| zurück Home | Colon - Karzinom: CT | |||
| allgemeines | ||||
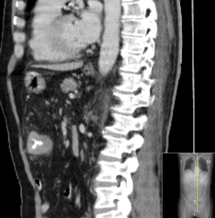
| Zökum-Karzinom | 53-jährige Frau mit einem Zökum-Karzinom pT3c pN1b Mo L1. Lebermetastasen 3 Monate nach Diagnose.![]() | |||
| Zökum | Das CT zeigt einen Zökumtumor pT3a pNo. | |||
| Colon ascendens | 73-jähriger Mann mit einer Stenosesymptomatik.
Das CT zeigt einen Tumor des Colon ascendens.
Zusätzlich peritoneale und mesenteriale Metastasierung. |
|||
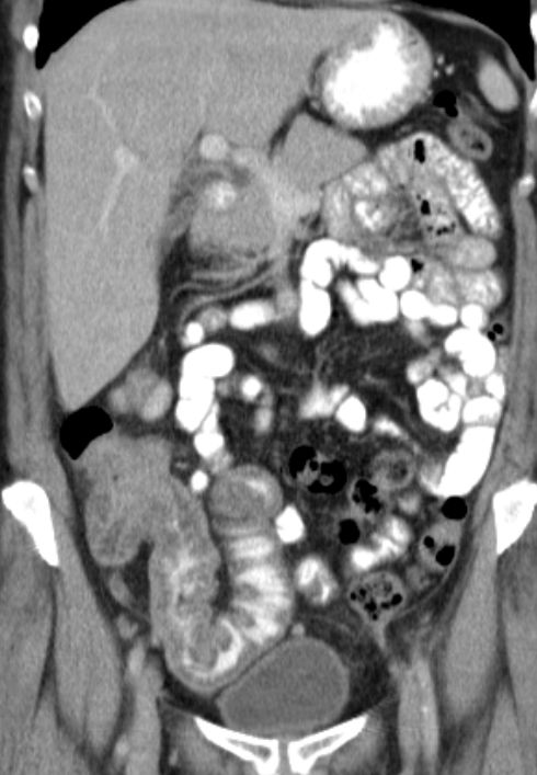
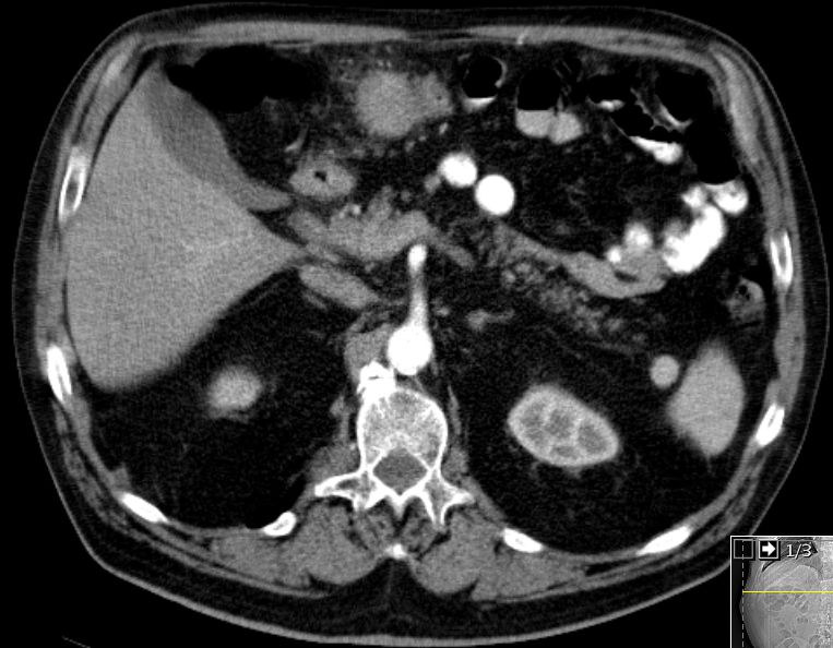
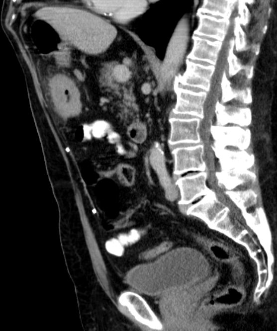
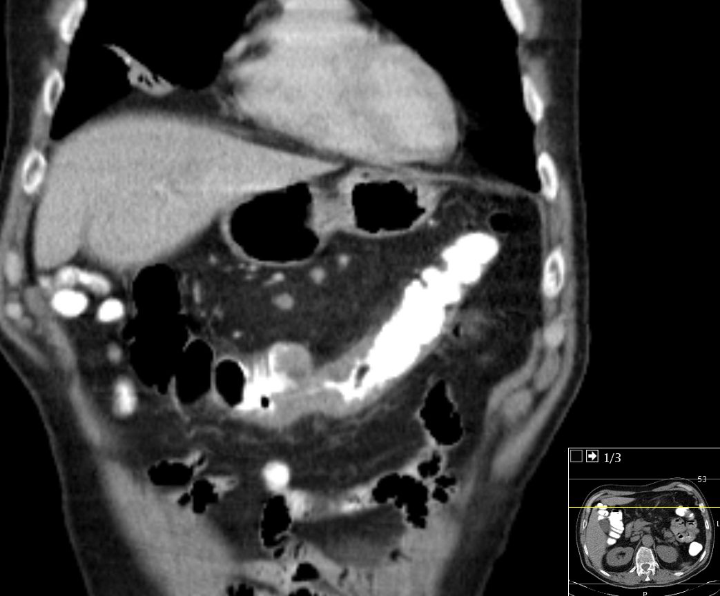
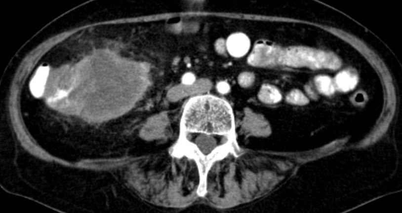
| Colon ascendens | 7-jährige Frau mit Colon ascendes Tumor pT3d pN2a(4/20) L1 Vo.
Großer Tumor mit Infiltration des Fettgewebes. Kein Ileus! |
|||
| Fexura coli dextra | 66-jähriger Mann mit stenosierendem Karzinom der Fexura coli dextra. Lymphknotenmetastasen. 2 Lungenmetastasen.![]() | |||
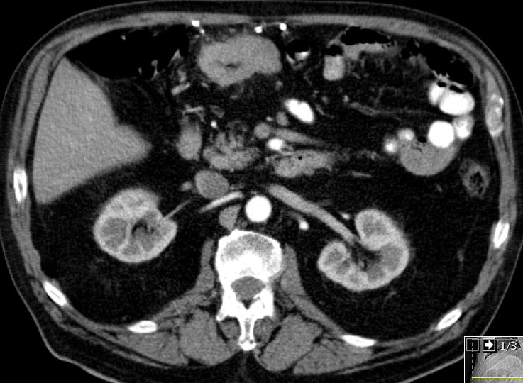
