoraxwandnah eine 2mm große Verdichtung.![]() |
65-jähriger Mann, der vor 4 Jahren ein Rektum-Ca hatte, welche mit Radiochemotherapie - Quenue-OP und adjuvanter Chemotherapie behandelt wurde.
Vor einem Jahr erstmalig Lungenmetastasen. Cetuximab/FOLFIRI, dann Lungenresektion.
Vor 4 Monaten kein Tumornachweis. Jetzt erneut Lungenmetastasen.![]() |
|
| Bauchdeckenmetastase | 67-jähriger Mann mit hepatisch metastasiertem Rektumkarzinom nach Leberresektion und AP-Anlage.
Das CT zeigt eine Metastase in der Bauchdecke mit zentralem Zerfall.![]() |
||
| Penis - Metastase | Ein 43-jähriger Mann hatte ein Rektumkarzinom ypT3 pNoMo. Nach praeoperativer Radiochemotherapie erfolgte die abdominoperineale Rektumextirpation und die adjuvante Chemotherapie. Eine Lebermetastase konnte 2 Jahre später reseziert werden. Danach FOLFOX-4 6 Zyklen. 4 Jahre nach Primärtherapie Phimose mit 2 Metastasen des Rektumkarzinoms. | N408
||
Teil von |
Rektum - Karzinom | Gastro - Intestinale Tumore | |
| Quellen | |||
Impressum Zuletzt geändert am 28.11.2025 10:34