zurück Home Strahlentherapie des Mamma - Karzinoms in Inspiration
DIBH, Deap Inspiration Breath Hold
allgemeines Die Bestrahlung in Inspiration kann Herz und Lunge besser schonen. ABC: Active Breathing Coordinator. mDIBH: moderate Deep Inspiraton Breath Hold
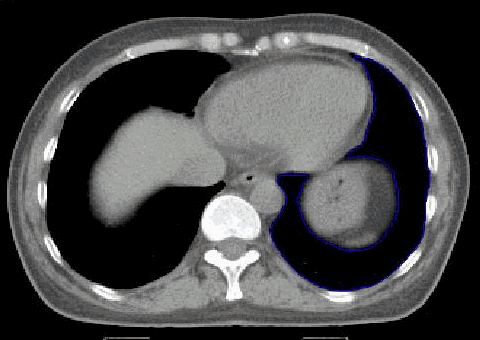
blauer Punkt Inspiration: RIVA von der Thoraxwand distanziert
ohne Inspiration: Herz liegt der Brustwand breitflächig an. Bei Bestrahlung der Brustwand links bekommt der RIVA die volle Dosis ab.
blauer Punkt In der frontalen Ebene ist die Herz Silouette durch das tiefe Zwerchfell sehr schlank!
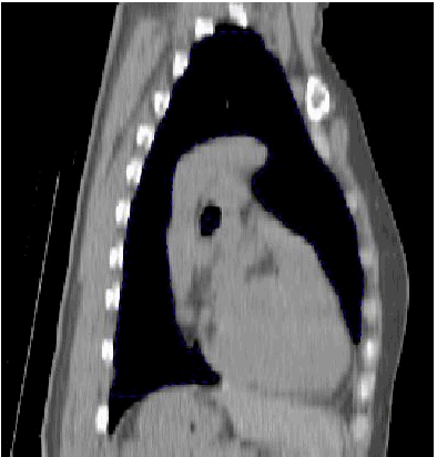
In der sagittalen Ebene ist die Distanzierung des Herzens von der Brustwand gut zu erkennen.
Atemmonitor Die Atmung wird durch Überwachung der Erhebung und Senkung des Oberbauchs registriert.
 Atemmonitor
Quellen 1.) Borger JH, Hooning MJ, Boersma LJ, et al.:
Cardiotoxic effects of tangential breast irradiation in early breast cancer patients: The role of irradiated heart volume.
Int J Radiat OncolBiol Phys 69(2007):1131-1138.

2.) Darby SC, Ewertz M, McGale P, et al.:
Risk of ischemic heart disease in women after radiotherapy for breast cancer.
N Engl J Med 368(2013):987-998.

3.) Cuzick J, Stewart H, Peto R, et al.:
Overview of randomized trials comparing radical mastectomy without radiotherapy against simple mastectomy with radiotherapy in breast cancer.
Cancer Treat Rep 71(1987):7-14.

blauer Punkt

Impressum                                   Zuletzt geändert am 17.03.2021 8:06