| zurück Home | Sigma - Karzinom: Metastasen | ||
Allgemeines |
|||
| Lymphknoten | 73-jähriger Mann, der vor 2 Jahren ein Sigmakarzinom Stadium IIIB hatte.
Jetzt Anastomosenrezidiv, Leber- und Lungenmetastasen.
Hier: zahlreiche vergrößerte Lymphknoten paraaortal, paracaval und mesenterial.![]() | ||
| Lunge | 84-jähriger Mann mit Dickdarmileus wegen Sigmakarzinom. Zahlreiche Lungenmetastasen.![]() | ||
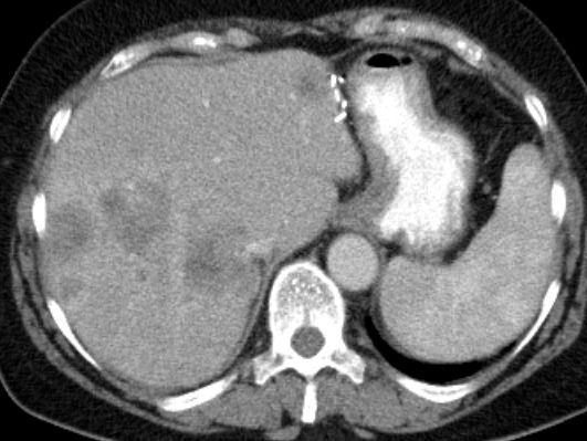
| Leber - Metastasen | 70-jähriger Mann, der vor 1 Jahr ein primär hepatisch metastasiertes Sigmakarzinom hatte. Sigmaresektion, R2. Dann Panitumumab/FOLFIRI). Lebersegmentresektion II , III , VIII , VII. Thermoablation VIII. Erneut ausgedehnte Lebermetastasen. | ||
![]() |
![]() | ||
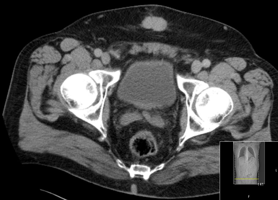
| Bauchdecken - Metastase | 59-jähriger Mann, bei dem vor 3 Jahren ein Sigmakarzinom Z3d No Mo operiert wurde.
Post OP 6x FOLFOX 4. Jetzt Bauchdeckenmetastase, Lungenmetastasen, Arrosion der LWS.![]() |
![]() | |
Teil von |
Sigma - Karzinom | Colon - Karzinom | Gastro - Intestinale Tumore |
Quellen |
1.) : | ||
Impressum Zuletzt geändert am 26.08.2025 16:03