| zurück Home | Rektum - Karzinom: Diagnostik | |||
| allgemeines | praeoperative Ausbreitungsdiagnostik | |||
| MRT-Staging | Ein präoperatives MRT des Beckens ist Standard. | Die Aussagekraft wird jedoch häufig überschätzt. | ||
| Eine schwedische Publikation ermittelte die größte Trennschärfe zwischen N0 und N1-Situation bei einer Lymphknotengröße über 5 mm an der kurzen Achse. | Der zweite wichtige Parameter ist ein heterogenes Signal. | |||
| Aufgrund dieser Parameter konnte in 54 % der Fälle ein Lymphknotenbefall richtig diagnostiziert werden (Sensitivität). | Bei einem positiven MRT-Urteil ergaben sich postoperativ in 85 % Lymphknotenmetastasen (Spezifität.) | |||
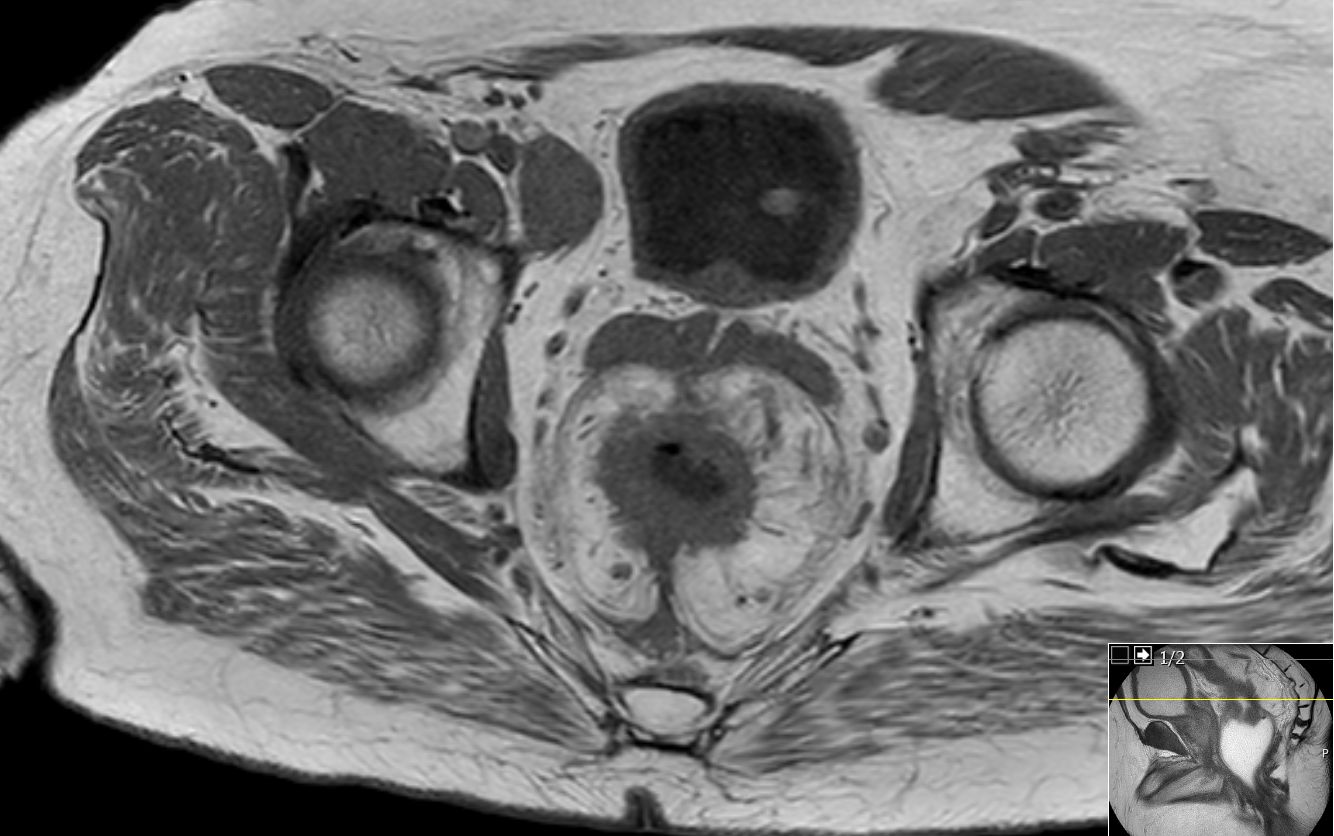
| MRT: T2-Tumor | 76-jähriger Mann mit Rektum - Ca ab 8cm. Kein Hinweis auf Wandüberschreitung: T2![]() | |||
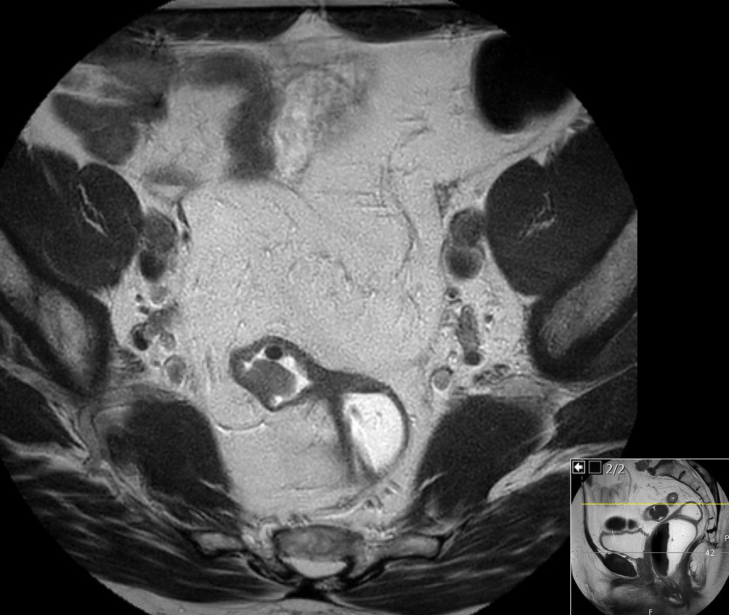
| MRT: T2-Tumor | 61-jähriger Mann mit G2-Adenokarzinom des Rektums von 8-14 cm. T2-Tumor ohne Hinweis auf Wandüberschreitung.![]() |
![]() |
![]() |
|
| MRT: T3-Tumor | cT3-Tumor
