| zurück Home | Parotis - Tumoren | ||||||||||||||||||||||||||||||||||||||||||||
| Allgemeines | häufigster Tumorsitz von Speicheldrüsen - Tumoren, 20-25% bösartig | ||||||||||||||||||||||||||||||||||||||||||||
| Epidemiologie | |||||||||||||||||||||||||||||||||||||||||||||
| Stadien | TNM-Stadieneinteilung | ||||||||||||||||||||||||||||||||||||||||||||
| Prognose | |||||||||||||||||||||||||||||||||||||||||||||
| Klinik | |||||||||||||||||||||||||||||||||||||||||||||
| Metastasierung | |||||||||||||||||||||||||||||||||||||||||||||
| Diagnostik | Im MRT sprechen folgende Kriterien für Malignität (1):
| ||||||||||||||||||||||||||||||||||||||||||||
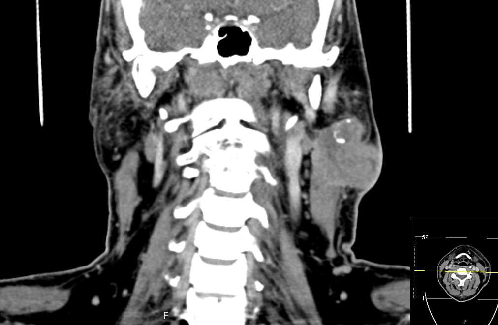
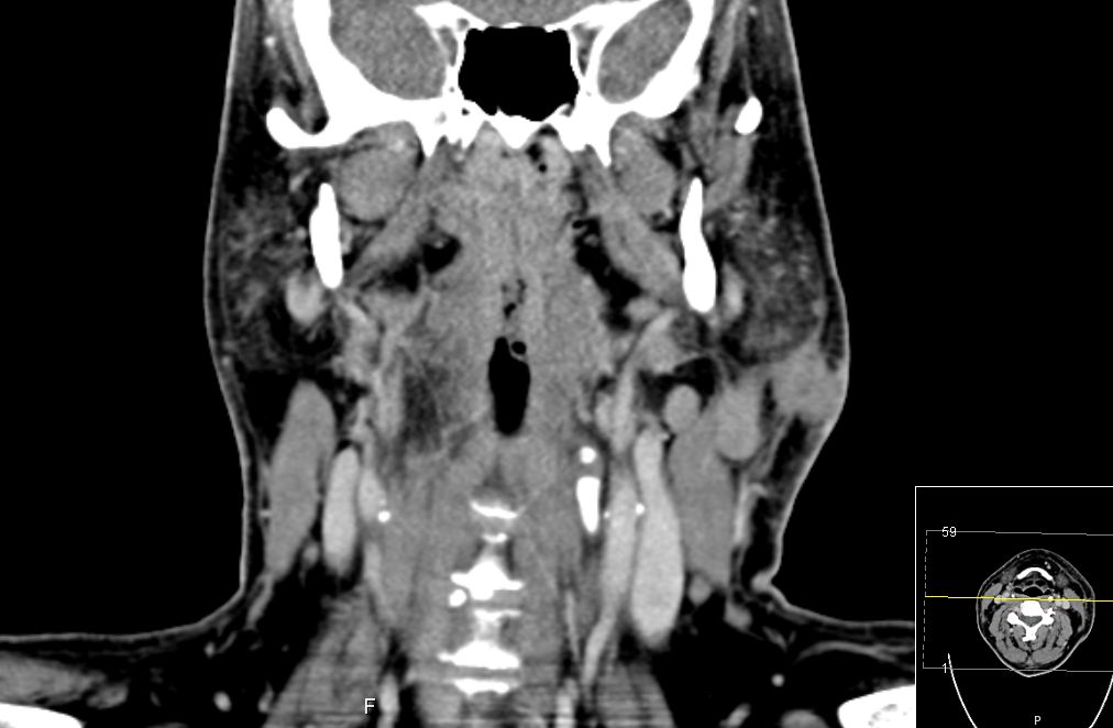
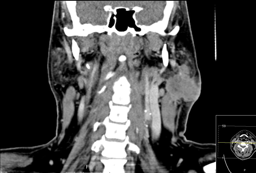
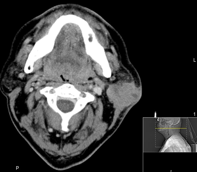
| CT | 51-jähriger Mann, der eine Gesichtsschwellung bemerkte. Adenokarzinom pT3 pN1 Mo L1 G3. Subtotale Protidektomie unter Neuromonitoring, ND LI und II links, Adjuvante RT. ![]() |
![]() | |||||||||||||||||||||||||||||||||||||||||||
![]() |
![]() |
![]() | |||||||||||||||||||||||||||||||||||||||||||
![]() |
![]() | ||||||||||||||||||||||||||||||||||||||||||||
| Morphologie (1) | Tumoren der Parotis umfassen ein weites
Spektrum gutartiger und bösartiger Befunde (1).
| ||||||||||||||||||||||||||||||||||||||||||||
| Therapie | |||||||||||||||||||||||||||||||||||||||||||||
| Ergebnisse | |||||||||||||||||||||||||||||||||||||||||||||
Operation |
Die primäre Radikaloperation ist die wirksamste therapeutische Maßnahme. | Eine partielle superfiziale Parotidektomie kann durchgeführt werden, wenn der Tumor im Stadium T1 oder T2 ausreichend oberflächlich gelegen ist. | Der Nervus facialis kann erhalten werden, wenn der Nerv funktioniert und in jeder Richtung ein Sicherheitsabstand zum Tumor möglich ist | ||||||||||||||||||||||||||||||||||||||||||
Radiatio |
Eine postoperative Bestrahlung ist bei allen adenoid-zystischen Karzinomen indiziert. | Konturierung, postoperative Radiochemotherapie, pT3 pN3 (23/24 LK befallen) HN1: Tumorregion, Lymphabfluss Level II- IV beiderseits PTV = CTV + 3 mm 54.12 Gy; ED 2,64 Gy HN2: Tumorregion, Lymphabfluss Level II, III ipsilateral PTV = CTV + 3 mm 66 Gy; ED 2 Gy | |||||||||||||||||||||||||||||||||||||||||||
Chemotherapie | |||||||||||||||||||||||||||||||||||||||||||||
endokrine Therapie | |||||||||||||||||||||||||||||||||||||||||||||
Target - Therapie | |||||||||||||||||||||||||||||||||||||||||||||
offene Protokolle | |||||||||||||||||||||||||||||||||||||||||||||
Teil von |
Speicheldrüsen-Tumore | HNO-Tumore | Onkologie | ||||||||||||||||||||||||||||||||||||||||||
Quellen |
1.) Christe A, et al.: MR Imaging of Parotid Tumors: Typical Lesion Characteristics in MR Imaging Improve Discrimination between Benign and Malignant Disease. AJNR 32(2011):1202-1207 2.) Geiger J L, et al.: Management of Salivary Gland Malignancy: ASCO Guideline. J Clin Oncol 2021;39:1909-1941 DOI https://doi.org/10.1200/JCO.21.00449 | ||||||||||||||||||||||||||||||||||||||||||||
Impressum Zuletzt geändert am 29.05.2025 21:15