| zurück Home | Whartin-Tumor, Zystadenolymphoma papilliferum | ||
| Allgemeines | |||
| Epidemiologie | |||
| Prognose | gutartig | ||
| Fallbericht |
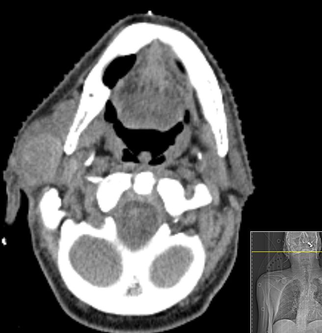
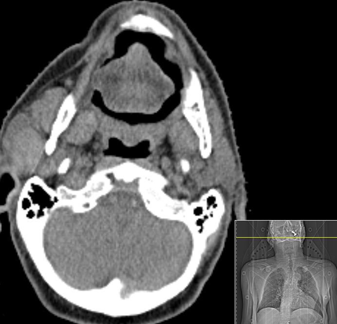
76-jähriger Mann, der vor 9 Monaten ein lymphogen und pulmonal metastasiertes Adenokarzinom der Lunge entwickelte.
Nach Carboplatin/Pemetrexed partielle Remission. Jetzt Progress unter Pemetrexed maintenance. Bei der Bestrahlungsplanung fiel eine metastasenverdächtige Schwellung der rechten Parotis auf.![]() |
OP-Befund: Rechts eine 30x50 mm messende ballotierende verschiebliche indolente Raumforderung in der Parotis.
Verbreiterter und abgeflacht imponierenden dorsal verlagerter Facialisstammes unter der großen Raumforderung.
Die Raumforderung lässt sich völlig unproblematisch aus dem angrenzenden Parotisgewebe isolieren.
Teilweise ist der Facialis in seinem Mundastbereich platt gewalzt, fächerförmig aufgefiedert, kaum identifizierbar.
Der temporofaciale Ast zieht kaudal und dann ventral der Tumorbildung, die Bifukation ist kaudal des Tumores aufzufinden.
| |
Makroskopie:48 x 46 x 34 mm groß, peripher homogen toffeefarbenen,
zentral erweicht.![]() |
Mikroskopie: Biphasisch wirkenden, multizystischen Proliferat. Hoch aufgebaute Epithelien mit kräftig eosinophilem Zytoplasmasaum und zweireihig wirkenden Kernen. Reichlich eingedicktes hyalin-eosinophiles Sekret in den Zystenlumina. Im Stroma dichte lymphoide Aggregate mit Ausbildung zahlreicher sekundärer Follikel. In den Keimzentren Kerntrümmermakrophagen. In der Peripherie durch eine wechselnd breite fibröse Pseudokapsel begrenzt. | ||
| Diagnostik | |||
| Morphologie | |||
Teil von |
Speicheldrüsen-Tumore | HNO-Tumore | Onkologie |
|
| |||
Impressum Zuletzt geändert am 18.09.2012 3:48