| zurück Home | Malignes Melanom: Hirnmetastasen | |||
| allgemeines | ||||
| Epidemiologie | ||||
| Prognose | OS 6,7 Monate nach Ganzhirnbestrahlung oder oder stereotaktischer Bestrahlung(2). | |||
| Hirnmetastasen. Fallbeispiel späte multiple Fernmetastasen nach regionalem Rezidiv | 86-jähriger Mann, der vor 7 Jahren ein Melanom der rechten Schulter hatte.
Vor 6 Monaten axilläres Rezidiv, Exzision, Strahlentherapie. Jetzt Hirnmetastasen, Lungen- und Lebermetastasen.![]() | |||
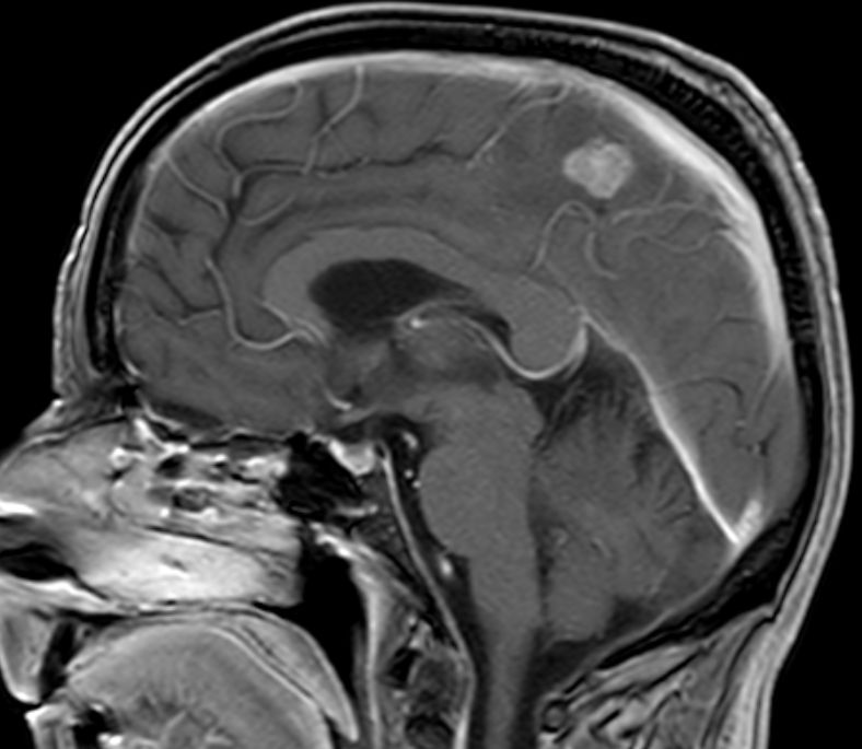
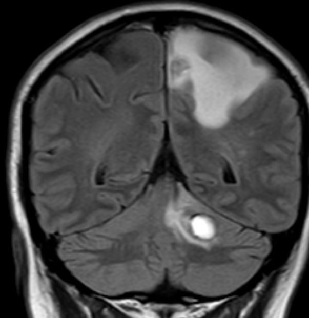
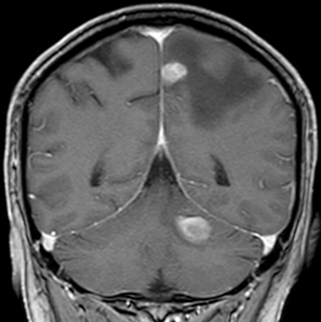
| Hirnmetastasen: Fallbeispiel frühe Hirnmetastasen nach regionalem Rezidiv | 68-jähriger Mann, der vor 4 Monaten ein Melanom des linken Unterschenkels pT1a pN2b M0 mit Metastasen in der linken Leiste hatte. Histologie: Naevus-assoziierte superfiziell, spreizendes Melanom. Nach OP und Defektverschluss verzögerte sich die Strahlentherapie durch ein ausgedehntes Serom. Während der Bestrahlung traten eine Kraftminderung, gesteigerte Reflexe und Sensibilitätsstörungen im rechten Bein auf. Das MRT zeigt 2 Hirnmetastasen. | |||
![]() |
![]() |
![]() | ||
![]() |
![]() | |||
| Quellen |
1.) AWMF, Deutschen Krebsgesellschaft, Deutschen Krebshilfe, Deutsche Dermatologische Gesellschaft (DDG), Arbeitsgemeinschaft Dermatologische Onkologie (ADO) Malignes Melanom, S3-Leitlinie „Diagnostik, Therapie und Nachsorge des Melanoms“ Version 1.1 - Februar 2013 AWMF-Register-Nummer: 032-024OL 2.) Sperduto PW, Kased N, Roberge D, et al.: Summary report on the graded prognostic assessment: An accurate and facile diagnosis-specific tool to estimate survival for patients with brain metastases. J Clin Oncol 2012;30:419-425. |
|||
|
| ||||
Impressum Zuletzt geändert am 25.08.2014 4:46