zurück Home

Therapie des Ösophagus-Karzinoms

Allgemeines

Operation, Radiochemotherapie, Radiotherapie, Chemotherapie

Plattenepithel-Ca: Primärtherapie

Praeoperative Radiochemotherapie, dann Radikal-OP (2). Definitive Radiochemotherapie(1).

Operation

Technik von der Lokalisation abhängig. Rekonstruktion durch Magenhochzug oder Coloninterponat. ESD-Technik: endoskopische Submukosa-Dissektion.

Radiatio

Die Radiatio wird postoperativ, in Kombination mit Chemotherapie und palliativ eingesetzt. Zielvolumen der CALGB 80803-Studie
  • CTV: Tumor
  • Margin: 3-4 cm cranial und distal, 1cm radial
  • + regionale LK, bei distalen Tumoren mit coeliacalen LKs
  • PTV = CTV + 5mm, zwerchfellnah (Atmung) 7 - 10 mm
Studiendesign: PET-Response nach Chemotherapie:, Radiochemotherapie mit 50,4 Gy, ED 1,8 Gy. OP nach 6 Wochen

Brachytherapie

Palliativ: 2x 8Gy in 10 mm Gewebetiefe (3).

Radiochemotherapie

Die Radiochemotherapie ist der alleinigen Bestrahlung überlegen (1).

Chemotherapie

Eine neoadjuvante Chemotherapie ist bei Adenokarzinomen indiziert.
zervikales Ösophaguskarzinom Operation schwierig. Erfordert meistens Pharyngo-Laryngo-Ösophagektomie.
Protokolle des Princess Margaret Cancer Centre, Toronto(6): Protocol 1
  • 1997-2001
  •  54 Gy
  • 20 Fx
  • 2DRT
  • 5-FU and MMC or cisplatin
Protocol 2
  • 2001-2005
  • 70 Gy
  • 35 Fx
  • 3DRT
  • cisplatin 100 mg/qm, weeks 1, 4, 7
Protocol 3
  • 2005-2013
  • 70 Gy
  • 35 Fx
  • IMRT
  • cisplatin 100 mg/qm,weeks 1, 4, 7
zerv Ösophagus
preoperative Radiochemotherapie CROSS-Trial: praeoperative Radiochemotherapie besser als nur OP. Chemotherapie: Paclitaxel 50mg/qm + Carboplatin AUC2: d1,  d8, d15, d22, d29 Die Metaanalyse von Gebski (2) zeigt einen Vorteil für die praeoperative Radiochemotherapie gegenüber der primären OP. Kaklamanos (4) fand bei Adenokarzinomen keinen Unterschied.
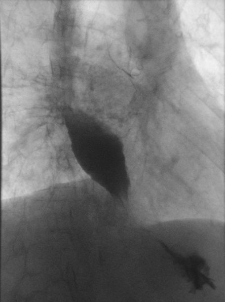
Therapie - Folgen 82jähriger, wettergegerbter Schmied, der sich ausschließlich von passierter Kost ernährte. Vor einem Jahr Bestrahlung des Tumors und des mediastinalen Lymphabflussgebietes mit 50 Gy, ED 2 Gy , Tumorboost bis 60 Gy. Jetzt: Erheblich dilatierter Ösophagus bei hochgradig filiformer Stenose von ca. 5 cm Länge im distalen Ösophagusabschnitt (Übergang in den Magen) mit Kontrastübertritt in den Magen. Bei normaler Schluckmenge Nachweis einer massiven Aspiration (Bronchien enthalten Kontrastmittel!). Eine proximale ösophagotracheale Fistel ist nicht sicher nachweisbar.

Teil von

Ösophagus-Karzinom Gastro - Intestinale Tumore

Quellen

1.) Wong R, Malthaner R.:
Combined chemotherapy and radiotherapy (without surgery) compared with radiotherapy alone in localized carcinoma of the esophagus.
Cochrane Database Syst Rev. 2006;(1):CD002092.

2.) Gebski V, et al.:
Survival benefits from neoadjuvant chemoradiotherapy or chemotherapy in oesophageal carcinoma: a meta-analysis.
Lancet Oncol 8(2007):226–234

3.) Sur RK, Levin CV, Sharma V, et al.:
A prospective randomized trial of HDR brachytherapy as a sole modality in palliation of advanced esophageal cancer. An IAEA study.
IJROBP 53(2002):127–33.

4.) Kaklamanos IG, Walker GR, Ferry K et al.:
Neoadjuvant treatment for resectable cancer of the esophagus and the gastroesophageal junction: a meta-analysis of randomized clinical trials.
Ann Surg Oncol 10(2003):754–761

5.) Sjoquist KM, Burmeister BH, Smithers BM, et al.:
Survival after neoadjuvant chemotherapy or chemoradiotherapy for resectable oesophageal carcinoma: An updated meta-analysis.
Lancet Oncol 12(2011):681-692

6.) McDowell LJ, et al.:
Effect of Intensity Modulated Radiation Therapy With Concurrent Chemotherapy on Survival for Patients With Cervical Esophageal Carcinoma.
Int J Radiation Oncol Biol Phys 2017;98:186-195
http://dx.doi.org/10.1016/j.ijrobp.2017.01.003

7.) Porschen R, Buck A, Fischbach W, et al.:
S3-Leitlinie Diagnostik und Therapie der Plattenepithelkarzinome und Adenokarzinome des Ösophagus.
Langversion 1.0 – September 2015
AWMF-Registernummer: 021/023OL
Z Gastroenterol 2015; 53: 1288–347

wichtiger Hinweis! Für die Richtigkeit von Dosisangaben, Zielvolumina und Indikationen kann keine Garantie übernommen werden. In Zweifelsfällen sind die aktuellen nationalen und internationalen Leitlinien einzusehen. 

Impressum                                 Zuletzt geändert am 16.10.2022 6:08