| zurück Home | Magen - Karzinom: Primärtumor | |||
| Allgemeines |
||||
| Magenantrum | Obstruierendes Magenantrumkarzinom. Ausgedehnte Lebermetastasen.![]() | |||
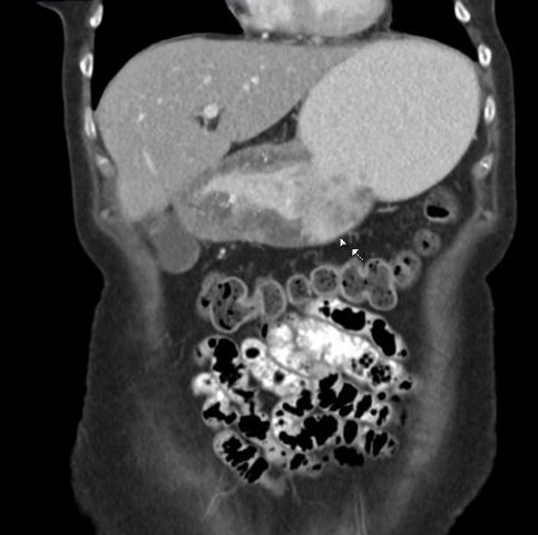
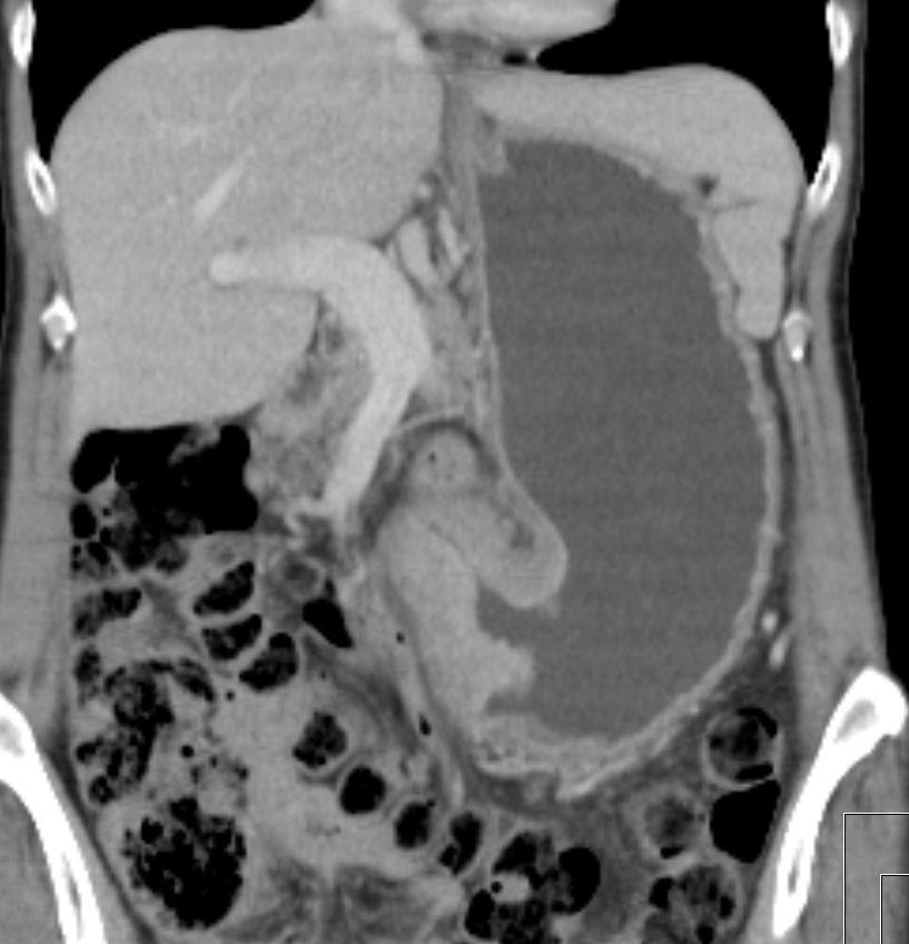
| Magenantrum | 1-jährige Frau mit fortgeschrittenem Magenantrumkarzinom![]() |
![]() | ||
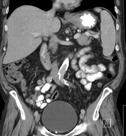
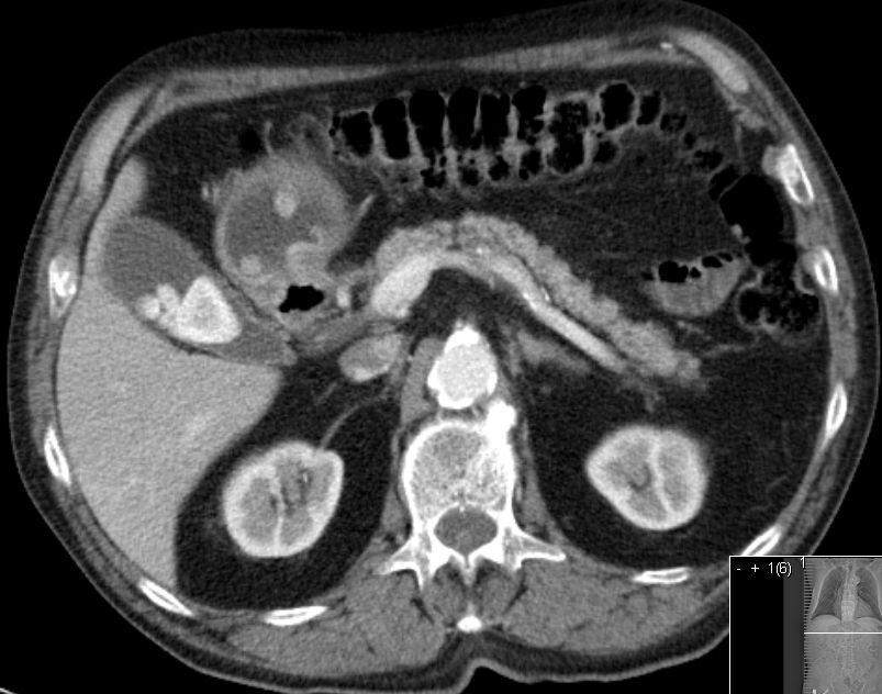
| Magenantrum | 54-jährige Frau mit obstruierendem Magenantrumkarzinom. ![]() |
|||
| große Kurvatur | Magenkarzinom an der großen Kurvatur mit Lymphknotenmetastasen. Ausgedehnte Lebermetastasen.![]() |
|||
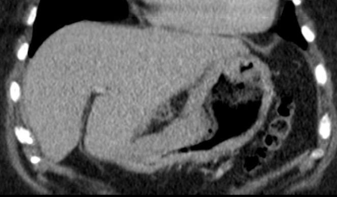
