| zurück Home | Speicheldrüsen-Tumore | ||
| Allgemeines | Engl.: Salivary gland malignancies (SGM) | ||
| große Speicheldrüsen | Glandula parotis (Ohrspeicheldrüse) | Glandula submandibularis (Unterkieferspeicheldrüse) | Glandula sublingualis (Unterzungendrüse)![]() |
| Gl. parotis | häufigster Tumorsitz, 20-25% bösartig | ||
| Glandula submandibularis |
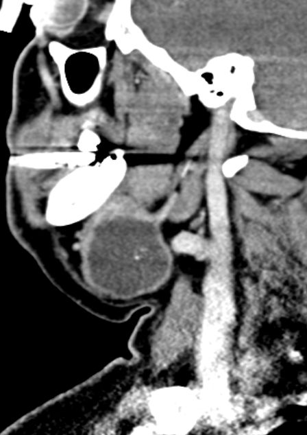
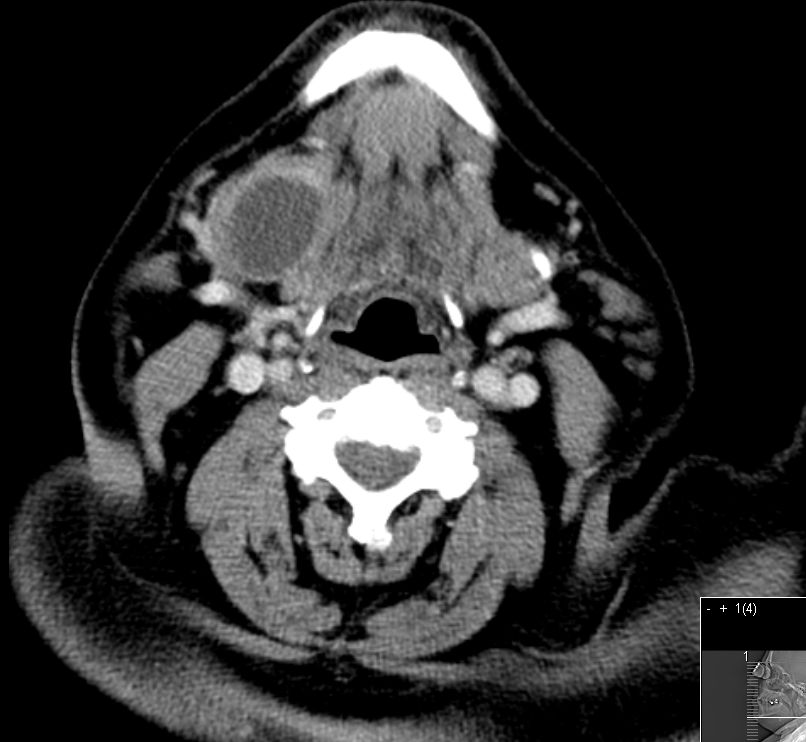
55-jähriger Mann mit einem Karzinom der linken G. submandibularis pT3 pNo Mo![]() |
![]() |
![]() |
| kleine Speicheldrüsen | befinden sich: orale Mucosa, Gaumen, Uvula, Mundboden, Zungengrund, retromolare Region, peritonsilläre Region, Pharynx, Larynx, Nasennebenhöhlen |
||
| Epidemiologie | 1-5% der HNO-Tumoren | ||
| Stadien | TNM-Stadieneinteilung, gilt nur für große Speicheldrüsen. | Kleine Speicheldrüsen werden entsprechend ihrer Lokalisation gestaged, z.B. Lippendrüse wie Lippen-Ca. | |
| Prognose | hängt ab, von den befallenen Drüse, der Histologie, den Stadium, der Infiltration des N. facialis, der Fixierung an Haut oder Nachbarstrukturen, und dem Lymphknotenstatus. | ||
| Klinik | |||
| Metastasierung | |||
| Diagnostik | |||
| Morphologie | mukoepidermoide Karzinome: am häufigsten | adenoid - zystisches Karzinom: 2. häufigstes Karzinom | |
| ACC | Acinus-Zell-Karzinom | 3. häufigstes Karzinom | Wurde früher für gutartig gehalten. |
| OP erste Wahl, weite Exzision, totale oder superfiziale Parotidektomie. | Radiotherapie: ACC nicht sehr strahlensensibel. | ||
| Postoperative RT wirksam. | Schnelle Neutronen | Postoperative 125I-Seed-Brachytherapie (1). | |
| Whartin-Tumor, Zystadenolymphoma papilliferum | |||
| Lymphoepithelial carcinoma (LEC)(1) | gering differenziertes Karzinom mit lymphoplasmatischer Infiltration | Epstein-Barr Virus an Entstehung und Entwicklung beteiligt | Vorkommen: Speichelödrüsen (am häufigsten), Magen, Lunge, Harntrakt |
| Therapie | primäre Radikal-OP. Bei großen Tumoren adjuvante Strahlentherapie. | ||
| Ergebnisse | |||
Operation | |||
Radiatio |
Adjuvante Bestrahlung. | Nicht resektable Tumoren wurden erfolgreich mit schnellen Neutronen oder Protonen behandelt. | |
Teil von |
HNO-Tumore | Onkologie | |
| Quellen |
1.)Mao M-H et al.: Postoperative [125I] seed brachytherapy in the treatment of acinic cell carcinoma of the parotid gland With associated risk factors. Strahlenther Onkol 2014;190:1008–1014 DOI 10.1007/s00066-014-0668-3 Universität Peking 2.) Godwin JT, Foote FW Jr, Frazell EL: Acinic cell adenocarcinoma of the parotid gland; report of twenty-seven cases. Am J Pathol 1954;30:465–477 3.) Geiger J L, et al.: Management of Salivary Gland Malignancy: ASCO Guideline. J Clin Oncol 2021;39:1909-1941 DOI https://doi.org/10.1200/JCO.21.00449 4.) Hilderman WC, Gordon JS, Large HL, Carroll CF: Malignant lymphoepithelial lesion with carcinomatous component apparently arising in parotid gland. A malignant counterpart of benign lymphoepithelial lesion? Cancer 1962;15:606–10 | ||
Impressum Zuletzt geändert am 21.05.2023 16:03