| Harnblasen - Karzinom C67 | ||||
| Allgemeines |
NMIBC nicht metastasiertes invasives Blasenkarzinom | Harnblasenkarzinome entstehen aus den Urothel der Blase. | ||
| Epidemiologie | Befallen werden vor allem sehr alte Menschen. | Rauchen erhöht die Häufigkeit. | ||
| Stadien | Es gilt die TNM-Einteilung. | Viele Karzinome verharren lange in frühen Stadien. | NMIBC: non - muscle - invasive bladder cancer | |
| Prognose | Bei reinem Schleimhautbefall ist die Prognose günstig. | Überlebensrate von 7270 Patienten mit Blasenkarzinom des National Cancer Data Base 1998 bis 2004 (2): | ![]() | |
| Klinik | Blut im Urin sollte immer auf das Vorliegen eines Blasentumors abgeklärt werden. | Ferner Harnverhalt, Nierenaufstau und rezidivierende Cystitiden. | Zur Frühdiagnose dient der Nachweis von NMP22 (nukleäres Matrix-Protein) im Urin. | |
| Metastasierung | Lymphabfluss der Harnblase![]() |
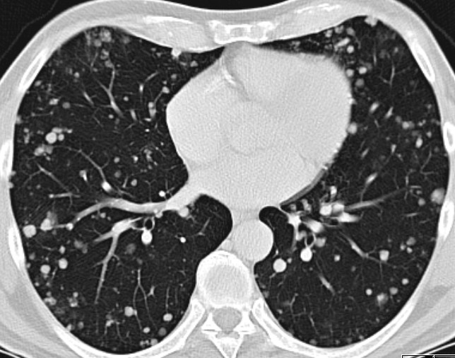
Lungenmetastasen.![]() |
||
| Diagnostik | Zur Sicherung erfolgt eine Zystoskopie mit Schleimhautbiopsie. | Ein CT zeigt pelvine Lymphknoten, Nieren, Nierenbecken und Harnleiter. | ||
| Morphologie | überwiegend Urothelkarzinome | |||
| Therapie | Frühe Stadien werden durch TUR-B exzidiert. Ggf. werden Zytostatika installiert. | Fortgeschrittene Fälle werden radikal operiert oder mit Radiochemotherapie behandelt. | Vinflunin (Javlor) kann second - line eingesetzt werden. | |
| Ergebnisse | BC 2001 | |||
Operation |
transurethrale Resektion: Stadium Ta, T1, Tis. | Zystektomie: muskelinvasives Karzinom | Rezidiv nach Zystektomie | |
Radiatio | ||||
Chemotherapie |
adjuvante Chemotherapie | M-VEC (Methotrexat, Vinblastin, Epirubicin, Cisplatin), Cisplatin-Gemzar | ||
Target - Therapie |
KLH | Keyhole limpet hemocyanin | Glykoprotein der Schnecke Megathura crenulata: für intravesikale Therapie von NMIBC zugelassen. | |
Links | Selbsthilfe-Bund Blasenkrebs e.V. | |||
Teil von |
Harnblasen - Karzinom: Studien | Harnblasen - Karzinom | urologische Tumoren | Onkologie |
Quellen |
1.) Coppin CM, et al.: Improved local control of invasive bladder cancer by concurrent cisplatin and preoperative or definitive radiation. JCO 14(1996):2901-7 2.) Gray PJ, et al.: Clinical - Pathologic Stage Discrepancy in Bladder Cancer Patients Treated With Radical Cystectomy: Results From the National Cancer Data Base. Int J Radiation Oncol Biol Phys 88(2014):1048-1056 | |||
Teil von |
urologische Tumoren | Onkologie | ||
Impressum Zuletzt geändert am 11.07.2021 18:18