| zurück Home | Rhabdomyosarkom: Organe | |||||||||||||||||||
| Allgemeines |
|
40% der Kinder - RMS im Kopf-Hals-Bereich: parameningeal, orbital und non - parameningeal. | ||||||||||||||||||
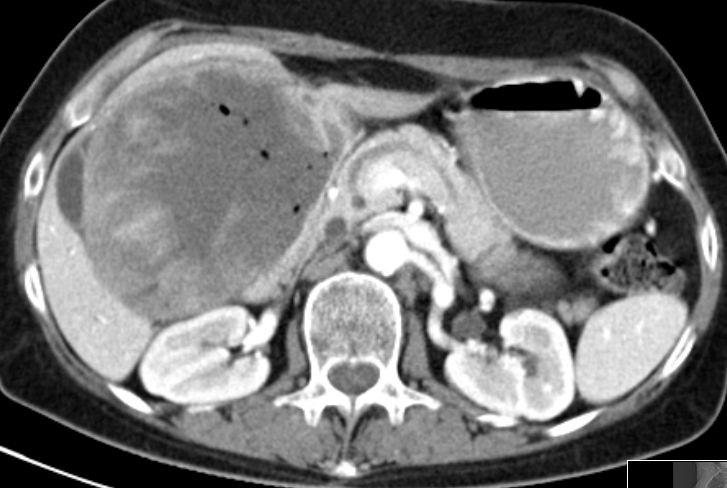
| Duodenum | Große Raumforderung im rechten Oberbauch einer53-jährigen Frau.
Histologisch alveoläres Rhabdomyosarkom, wahrscheinlich von der Duodenalwand ausgehend.
Lufteinschlüsse durch Verbindung zum Darm.![]() | |||||||||||||||||||
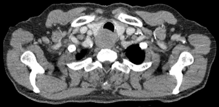
| Ösophagus | 68-jähriger Mann mit einem okkludierenden Tumor des oberen Ösophagus mit Infiltration der Trachea.![]() | |||||||||||||||||||
| BP RMS | Blasen- und/oder Prostata - Rhabdomyosarcom | Meistens Kinder. Therapie: Totale Zystektomie oder Zysto-Prostatektomie. | ||||||||||||||||||
Ergebnis einer multimodalen, organerhaltenden Therapie von 100 Kindern mit embryonalen RMS von Blase oder Prostata(5).![]() | ||||||||||||||||||||
Teil von |
Rhabdomyosarkom | Weichteilsarkome | Sarkome und gutartige Weichteiltumoren | Onkologie | ||||||||||||||||
Quellen |
1.) Shern J F, et al.: Genomic Classification and Clinical Outcome in Rhabdomyosarcoma: A Report From an International Consortium. J Clin Oncol 2021;39:2859-2871 | |||||||||||||||||||
Impressum Zuletzt geändert am 22.04.2025 15:53