| zurück Home | Malignes Melanom: Metastasierung | |||
| allgemeines | ||||
| Lymphknoten | 64jährige Frau, die 1 Jahr nach Melanommetastasen der linken Leiste
einen vergrößerten Lymphknoten lateral der A. iliaca externa links entwickelte.
![]() | |||
| Lebermetastasen | Sehen im Ultraschall oft zystisch aus. Lebermetastasen sollen nicht punktiert werden, ggf. komplette Exzision. | |||
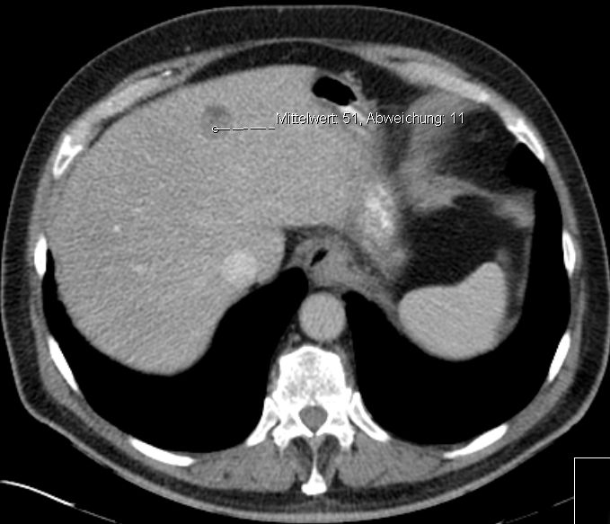
| Lebermetastasen | 72-jähriger Mann, der vor 2 Jahren ein Melanom des linken Schulterblattes hatte.
1 Jahr Interferon-A. Jetzt Lebermetastase.![]() | |||
| Dünndarm - Metastasen | 66-jährige Frau mit Malignem Melanom des Unterschenkels vor 2 Jahren.
Jetzt RF im Dünndarm. Histologisch Metastase des Melanoms mesenterial.![]() | |||
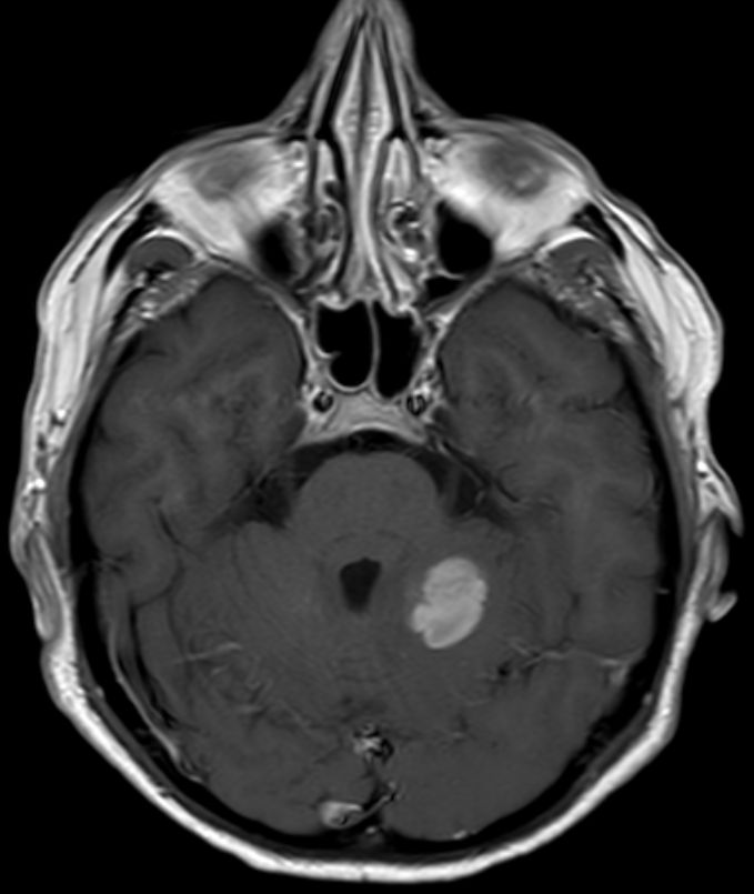
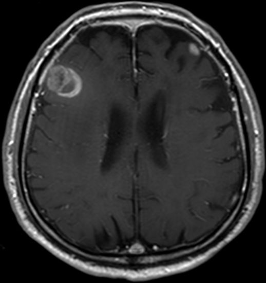
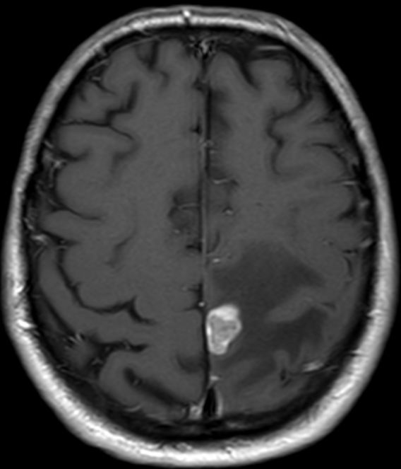
| Hirnmetastasen | OS 6,7 Monate nach Ganzhirnbestrahlung oder oder stereotaktischer Bestrahlung
![]() | |||
Teil von |
Malignes Melanom | Haut - Tumoren | Onkologie | |
| Quelle |
1.) AWMF, Deutschen Krebsgesellschaft, Deutschen Krebshilfe, Deutsche Dermatologische Gesellschaft (DDG), Arbeitsgemeinschaft Dermatologische Onkologie (ADO) Malignes Melanom, S3-Leitlinie „Diagnostik, Therapie und Nachsorge des Melanoms“ Version 1.1 - Februar 2013 AWMF-Register-Nummer: 032-024OL | |||
Impressum Zuletzt geändert am 03.02.2023 7:47