Ösophagus-Karzinom: Metastasen | |||
Allgemeines |
| ||
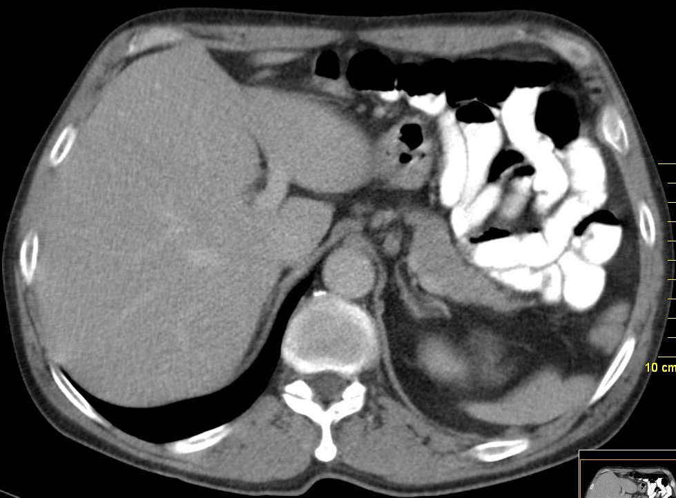
Lymphknoten - Metastasen |
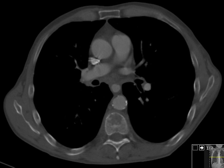
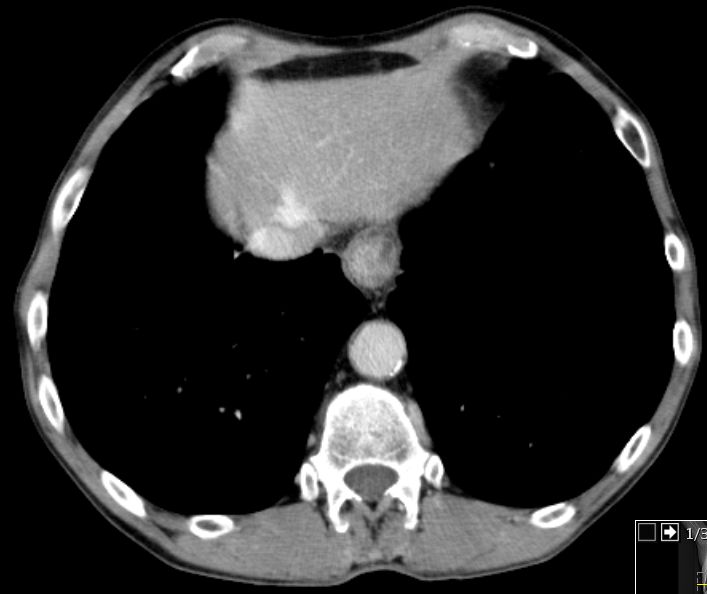
54jähriger Kellner mit einem Oesophagus – Karzinom cT2, welches 2 cm unterhalb der Karina beginnt. Längenausdehnung 6 cm.
Histologie: invasives gering verhornendes Plattenepithelkarzinom, G2.
Klinisch zunehmende Dysphagie.
Das CT zeigt vergrößerte Lymphknoten am Truncus coeliacus (nicht histologisch verifiziert)![]() | ||
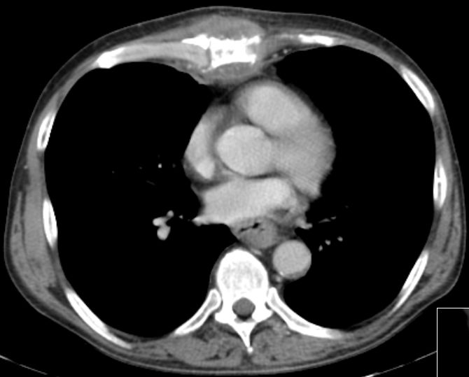
Lymphknoten - Metastasen |
LK-Metastasen im aorto-pulmonalen Fenster ![]() | ||
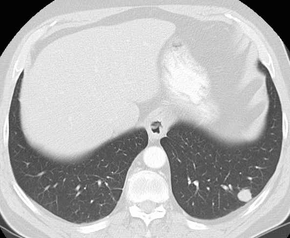
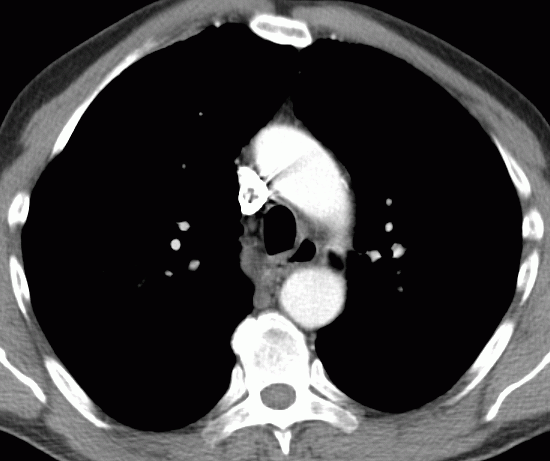
Lungenmetastase |
![]() | 69-jähriger Mann mit adenopapillärem Ösophaguskarzinom.![]() | |
Knochenmetastasen |
62-jähriger Mann mit schmerzhafter Schwellung des Sternums.
Die Stanzbiopsie ergab ein basaloides Plattenepithelkarzinom. Bei der Durchuntersuchung wurde ein asymptomatisches Ösophaguskarzinom gefunden.![]() |
![]() | |
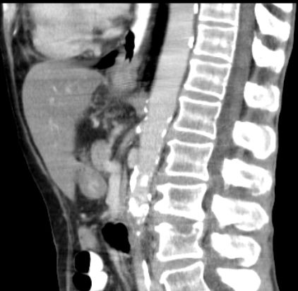
Brustwirbel |
66-jähriger Patient mit einer Stenose des distalen Ösophagus. Histologisch invasives Adenokarzinom.![]() |
![]() |
Im 9. Brustwirbelkörper eine lytische Knochenmetastase.![]() |
Meningeosis |
69-jähriger Mann 4 Monate nach primär metastasiertem Adenokarzinom des Ösophagus. Meningeosis carcinomatosa![]() | ||
Impressum Zuletzt geändert am 16.09.2012 12:51