| zurück
Home |
Strahlentherapie des Mamma - Karzinoms |
| allgemeines |
Die Bestrahlung wird beim Mammakarzinom nach primärer Operation und bei Metastasen eingesetzt. |
| Dosierung |
nach brusterhaltender Operation |
hypofraktioniert 40,05 Gy; ED 2,67 Gy; 15x oder |
40 Gy; ED 2,5 Gy; 16x |
| Boost 10Gy; ED 2 Gy; 5x oder |
Boost 10Gy; ED 2,5 Gy; 4x |
Hyposib: Brust 40 Dy; ED 2,5 Gy; 16x. SIB 3 Gy bis 48Gy |
| Zielvolumen |
| Brust |
Die Bestrahlung der Brust ist nach brusterhaltender Operation eines invasiven Karzinoms und eines DCIS indiziert. |
| APBI |
Accelerated partial breast irradiation |
| Brustwand |
Die Bestrahlung der Brustwand nach Ablatio mammae reduziert die Häufigkeit von lokoregionalen Rezidiven. |
| Lymphknoten |
Axilla |
Die Bestrahlung der axillären Lymphbahn sollte nur bei mehr als 3 befallenen Lymphknoten erfolgen. |
| Supraclaviculär |
Die supraclavikulären Lymphnoten sollen bei > 3 positiven Lymphknoten in der Axilla bestrahlt werden. |
| Parasternal |
Wird immer wieder diskutiert. Z.Z. keine Empfehlung. |
| Metastasen | Knochenmetastasen |
Hirnmetastasen |
|
| Vorbehandlung |
brusterhaltende Operation |
|
| Ablatio |
|
| Expander |
 |
Ein Expander kann bei der Bestrahlung Probleme machen. |
| Technik der perkutanen Bestrahlung |
| ZV |
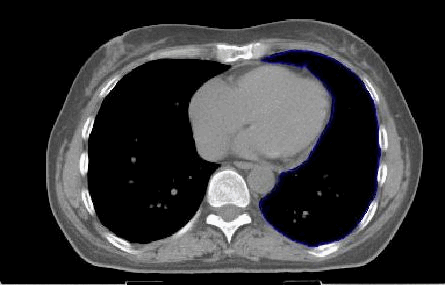
Zielvolumen- Definition von Brust und Brustwand |
| Fraktionierung |
|
| IMRT |
|
| Boost |
|
| integrierter Boost |
|
| Teilbrust-Bestrahlung(PBI) |
- Perkutane Bestrahlung mit Photonen
- Perkutane Bestrahlung mit Protonen
- Brachytherapie mit einem Kanal
- Multicatheter - Single-Entry: MammoSite
- Single-entry - Multilumen: SAVI, CONTURA Multi-Lumen Balloon, ClearPath
- Seeds
- nicht invasive Brachytherapie
- intraoperative Therapie mit Elektronen
- intraoperative Therapie mit 50 KV Photonen
(2) |
| Inspiration |
 |
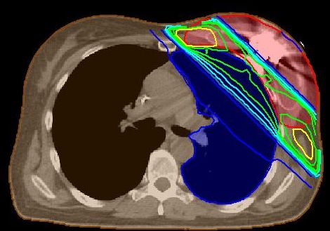
Die Bestrahlung in Inspiration kann Herz und Lunge besser schonen. |
| Bauchlage |
Für die Bestrahlung in Bauchlage sind spezielle Lagerungshilfsmittel erforderlich. |
Z. B. das Mama-Board "ClearVue®". Dieses wird von der Firma "Orbital Therapy" in den USA produziert und von
HEK in Deutschland vertrieben. |
| Behandlungs - BH |
Zur Erzielung einer reproduzierbaren Brustlagerung bei Mamma pendulans kann ein spezieller Büstenhalter sinnvoll sein. |
In Deutschland liefert die Firma
Orfit Büstenhalter für radiologische Behandlungen (BR-100). |
|
| Brachytherapie |
Best Doppel-Ballon - Brust - Brachytherapie - Applikator
 |
| Nebenwirkungen |
LENT-SOMA |
Late Effects of Normal Tissue, chronische Brustveränderungen |
| Arm |
Therapiebedingte Veränderungen des Arms: Ödem, Funktionseinschränkung |
| EBTCG |
Ergebnisse der Metaanalyse aus 20 Studien |
Teil von |
Therapie des Mamma - Karzinoms |
Mamma - Karzinom |
Gynäkologische Onkologie |
| Quellen |
1.) Leitlinienprogramm Onkologie (Deutsche Krebsgesellschaft, Deutsche Krebshilfe,
AWMF):
Interdisziplinäre S3-Leitlinie für die Früherkennung, Diagnostik, Therapie und Nachsorge des Mammakarzinoms.
Dezember 2017
2.) Strnad V, Krug D, Sedlmayer F et al.:
DEGRO practical guideline for partial-breast irradiation.
Strahlenther Onkol 2020;196:749–763
doi.org/10.1007/s00066-020-01613-z
|
 |