Rektum - Karzinom: Klinik | ||||||||||||||||||||||||||||||||||||||||||||||||||||||||||
| allgemeines | Die klinische Symptomatik ist Blut im Stuhl, später Obstipation, ev. mit Ileus, Diarrhö, Schmerzen, Gewichtsverlust, allgemeine Schwäche. | |||||||||||||||||||||||||||||||||||||||||||||||||||||||||
| Risikofaktoren | Colitis ulcerosa | |||||||||||||||||||||||||||||||||||||||||||||||||||||||||
| Diagnostik | ||||||||||||||||||||||||||||||||||||||||||||||||||||||||||
| Metastasen | ||||||||||||||||||||||||||||||||||||||||||||||||||||||||||
| Tumor | CT-Bild eines stenosierenden Rektumkarzinoms mit Infiltration der Hüllfaszie und Infiltration der Prostatakapsel. |
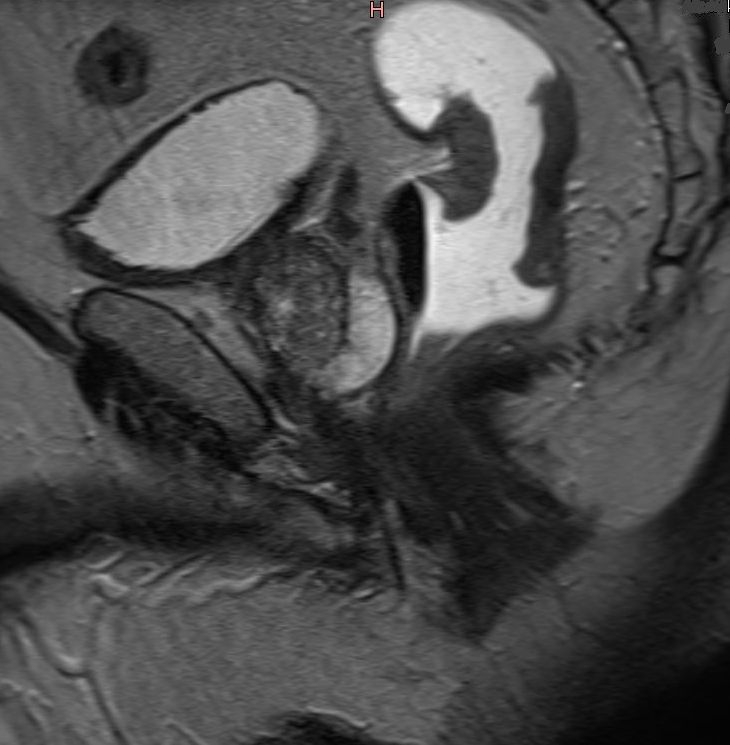
Frontalschnitt eines distalen Rektumkarzinoms im MRT. Der Tumor sitzt dem Sphincter unmittelbar auf.![]() | ||||||||||||||||||||||||||||||||||||||||||||||||||||||||
| Tumor | 71-jähriger Mann mit Blutauflagerungen des Stuhls. Sonst keine Symptome.
Das MRT zeigt einen semizirkulär wachsenden, z.T. polypös gestielten Tumor, der das Rektum partiell einengt.![]() |
![]() |
Darstellung zahlreicher Lymphknoten.![]() | |||||||||||||||||||||||||||||||||||||||||||||||||||||||
| Leber | ![]() | |||||||||||||||||||||||||||||||||||||||||||||||||||||||||
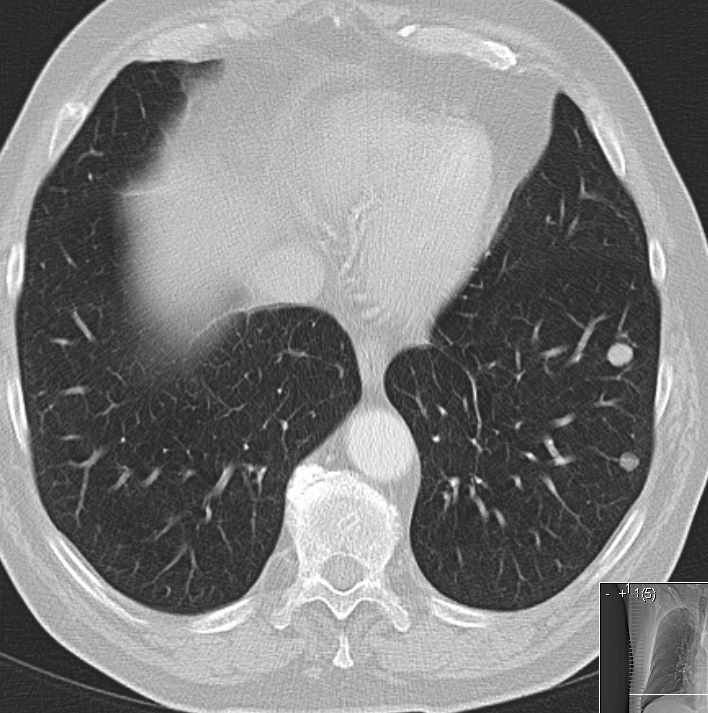
| Lunge | ![]() |
![]() |
![]() | |||||||||||||||||||||||||||||||||||||||||||||||||||||||
| Gehirn | Singuläre Hirnmetastase 1,5 Jahre nach Primärtumor (histologisch verifiziert). ![]() | |||||||||||||||||||||||||||||||||||||||||||||||||||||||||
| Nachsorge |
Nachsorgeprogramme sind weiterhin in der Diskussion, in wieweit sie die Prognose wirklich verbessern können. | |||||||||||||||||||||||||||||||||||||||||||||||||||||||||
Teil von |
Rektum - Karzinom | Gastro - Intestinale Tumore | ||||||||||||||||||||||||||||||||||||||||||||||||||||||||
| Quellen | ||||||||||||||||||||||||||||||||||||||||||||||||||||||||||
Impressum Zuletzt geändert am 28.11.2025 9:33