| zurück Home | Malignes Melanom, C43 | ||||||||||||||||||||||||||||||||||||||||||||||||
| allgemeines | Tumoren der Pigmentzellen (Melanozyten) der Haut | Gutartige Pigmentveränderungen: Naevus | |||||||||||||||||||||||||||||||||||||||||||||||
| Epidemiologie | Inzidenz steigt weltweit um 3 % pro Jahr, Mortalitätsrate konstant. | ||||||||||||||||||||||||||||||||||||||||||||||||
| Prognose | Sehr aggressiver Tumor. | 5a-Survival Stadium I: 100%, II:76%, III: 56%, IV: 17% | |||||||||||||||||||||||||||||||||||||||||||||||
| |||||||||||||||||||||||||||||||||||||||||||||||||
| obere Schleimhaut - Melanome | bronchopulmonale Melanome und Melanome im HNO-Bereich haben ein eigenes Staging System. | ||||||||||||||||||||||||||||||||||||||||||||||||
| Auge | Chorion | Melanome der Konjunktiva des Auges | Melanome der Uvea | ||||||||||||||||||||||||||||||||||||||||||||||
| Diagnostik | durch Früherkennung: Heilungsrate 85% | 75-jähriger Mann mit Melanosis präblastomatosa circumscripta Dubreuilh auf aktinisch vorgeschädigter Haut.![]() | |||||||||||||||||||||||||||||||||||||||||||||||
| Stadien | Clark Level, Brestlow | ||||||||||||||||||||||||||||||||||||||||||||||||
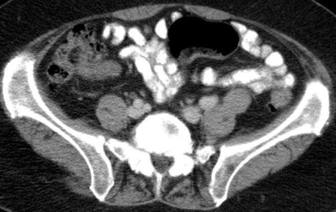
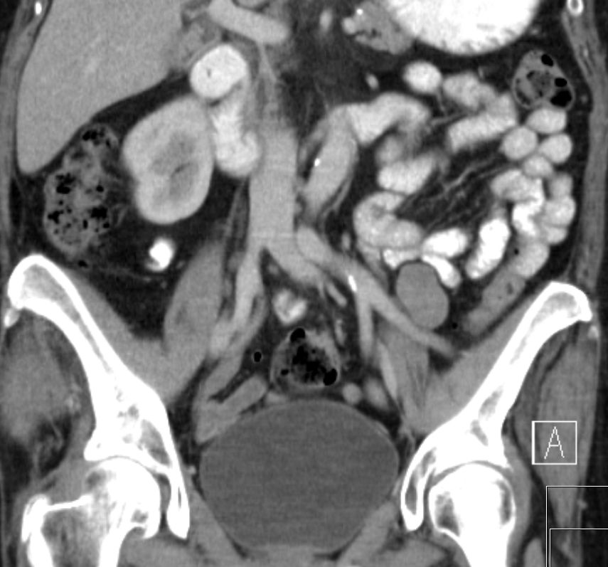
| Metastasierung | vergrößerten Lymphknoten lateral der A. iliaca externa links
![]() | ||||||||||||||||||||||||||||||||||||||||||||||||
| Histologie | nicht-pigmentierte Melanome, DD spindelzelliges - desmoplastisches Melanom(1)
| ||||||||||||||||||||||||||||||||||||||||||||||||
| Molekularbiologie | 60% Mutation von BRAF | Induzieren KLK6-Produktion von Keratozyten. | |||||||||||||||||||||||||||||||||||||||||||||||
| Therapie | |||||||||||||||||||||||||||||||||||||||||||||||||
| Operation | Vollständige Entfernung erforderlich. | ||||||||||||||||||||||||||||||||||||||||||||||||
| Radiatio | |||||||||||||||||||||||||||||||||||||||||||||||||
| Chemotherapie | schlechte Ansprechraten. | Resistenz gegenüber der chemotherapieinduzierten Apoptose. | DNA-Reparatur kann chemotherapieinduzierte DNA-Schäden effizient beseitigen. | Dacarbazin | |||||||||||||||||||||||||||||||||||||||||||||
| Targettherapie | BRAF - Inhibitoren | Vemurafenib, Dabrafenib. Blockieren den MAPK- Signalweg bei BRAF V600 - Mutation. | |||||||||||||||||||||||||||||||||||||||||||||||
| Trametinib blockiert MEK (MAPK Kinase) | |||||||||||||||||||||||||||||||||||||||||||||||||
| Immunmodulation | PD-1-AK | Pembrolizumab, Keytruda® | |||||||||||||||||||||||||||||||||||||||||||||||
| CTAL-4-MAB | Ipilimumab | ||||||||||||||||||||||||||||||||||||||||||||||||
| offene Protokolle | ADO-Studie | ||||||||||||||||||||||||||||||||||||||||||||||||
| Ergebnisse | MDX010-20-Studie (CTLA-4) | BRIM-3-Studie | |||||||||||||||||||||||||||||||||||||||||||||||
Teil von |
Haut - Tumoren | spezielle Tumoren | Onkologie | ||||||||||||||||||||||||||||||||||||||||||||||
| Quellen |
1.) Weissinger SE, et al.: A diagnostic algorithm to distinguish desmoplastic from spindle cell melanoma. Modern Pathology doi:10.1038/modpathol.2013.162 | ||||||||||||||||||||||||||||||||||||||||||||||||
| Links | Melanom - Wissen Von Bristol-Myers-Squibb gesponsert | ||||||||||||||||||||||||||||||||||||||||||||||||
Impressum Zuletzt geändert am 4.05.2025 6:46