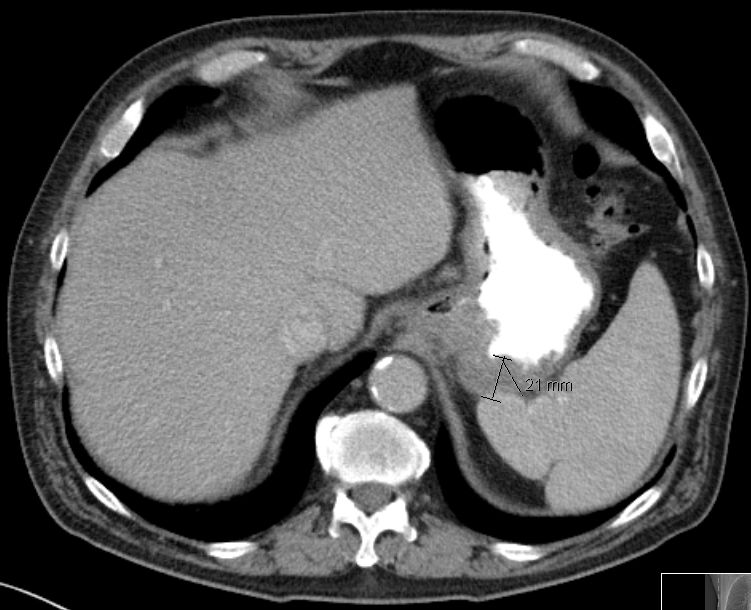
| kleine Kurvatur | 61-jährige Frau mit Magenkarzinom an der kleinen Kurvatur. Zwerchfellhochstand durch Adipositas.![]() | |||
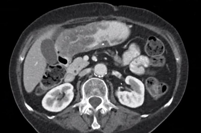
| Pylorus | 81-jähriger Mann mit stenosierendem Magenkarzinom des Pylorus, z.T. polypöse Strukturen.
Gering differenziertes Adenokarzinom, G3, diffuser Typ. N.B. Gallensteine![]() | |||
| AEG III | 72-jähriger Mann mit AEG III ypT2 ypN2(5/25) Mo. Intestinaler Bautyp.![]() | |||
![]() |
![]() | |||
Teil von |
Magen - Karzinom: Klinik | Magen - Karzinom | Gastro - Intestinale Tumore | Onkologie |
Quellen |
1.) | |||
Impressum Zuletzt geändert am 07.11.2025 21:49