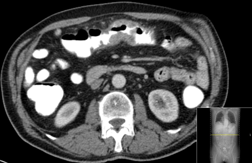
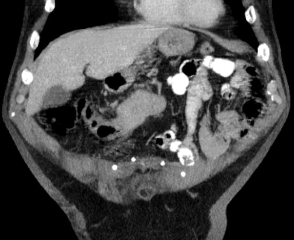
| Quer - Colon | 59-jähriger Mann mit abdominalen Beschwerden.![]() |
CT: Langstreckige Darmwandveränderungen mit einer hochgradigen Stenose des Colon transversums sowie mit diskreten Verdichtungen in dem umgebenden Gewebe.
Dorsale Harnblasenwandverdickung.
Verkalkungen der Prostata. Keine vergrößerten Lymphknoten![]() |
Operateur: Im Bereich des Quercolons, näher zur rechten Colonflexur, findet sich ein mannsfaustgroßer Tumor.Histologisch invasivem Adenokarzinom![]() | |
| Colon descendens | 32-jähriger Mann mit Ileussymptomatik. Tumorstenose des Colon descendens. Massive Dilatation des Dünndarms und des praestenotischen Colons. | |||
| Colon transversum | 74-jähriger Mann mit einem Colon-Karzinom pT3a pNo(0/17) M1hep L1 V1 G3.![]() |
![]() | ||
![]() |
![]() | |||
Teil von |
Klinik des Kolon-Karzinoms | Colon - Karzinom | Gastro - Intestinale Tumore | |
| Quellen |
1.) | |||
Impressum Zuletzt geändert am 26.08.2025 16:03