| Metastasierung des Harnblasen - Karzinoms | |||
| Allgemeines | Blasentumoren befallen zunächst die Nachbarorgane Prostata, Harnblasen und Vaginalvorderwand. | Sie breiten sich in die Lymphknoten des Beckens aus und machen schließlich Fernmetastasen. | |
| Lymphknoten | Lymphabfluss der Harnblase![]() | ||
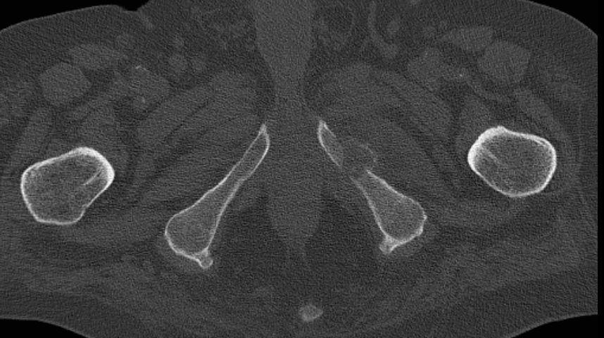
| Knochenmetastasen | 72-jähriger Patient, der vor 3 Jahren ein Harnblasen-Ca hatte: Blasenteilresektion. | Vor 2 Jahren 1. Rezidiv T1 G2: TUR-B. Vor einem Jahr 2. Rezidiv: Blasenteilresektion pT3a G3. | Vor 4 Monaten Lungenmetastastasen. Jetzt Schmerzen beim Sitzen und Belastung des linken Beins. |
Metastase Schambein links mit Kallusbildung.![]() |
![]() |
Frische lytische Metastase im linken Sitzbein![]() |
|
| Lungenmetastasierung | 58-jähriger Mann. Vor 2 Jahren Zystektomie wegen
Urothelkarzinom pT3a pNo Mo L1 V1. Jetzt Lungen-, Leber- und Knochenmetastasen. ![]() |
||
Quellen |
1.) | ||
Teil von |
Harnblasen - Karzinom | urologische Tumoren | Onkologie |
Impressum Zuletzt geändert am 11.07.2021 18:18