| zurück
Home |
Malignes Melanom: Klinik |
| allgemeines |
|
| klinische Diagnostik |
ABCDE-Regel, Nagelmelanom |
| spezielle Wuchsformen |
| superfiziell spreitendes Melanom |
60% |
primär horizontales Wachstum. Mehrfarbig, scharf begrenzt, teilweise nodulär. Rücken, Brust, Extremitäten. |
| noduläres Melanom |
20% |
Braune bis blauschwarze Knoten, ulzerierend, leicht blutend |
| Lentigo - maligna - Melanom |
9% |
An UV-exponierten Arealen, hell bis dunkelbraun, wächst langsam. Acrales Lentigo-maligna-Melanom:
An Fußsohlen und Handflächen. Häufigstes Melanom von Schwarzen. |
| akrolentiginöses Melanom |
4% |
Wächst langsam an Fingern, Handflächen, Fußsohlen, Schleimhäuten, Nagelbett. |
|
| KNM |
Kongenitale melanozytäre Nävi (KNM) |
| spezielle Lokalisationen |
| obere Schleimhaut - Melanome |
bronchopulmonale Melanome und Melanome im HNO-Bereich haben ein eigenes Staging System. |
| Rektum |
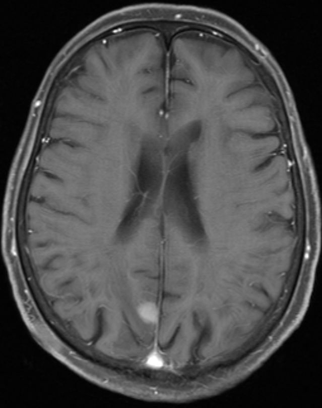
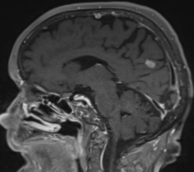
84-jährige Frau, die vor 3 1/2 Jahren einen 35 mm großen derben
Rektumpolypen entwickelte. Die submuköse Exzision ergab ein malignes Melanom
mit Infiltration der tiefen Muskulatur und Ummauerung größerer Gefäße. BRAF+.
Vor 2 Jahren Rektumschleimhau-Rezidiv und Metastase rechts pararektal:
anteriore Rektumresektion. Vor 4 Monaten Lungenmetastase und singuläre
Hirnmetastase re occipital. Dabrafinib + Trametinib nach 2 Zyklen wegen
Hepatotoxizität und Hautausschlag abgebrochen. Jetzt: RT der Hirnmetastase
und des pararektalen Tumors. |
 |
 |
 |
 |
 |
| Auge | Chorion |
Melanome der Konjunktiva des Auges |
Melanome der Uvea |
|
| Rezidiv |
86-jähriger Mann, der vor 7 Jahren ein Melanom der rechten Schulter im Stadium III hatte.
Vor 5 Monaten Resektion von 2 Lymphknotenkonglomeraten der Axilla bis 5cm mit perinodaler Ausbreitung.
Bis vor 5 Wochen RT mit 58Gy. Jetzt 3cm großer axillärer Knoten.
 |
| Metastasierung |
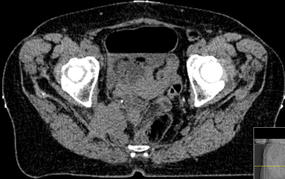
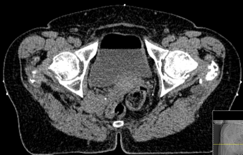
64jährige Frau, die 1 Jahr nach Melanommetastasen der linken Leiste
einen vergrößerten Lymphknoten lateral der A. iliaca externa links entwickelte.

Lebermetastasen: sehen im Ultraschall oft zystisch aus. Lebermetastasen sollen nicht punktiert werden, ggf. komplette Exzision. |
| Diagnostik |
durch Früherkennung: Heilungsrate 85% |
75-jähriger Mann mit Melanosis präblastomatosa circumscripta Dubreuilh auf aktinisch vorgeschädigter Haut.
Stadien |
Clark Level, Brestlow |
| Nachsorge (1) |
körperliche Untersuchung
| Jahr | Ia |
Ib-IIB |
IIc-IV |
| 1-3 |
alle 6 Monate |
alle 3 Monate |
alle 3 Monate |
| 4-5 |
alle 12 Monate |
alle 6 Monate |
alle 3 Monate |
| 6-10 |
alle 12 Monate |
alle 6-12 Monate |
alle 3 Monate |
|
LK-Sonographie
| Jahr |
Ib-IIB |
IIc-IV |
| 1-3 |
alle 6 Monate |
alle 3 Monate |
| 4-5 |
alle 6 Monate |
- |
| 6-10 |
- |
- |
|
S100 im Serum
| Jahr |
Ib-IIB |
IIc-IV |
| 1-3 |
alle 3 Monate |
alle 3 Monate |
| 4-5 |
- |
alle 6 Monate |
| 6-10 |
- |
- |
|
Teil von |
Malignes Melanom |
Haut - Tumoren |
Onkologie |
| Quelle |
1.) AWMF, Deutschen Krebsgesellschaft, Deutschen Krebshilfe, Deutsche Dermatologische Gesellschaft (DDG), Arbeitsgemeinschaft Dermatologische Onkologie (ADO)
Malignes Melanom, S3-Leitlinie „Diagnostik, Therapie und Nachsorge des Melanoms“
Version 1.1 - Februar 2013
AWMF-Register-Nummer: 032-024OL
|
 |