![]() |
|||
| MRT: T4-Tumor | 67-jähriger Mann mit stenosierendem Rektumkarzinom T4 N1 M1hep. Der Tumor strahlt in alle Richtungen und erreicht links die Beckenwand und dorsal das Steißbein. Kontakt zur Samenblase. Blasenwand dorsal verdickt. Großer LK an der Iliaca externa rechts.![]() | |||
| MRT: T2 | 69-jähriger Mann mit mäßig differenziertem
Adenokarzinom bei 15 cm.![]() |
![]() |
![]() | |
| CT | CT-Bild eines stenosierenden Rektumkarzinoms
mit Infiltration der Hüllfaszie und Infiltration der Prostatakapsel.![]() |
Fortgeschrittenes stenosierendes Rektumkarzinom
mit Infiltration des Blasenbodens und der Samenblasen.![]() | ||
| Endoskopie | Rektoskopisches Bild![]() | |||
Teil von |
Rektum - Karzinom: Klinik | Rektum - Karzinom | Gastro - Intestinale Tumore | |
| Quellen |
1.) Rutegård M K, et al.: Evaluation of MRI characterisation of histopathologically matched lymph nodes and other mesorectal nodal structures in rectal cancer. European Radiology (2025) 35:4080 – 4090 | |||
Impressum Zuletzt geändert am 23.08.2023 10:34